インプラントとは、虫歯や歯周病などの様々な原因により歯が失われてしまったところへ、人工の歯の根=人工歯根(インプラント)をつくり、その上に被せ物を装着する治療法のことです。
1952年にスウェーデンのブローネマルク博士が、チタンと骨が結合する「オッセオインテグレーション(骨結合)」を偶然発見したことから実験を重ね、歯科治療に応用したものです。
インプラントとは、虫歯や歯周病などの様々な原因により歯が失われてしまったところへ、人工の歯の根=人工歯根(インプラント)をつくり、その上に被せ物を装着する治療法のことです。
1952年にスウェーデンのブローネマルク博士が、チタンと骨が結合する「オッセオインテグレーション(骨結合)」を偶然発見したことから実験を重ね、歯科治療に応用したものです。
インプラントの特徴は、歯根まで再現し骨とインプラントが直接結合することにより、天然歯と同じような見た目・機能の両面において元の自然な状態へ近づくことができ、またしっかり噛むことができます。
全ての歯を失ってしまった方へ 歯がないところがある インプラントが最適な![]() |
![]() |
![]() |
![]() |
|
|---|---|---|---|---|
| インプラント | ブリッジ | 入れ歯 | 歯牙移植 | |
| 特徴 | 人工歯根を埋め込み、 その上に被せ物をかぶせる治療。 |
両隣の歯を削り抜歯部位にダミーを置き、 2本の歯で3本の歯の役割をする。 一番後ろの歯には選択できない。 |
両隣もしくは、反対側の歯にバネを掛けて、 人工の歯茎・歯にて補う。 取り外しが必要。 |
抜歯予定の歯に、 親知らずなどの不要な歯を移植する方法。 親知らず・年齢等の条件が必要。 |
| 費用 | 自費診療のみ | 保険診療(金属) 自費診療(セラミック) | 保険診療 自費診療(高精度) | 保険診療可。 しかし、ケースによっては自費になる場合も。 |
| 治療期間 | 3ヶ月〜 | 1〜3ヶ月 | 1〜3ヶ月 | 3〜6ヶ月 |
| 使用感 | 違和感なく使用できる | 違和感なく使用できる | 多少違和感がある | 違和感なく使用できる |
| 周りの歯への影響 | 周りの歯を削らない | 周りの歯を大きく削ってしまう | 周りの歯を少し削る | 周りの歯を削らない |
| 外科手術が必要かどうか | オペは必須 1〜2回行う | 基本的にはないが、 オペが必要な時もある。 |
基本的にはない。 | 抜歯と移植を同時の場合は1回。 同時でない場合は2回行う。 |
インプラントの構造は、上部構造・アバットメント部(支台部)・歯根部の3つの構造から成り立っています。
上部構造は、いわゆる被せものを指しており、歯の部分です。
アバットメント(支台部)は、上部構造と歯根部をつなぐ役割を果たしています。
歯根部は、チタン製で、この部分と顎の骨が結合します。
インプラント歯根部のチタンが骨と結合する確率は、95%と高い確率となっています。
歯科用インプラントはチタン製です。
チタンは生体親和性が高く発がん性もないためインプラントの素材は大変安全なものです。
血液の中でも腐食を起こさず超長期的に体内で機能できるものを選んでおりますのでご安心ください。
当院では数百社あると言われるインプラントメーカーより厳選したものを選択しています。
サイズ・レベル・タイプ等、細かく複数種を用意しており、患者さまに適したものでの治療が可能ですので、ご安心ください。
インプラントの相場は使っているインプラントのメーカーや種類によって大きく分かれますが、大体総額40万円ほどであることが多いです。
とても価格の安いインプラントも存在していますが、予後が悪く近年少なくなってきました。
また、このインプラントの価格の中にレントゲン代や仮歯代など細かい代金が含まれているのかそれとも含まれていないのかは大きな違いになります。
インプラント費用が結果かさんでしまうということにならない様にしっかりとインプラントの費用を良く見ましょう。
| 診断料※ | 55,000円 |
|---|---|
| インプラント体 | 165,000円 |
| 上部構造(ジルコニアステイン) | 220,000円 |
※治療の有無にかかわらず診断料はかかります。
