親知らず抜歯で
後悔しないために

親知らず抜歯についての質問

親知らずの抜歯で後悔しないために

親知らずを抜いて後悔しました。どうすれば後悔せずに済んだのでしょうか。。

もともと親知らずが横向きに生えていて何ともなかったのが、そのうち痛くなってきたので、抜歯の必要があるか近くの歯科医院に相談に行きました。レントゲンを撮ってもらったところ「うちで抜けます」と言われ次回抜歯の予約をしました。

当日はしっかりと麻酔をして抜こうとしてくれてはいたんですが、10分以上経ってから「うちでは抜けないので近くの総合病院に紹介状書きます」と言われました。その時点で驚きましたが、麻酔が切れたら、それはそれはすごい痛みが来て、翌日・翌々日は食べ物も食べられませんし起き上がることも出来ませんでした。

総合病院などに最初から行っていれば後悔することはなかったのでしょうか。

駅近くにあるような歯科医院では親知らずの抜歯は難しいのでしょうか。

親知らず抜歯の難易度

親知らずが歯ぐきに埋まっており抜歯が難しい場合のイメージ

親知らずの抜歯は難しいものとそうでないものがあります。見るべきポイントは、下記になります。

  1. 根の形態
  2. 生えている方向・位置
  3. 下歯槽神経との位置

親知らずの抜歯

1. 根の形態

根の形態が複雑で何本もあったり、曲がっている場合は要注意です。

また、下歯槽神経を囲うような形のものもあり、これは一番難易度が高いと言えます。

2. 生えている方向・位置

親知らずの生えている方向ですが、やはり真っ直ぐ生えているものは簡単に抜ける傾向にあります。

しかし、親知らずは一番最後にはえる歯なので、スペースがなく、斜めにはえる方がほとんどだと思われます。
その傾斜角度で難易度が変わってきます。

また、親知らずの位置が、骨に埋まっていればいるほど難易度は上がります。

3. 下歯槽神経との位置

下歯槽神経と接触しているのかいないのかで難易度が分かれます。

接触していても、抜くことはできますが、下歯槽神経損傷のリスクもあります。

大学病院や総合病院で
親知らずを抜歯するメリット

親知らず抜歯のオペ中のイメージ

親知らずを大学病院や総合病院で抜くメリットとしては以下になります。

  1. 外科に特化した歯科医師が多く、抜歯慣れしている。
  2. 麻痺などの事故が起こったときに神経節ブロックや温熱療法といった処置にすぐに行うことが
    できる。
  3. 入院して一気に親知らずを抜くことができる。
  4. 入院する場合、抜歯後に血が止まらないなどの症状が出た場合、すぐに先生に診てもらえる。

上記がメリットになります。そのため、以下のような親知らずは大学病院で抜いた方が良いでしょう。

  1. 時間的に余裕がない等の理由で、全ての親知らず(上下左右4本など)を一気に抜きたい場合。
  2. 大きな嚢胞(のうほう)があり、抜歯すると顎の骨の骨折のリスクがある
    場合。
  3. 親知らずの根が、顎の中の神経と絡まっている場合。(CTを撮影することで判明する)
  4. 管理すべき疾患があり、慎重に外科処置を行わなければならない場合。