※インプラントの治療は複雑なものもあるため下記のオプションも参考にしてください。
インプラント手術が1回で終わらない場合、インプラントは歯茎の中に完全に埋まっています。そのため歯茎を少し切断しインプラントを露出させます。
2次オペインプラントオペを行なった際に歯茎が薄くなってしまっていることがあります。
これはインプラントの清掃性が悪くなるリスクが高くなるので必要であればご選択いただきます。
前歯や奥歯などで使い分けを行なっていきます。基本的にはジルコニアベースのものが主流です。
インプラント同士をつないでうわ物を作成する際に使用する緩衝材です。
顎の骨の状態は様々です。したがって状況に応じて適切に骨を足す処置を行います。上顎と下顎でも処置が変わることがあります。
骨造成インプラントオペを行う際に、3DCT上で設計したインプラントの計画通り、安全に行うために使用する道具です。
サージカルガイドインプラントオペの際お身体への負担が大きい時や歯科恐怖症などの既往がある方に用いられる日帰り麻酔です。全身麻酔と違い、うとうとしている状態での処置になるため体にも優しい治療法です。
静脈内鎮静法| 2次オペ(2回法) | 22,000円 | |
| 歯肉移植 | 132,000円 | |
| 仮歯(1本) | 55,000円 | |
| うわ物 | ジルコニアボンド | 275,000円 |
| ジルコニアステイン | 220,000円 | |
| マルチユニットアバットメント(1本) | 33,000円 | |
| 骨造成 | GBR | 110,000円(1本) |
| ソケットリフト | 165,000円(1本) | |
| サイナスリフト | 330,000円(片顎) | |
| ソケットプリザベーション | 110,000円 | |
| チタンメッシュ | 88,000円 | |
| サージカルガイド(1本) | 55,000円(1本追加:5,500円) | |
| 静脈内鎮静法(IV) | 99,000円 | |
| マウスピース | 33,000円 | |
| メンテナンス | 8,800円 | |
※口腔内の状態により価格は異なります。 インプラントの費用
歯周病や歯の根の病気の影響で大きく骨が失われてしまうことが良くあります。これは同時に大きく歯茎も失われてしまうことを意味しています。
インプラント周囲の歯茎が薄いと機能的・審美的にも良好な状態を維持することが難しくなります。そのため長く良好な状態を保つためには歯茎の移植をする場合があります。
主に前歯の歯肉の移植です。
オペをすることで審美的、機能的にも良好な結果が得られます。
主に奥歯の歯肉の移植です。
オペをすることで特に機能的な良好な結果が得られます。
| CTG・FGG | 132,000円 |
歯周病や歯の根の病気など何らかの理由で抜歯を余儀なくされインプラント治療を行う場合、抜歯後の処置予定部の骨が大きく失われていることがほとんどです。
インプラント治療を行うためにはインプラントを支える骨がないと正しく治療ができません。そのため、理想的な治療を行うために骨造成を必要とする場合があります。
主に骨の高さや幅が足りない際に行う骨造成です。骨造成量に応じて使用する材料が変わります。
主に上顎に対して行います。上顎洞の中に骨を足しインプラントの足場を作ります。
骨が大幅に無いケースや範囲が大きいときはこちらを選択します。
骨造成の範囲が少ない場合にこちらを用います。
| GBR | 110,000円 |
| GBRオプション(チタンメッシュ使用) | 88,000円 |
| サイナスリフト | 330,000円(片顎) |
| ソケットリフト | 165,000円(1本) |
インプラントオペを行う際、当院では必ずCTデータと患者様のお口の3Dデータを元にインプラントの埋入ポジションの設計を行います。
設計を正しく行うことにより、理想的なインプラントの埋入が行えます。また顎の骨の中に散在する血管や神経を避けるためにも設計は必須となります。
設計した通りのオペを行うために、3Dプリンターで患者様のお口にあったマウスピース型の『サージカルガイド』を作成します。
このサージカルガイドを用いることによりトラブルやミスを格段に抑えることができます。
インプラントオペは、抜歯などの通常の外科処置に比べ比較的長時間となります。またインプラントオペと聞くと緊張をしてしまうかたも多くいらっしゃいます。そのため当院では静脈内鎮静法の併用をお勧めしてます。
日帰りの麻酔となっており安全性も高く、何よりも手術中の意識がほぼ無いため苦痛を感じる事なく行えます。
| 静脈内鎮静法顎(1回) | 99,000円※ |
※1回の金額ですので、後日その他オペをされる際にご選択いただいた際はオペ毎にかかります。
まずインプラントを希望されている患者様でも、そのインプラントに影響を及ぼす歯周病や虫歯、噛み合わせや顎関節などの検査を行いインプラントが適応できるか診断致します。
最短で当日中に基本検査・診断を行い、インプラント検査に移行します。
インプラントの検査に関しては、検査料・診断料がかかります。
ご相談の後、インプラント検査を行い後日治療計画の説明、契約となります。
治療計画の説明は、
・費用
・治療回数・期間
・骨造成の有無
・インプラント術式の説明(1回法or2回法)
をご説明致します。
インプラントの前処置は処置予定部位に歯が残っていれば抜歯を行うという事はもちろんですが、それだけではありません。
インプラントを埋める前に行う処置は以下の通りです。
歯周病が進行している状態でインプラント処置をすると、お口の中に歯周病の細菌が多数存在している状態での手術となり感染のリスクが上がってしまいます。また、インプラント周囲炎になってしまうリスクも共に高まります。そのため、歯周病の治療を行い細菌数を減らすことで様々なリスクを軽減します。
根っこの先に膿の袋があることがあります。このような状態でインプラントを埋め込むとインプラントに膿の袋が感染してしまう恐れがあるので、必ず治療を行い、治癒させます。
インプラントのオペの際に近隣の歯牙に虫歯があるとインプラントを埋め込む予定の場所へ感染してしまうことがあります。
しっかりと虫歯の処置を行いオペに望む必要があります。
オペ日決定以降、当日の1週間以内に一度ご来院いただき、歯石やバイオフィルムの除去を行います。お口の中の細菌をオペ直前に取り除くことで術後の感染リスクを低下させます。
またオペ前クリーニングの時に術後の歯磨きの仕方や注意点などを再度ご説明いたします。
オペを不安に思っている方やオペに関しての質問等がある方はぜひこのタイミングでも再度スタッフへお伝えください。全て丁寧にお答えいたします。
インプラント埋入オペや骨造成をした場合は、人工骨が置換されるまで数ヶ月間待つ必要があります。
その待機期間の間は、その他の治療の部位を行い経過を見ていきます。その他治療が終了している場合は、定期検診(1〜3カ月)を行い経過観察を続けます。
インプラント手術が2回法の場合は、完全にインプラントが歯茎の中に埋まっている状態です。
インプラントの頭を出して土台を入れる準備をすることを2次オペと言います。2次オペの後に歯肉の粘膜の治癒を待ったり調整する必要があります。
歯茎の状態や清掃性の確認・機能的にも問題が無いかなどを見極めるために仮歯を入れて1カ月ほど様子を見ます。
問題がなければその仮歯の形を参考にして最終的なうわ物の型取りへと移行します。
インプラントは歯を失った方に対してはとても有用な治療方法です。インプラントのメリットをご説明します。
ブリッジは他の歯を削ることで虫歯のリスクが上昇する。
歯を削るリスクはあまりないですが入れ歯のバネに汚れがつきやすいのと、無理な力が加わる場合があります。
もちろんインプラントも万能ではなく、デメリットも存在します。
インプラント周囲炎というのは、インプラントが歯周病の状態になってしまいインプラント周囲の歯茎が痩せてしまい骨が溶けて行ってしまう状態です。
通常、天然の歯は歯根膜という生体防御のバリアを持っています。このバリアのおかげで、歯周病になっても進行は緩やかに進みます。
しかしインプラントは骨と直接くっついているので、バリアがなく進行が早いことが多いです。
またインプラント周囲炎になると炎症が取れても再生はあまり行われず骨や歯茎を失ったままになってしまいます。失ったままでは症状が進行してしまうため、歯茎のオペや骨増生を必要とする場合があります。