上記以外は当院で抜歯対応が可能です。これらはあくまで当院ですので、抜歯自体を全て大学病院などで行ってもらう方針の歯科医院もあります。

口腔外科を標榜しているか、いないかを見て歯科医院を選ぶとよいでしょう。

親知らずの抜歯、なぜ後悔した?①

親知らず抜歯後の痛みや腫れ

親知らずを抜いた時に後悔するポイントとしては、下記があります。

  1. 腫れと痛み
  2. 口が開かない、飲み込みしづらい
  3. ドライソケット
  4. 口臭
  5. 上顎洞との交通
  6. 下歯槽管神経損傷

1. 腫れと痛み

横に生えている親知らずを抜く時には、どうしても歯ぐきを切ったり、骨を削る必要があります。

そのため、炎症が起こり、腫れたり痛みがでます。腫れのピークは術後およそ3日後で、そこから痛みや腫れが引いていきます。

2. 口が開かない、飲み込みしづらい

親知らずは喉に近い位置にあります。そのため、抜いた後腫れますと、口を開けようとしても痛みがでて、開けづらくなります。

また、ものを飲み込む時にも痛みが出ることがあるため、飲み込みがしづらくなることがあります。

3. ドライソケット

ドライソケットとは、歯を抜いた後にはその部分に血液がたまり、血餅といって瘡蓋のようなものとなり、だんだん歯ぐきにおきかわっていくのですが、その血餅が脱落してしまって、中の骨が丸見えの状態になってしまい、痛みがでることをいいます。

何もしていなくても痛みがでますので、なんの情報もなく抜いてしまうと後悔するポイントとなります。ただし、適切な対応をすれば、すぐに良くなります。

4. 口臭

抜歯後にはどうしても歯ぐきに穴が空いたような状態になります。そのため、その部分に食べ物が入り込んでしまったり、炎症が強くなることで生じる膿がたまったりしてしまうと、口臭として現れることがあります。

食べかすなどを気にしてうがいをしすぎますと、ドライソケットになり、治癒が遅れたり、痛みが出ることにつながりますので、最初はうがいを我慢してください。傷口が完全に治りますと、口臭も自然と治ります。

5. 上顎洞との交通

上顎の親知らずを抜く際に注意が必要なのが、上顎洞(副鼻腔)です。上顎洞に親知らずの根が刺さっている場合があります。

その際、その親知らずを抜きますと、お口の中と上顎洞が交通します。そうしますと、お水を飲んだりした際にお鼻のほうにまわったりなどということがでてきます。交通が小さい場合は放置していても治りますが、大きな場合は交通を治すための処置が必要になります。

安静にしていれば自然と治りますが、お口や鼻に圧をかける行為(強く鼻をかむ、風船をふくらませる等)がありますと、治りかかっているものが再び交通することになりますので、注意しましょう。

6. 下歯槽管神経損傷

下歯槽管神経損傷とは、下顎の親知らずを抜く際に起きてしまう可能性があるものです。

親知らずの近くに下歯槽管神経が走行しています。その神経を親知らずを抜く際に傷つけてしまいますと、麻酔がずっと効いているような、麻痺がおこってしまいます。

この際は大学病院などの麻酔科にて、神経節ブロックを行ったり、温熱療法などを行い、麻痺を治していきます。また、ビタミン剤を飲んでいただくこともあります。治療にはスピードが必要です。抜歯の翌日に麻痺が確認できたらすぐにこれらの処置を行っていきましょう。

親知らずの抜歯、なぜ後悔した?②

口腔内の状況を歯科用器具を使用して確認しているイメージ

今回、親知らずを抜くに当たって後悔したポイントは以下の二つですね。

  1. 抜ける親知らずと言われたが抜けなかった=本当に抜ける親知らずだった
    のか?
  2. 大きな痛みがでてしまった=事前に
    説明があったか?

なぜ後悔することになったのか、1、2を解説して
いきましょう。

1. 抜けると言われた親知らず。さて本当に抜ける親知らずだったのでしょうか?

抜けるか抜けないかというのは、親知らずの形態がどうなっているのかをしっかりレントゲンで読み取れるかというところが大きいです。

普通の歯科用のレントゲンですと、2次元的になりますので分かりにくいこともあります。そのため親知らずの抜歯の前にCTという3次元的なレントゲンを撮影することで、形態をしっかり見ることができます。

普通のレントゲンで見えないものも見えてきますので、あらかじめ撮影してくれる歯科医院だと安心できますね。抜けると思っていたが抜けなかったということで、歯科医師の技量が足りなかった、ということもあり得なくはないですが、術前の診査診断、レントゲンの読影ができていたら抜けるか抜けないかの判断もしやすくなりますね。

2. 大きな痛みが出てしまったということですが、そのあたり術前にしっかり説明して
もらったでしょうか?