また、インプラント周囲炎になった際に、インプラントの表面自体に汚れが付着しているため、それを完全に除去する事は困難なためオペの成功率が低くなります。
骨や歯茎を失った状態は汚れがつきやすくインプラント周囲炎を再度引き起こす可能性も高くなります。結果としてこのまま経過をたどるとインプラントが骨から剥がれてしまい除去をせざると得なくなってしまいます。
インプラント周囲炎は段階別に進行して行きます。
インプラント周囲の歯茎の炎症が起きている状態で、インプラント周囲のプラーク(細菌の塊)が原因です。歯科医院にて徹底的に清掃・洗浄を行い状態の回復を図るとと共に、ご自身でのセルフケアも徹底して行う必要があります。
インプラント周囲炎は3段階に別れており歯周病の病状と同じ様相を示します。
しかし、軽度からの進行が極端に急激で1年ほどで中等度インプラント周囲炎になってしまうこともあります。インプラント周囲炎はセルフケアで治ることは無く、早急なインプラントの除去オペか再健オペが必要になるケースがほとんどです。
インプラント周囲炎の症状はお痛みを伴うことは多くありません。周囲からの出血や排膿・腫脹などで気付く場合が多くあります。
したがって気付いた時にはもう手遅れなんてことになる可能性があり、できる限りインプラント周囲炎にならないように予防を行うことが大切です。しっかりとインプラント処置を行った病院での定期検診を受診しましょう。
インプラントがお口の中に入っている方は、インプラント周囲炎予防のためにインプラント処置をした病院での定期検診を受ける必要があります。これは、通常の定期検診とインプラントの定期検診は若干異なるケースがあるからです。
インプラントは周囲炎等になると急激な変化が起き、骨の吸収が進んでしまうことがあります。従って定期検診の際にレントゲン撮影を行い骨の状態を確認します。
また、噛み合わせの調整もとても重要なチェック項目となります。インプラントは噛み合わせの不具合が症状に出にくく痛みを伴わないケースが多くあります。この状態で放置するとインプラントのうわ物が破損してしまったり最悪の場合人工歯根ごと取れてしまうケースもあります。このようなトラブルを避けるために定期検診は必ず必要となってきます。
当院では3〜6ヶ月の間で定期検診を行い、お口の全体的なクリーニングと噛み合わせの調整、必要に応じてのレントゲン撮影などを行っております。
定期検診 歯のクリーニング
インプラント治療でかかった費用は、医療費控除の対象となります。
医療費控除とは、本人または生計を一にするご家族の医療費を支払った場合に、支払った人の所得から控除することができ、結果的に所得税と住民税が軽減されます。
医療費控除の対象になる金額は、その年の1月1日から12月31日までの1年間で支払った医療費の総額から10万円を引いた金額です。
インプラントの治療費、治療のために必要な医薬品の購入費用、治療を受けた歯科医院への交通費が対象です。
医療費控除を受ける為には、確定申告の提出が必要です。詳しくは国税庁のホームページをご確認ください。
詳しくはこちら医療費控除を受けるには領収証が必要になりますので大事に保管しておいて下さい。
歯科ローンを利用された場合は、必ず歯科ローンの契約書写しをご用意ください。
信販会社が立替払をした金額は、その患者様の立替払をした年(歯科ローン契約が成立した時)の医療費控除の対象になります。
現在の治療費と異なる場合がございます。最新の治療費は料金表をご確認ください。
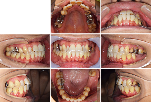
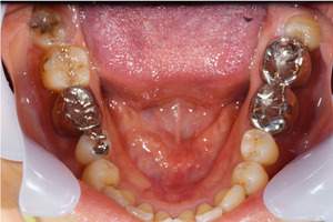
インプラントの症例| 年齢 | 50代女性 |
|---|---|
| 主訴 | 左上の歯ぐきが腫れた |
| 治療期間 | 4年 |
| 費用 | インプラント 1,017,500円(税込) 矯正 880,000円(税込) 虫歯治療 インレー ハイブリッド3本 132,000円(税込) シルバー3本 約6,000円(保険治療のため変動あり) |
1. 歯ぐきのはれの原因である歯周病の治療
2. 虫歯の治療
3. 歯列不正のため、ブラッシングが難しい、かみ合わせの是正のため矯正
4. 矯正終了後インプラント
5. メンテナンス

【担当医師所見】
患者様の初診時レントゲン写真

【担当医師所見】
咬合平面の整頓の必要性 有
交叉咬合、オーバージェットの是正

【担当医師所見】
歯周病の治療の必要性
ブラッシング方法の教授

【担当医師所見】
左右上下合わせて4本の抜歯を行った
①前歯もキレイに並んできました
②上の歯が外側になり、交叉咬合がなくなりました
③左上の出ていた歯を元の位置までもどしています

【担当医師所見】
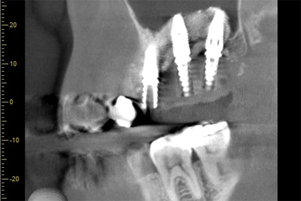
インプラント2本の予定ですので、インプラント同士をほぼ並行に埋入する計画を立てます。神経にインプラントが当たりますと、麻痺が起きたり出血の原因になりますので、
シュミレーション上でもしっかり神経とは距離をおきます。

【担当医師所見】
歯ぐきを切ってインプラントを埋入しました。埋入後は歯ぐきを縫って終わります。
この状態で4ヶ月待ちインプラントと骨の生着を待ちます。
1ヶ月後

ファイナル

ビフォー

アフター

| 特記 事項 |
治療のリスク・副作用:インプラントの耐久性は、天然歯同様、口腔衛生状態(喫煙の有無、喫煙者の協力度、咬合力、かみ合わせ、骨量、歯肉量、歯磨き、メンテナンス)により変化します。歯根吸収やあともどりがありますので、しっかりリテーナーを入れる必要があります。 |
|---|
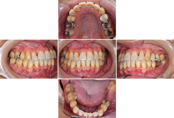
| 年齢 | 30代女性 |
|---|---|
| 主訴 | 虫歯がたくさんあり、銀歯に穴が空いているのが気になる |
| 治療期間 | 1年半 |
| 費用 | ・左下67FCZインプラント: 440,000円×2 ・右上7GBR+サージカルガイド+IV: 110,000円+55,000円+77,000円 ・右下6FCZクラウン: 110,000円 ・右下75・右上654・左上67・左下5セラミックインレー: 55,000円×8 |
※全て税込となります。

【担当医師所見】
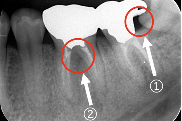
左下奥歯は親知らずが原因でクラウン(かぶせ物)の下まで虫歯になっています。 またその手前の歯は根中央部に大きな透過像(黒い像)が見られます。クラウン除去後、マイクロスコープ下で確認したところ中央部は亀裂が入り保存不可能な状態になっており抜歯となりました。
また右上6番にも大きな透過像があり虫歯となっていることがわかります。

【担当医師所見】
①親知らず手前の歯はクラウン(白い不透過像)直下に大きな透過像(黒い部分)が見られこのような場合は抜歯になる確率が高いです。
②歯根分岐部(中央部)に及ぶ歯周炎ー根尖性歯周炎の原因はクラウン除去後にマイクロスコープ下にて破折線を確認したため抜歯となりました。


【担当医師所見】
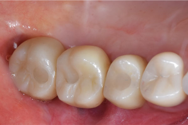
右上の銀歯の下にあった虫歯は大きかったものの歯の神経を残すことがなんとかできたので部分的なセラミックのつめ物(セラミックインレー)での治療となりました。
また反対側の奥歯も古くなっており、将来性を考えセラミックへ変更しています。


【担当医師所見】
右下の大臼歯部は抜歯後治癒を待ち、骨造成とインプラント埋入を同時に行いました。上部構造はFCZ(ジルコニアセラミッククラウン)となっています。
また左下の親知らずは虫歯のため抜歯、左下7番と5番はセラミックインレー、6番はFCZにて補綴しました。
※FCZ:ジルコニアより少しマイルドな硬さで審美性と機能面に優れているクラウン

全体の治療終了より1年半経過していますが、右下インプラント周囲に骨吸収の像など無く問題なく経過しています。またその他虫歯治療部位や歯の神経治療部位に関しても病変の所見は無く概ね良好と思われます。
| 治療方針 | ・歯周病治療 ・その後必要な部位の抜歯を行いインプラント治療を行う。 ・根管治療(根の治療)やう蝕(虫歯)治療を行う。 |
|---|---|
| 治療内容 | ・歯周基本治療:スケーリング・TBI ・下顎臼歯部:抜歯後、インプラント治療 ・その他カリエス:セラミック治療 |
| 特記事項 | 歯科恐怖症 |
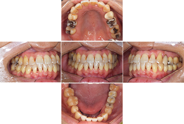
| 年齢 | 30代女性 |
|---|---|
| 主訴 | 左上の奥歯が何もしなくても痛い。悪いところは全部治したい。 |
| 治療期間 | 1年半 |
| 費用 | ・右上567FCZインプラント: 440,000円×3 ・右上567サイナスリフト+サージカルガイド+IV: 220,000円+55,000円+77,000円 |
※全て税込となります。