親知らずは抜くと痛みはでます。もちろん出ないこともありますが、出るものとして考えておいたほうが良いでしょう。また炎症も起こりますので、腫れることも想定しておいた方が良いです。そいったことを事前に説明があれば、良かったかもしれませんね。

また、今回のケースで言うと、抜けない親知らずでしたので、抜こうとがんばって親知らずの周りの骨を大きく削っている可能性が高いです。骨を大きく削ったり、歯ぐきを大きく切ると、どうしても痛みが大きくなる傾向にあります。また、発熱することもあります。

そのあたりの説明が事前にあると、後悔しなかったかもしれませんね。

当医院での親知らず抜歯

レントゲン写真

麻布十番歯科での右下の親知らずが真横に生えている症例のレントゲン写真

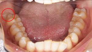
口腔内写真

麻布十番歯科での右下の親知らずが真横に生えている症例の口腔内写真

右下の親知らずが気になると言う主訴でいらっしゃった患者様です。

レントゲンで確認すると、真横にはえており、さらに、下歯槽神経と接触しているようにみえます。

根の形は先細りの形態ですので、抜くのはそこまで難しくないと思われます。根の形の最終確認と、下歯槽神経の位置確認のためにCTを撮影することにしました。

CT画像①

麻布十番歯科での右下の親知らずが真横に生えている症例のCT画像①

CT画像②

麻布十番歯科での右下の親知らずが真横に生えている症例のCT画像②

CTの1部分の画像です。下歯槽神経と親知らずはほんの少し接触しているような状態でした。リスクなど説明し、2回法で抜いていくことにしました。

2回法とは、その名の通り、2回かけて親知らずを抜いていく方法になります。

1回目は歯の頭の部分だけを切るだけになります。2回目は数ヶ月経ってから行いますが、1回目で頭の部分を取ったスペースに歯が伸びてきますので、下歯槽神経と離れたかを確認してから、根の部分を抜いていく、そういった方法になります。

3ヶ月のCT画像①

麻布十番歯科での1回目の親知らず抜歯から3ヶ月後のCT画像①

3ヶ月のCT画像②

麻布十番歯科での1回目の親知らず抜歯から3ヶ月後のCT画像②

1回目から3ヶ月待ちました。下歯槽神経の位置が根の先から離れているのが確認できます。

これで下歯槽神経を損傷させることなく、親知らずの抜歯を行うことができます。

年齢・性別 30代・女性
治療期間 3ヶ月
治療費用 約15,000円(保険治療)
特記事項 抜歯の費用としては2回かかります。
1回目と2回目の間の待機期間中に歯が痛くなることがあります。
この際は歯にお薬を詰めるなどの対処法があります。

現在の治療費と異なる場合がございます。最新の治療費は料金表をご確認ください。

まとめ
どうすれば後悔しなかったか?

ピンク色で凹凸のあるスポンジの上に歯の模型が置いてあるイメージ

ということで、後悔しないポイントとしては下記3つがポイントです。

  1. 歯科医院にCTがあるかどうか
  2. 歯科医師が抜歯になれているかどうか
  3. 抜歯の際にしっかり説明があるか

不明点などあれば、しっかり聞いておくとよいでしょう。慣れている歯科医師ならしっかり質問にも答えられるはずです。

今すぐ予約したい方
03-3505-4618電話受付9〜19時半(土日は17:30まで)
3日以降のご予約
WEBから予約24時間受け付けております。

麻布十番の歯医者さん・
矯正歯科は痛みに配慮した、
コミュニケーションにあふれる歯医者です。

診療時間
9:00〜13:00 -
14:00〜19:30 - - -
14:00〜17:30 - - - - -

※平日最終受付は19:00まで
※土日の最終受付は17:00まで
[休診日]水曜・祝日

AED
TEL:03-3505-4618
地図

〒106-0044 東京都港区東麻布3-8-8 明商ビル1F
大江戸線 麻布十番駅 6番出口より徒歩10秒
南北線 麻布十番駅 6番出口より徒歩10秒
Google マップを開く >