上顎左側第一・第二大臼歯は歯周病と根尖性歯周炎により保存不可能。また上顎左側第二小臼歯は縁下カリエス(根の虫歯)と短根のため部分矯正もできず予後不良と診断、抜歯をする経緯となりました。前歯部にはクラウンでの補綴修復が見られ下顎右側臼歯部には大きなカリエス様透過像が見られました。


【担当医師所見】
コーンビームCT像を確認すると左側上顎の骨は無くインプラント埋入の際は上顎骨に骨造成が必要と思われたため上顎洞挙上術(サイナスリフト)を併用、インプラント埋入を行うプランとしました。
また欠損部位の大きさを考えるとサージカルガイドの使用が必要と思われたため今回使用した。さらにオペの強度を考え静脈内鎮静法下にてオペを行った。
処置前では黒い透過像(骨が無い)があるが骨造成後1年経過、インプラントテック(仮歯)を入れた際では上顎洞内及びインプラント周囲に白い不透過像(骨がある)が確認できます。


【担当医師所見】
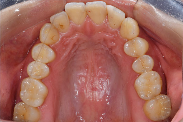
治療前、左上大臼歯部は咬合面(咬む面)も無くカリエス(虫歯)も大きいものでした。
治療後、理想的な位置にインプラントが埋入され正しく咬むことができるようになりました。
| 治療方針 | ・歯周病基本治療を行う ・かみ合わせのズレを修正する ・抜歯後にインプラント治療を行う |
|---|---|
| 治療内容 | ・歯周基本治療終了後に左上の抜歯を行う ・抜歯部位の治癒後インプラント埋入のための骨造成を行い骨の完成を待つ ・骨の完成後にインプラント埋入しインプラントと骨の結合した後に上部構造(かぶせ物)を入れる |
| 特記事項 | 特になし |
BEFORE

AFTER

BEFORE

AFTER

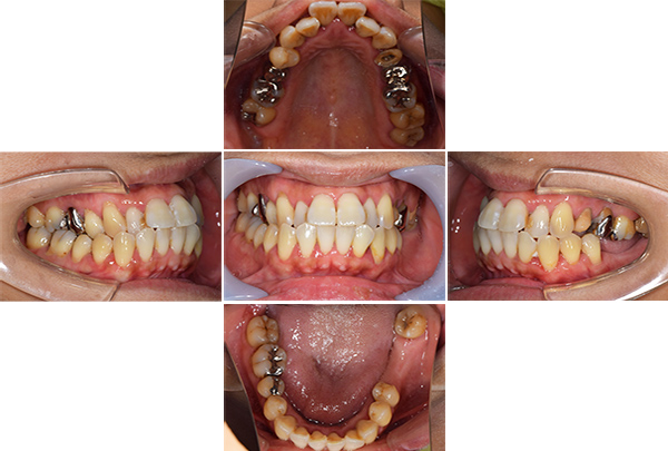
| 年齢・性別 | 63歳・男性 |
|---|---|
| 主訴 | インプラントがしたい |
| 治療内容 | オールオン4(上顎) |
| 治療費 | オペ料金(仮歯・薬代金含み)150万円+上部構造 (ハイブリットセラミック)150万円=計300万円(消費税別) |
| 治療期間 | 7ヶ月 |
| リスク・副作用 | 治療後の口腔管理が不適切な場合、インプラント周囲に炎症が生じインプラントが脱落する恐れがある。 |
審美的にも、機能的にも調和がとれており何よりも食べ物がちゃんとかめると言う事に感激されておりました。
今後定期検診をしながら経過を診て行きたいと思い
ます。
| 診療時間 | 月 | 火 | 水 | 木 | 金 | 土 | 日 |
|---|---|---|---|---|---|---|---|
| 9:00〜13:00 | ● | ● | - | ● | ● | ● | ● |
| 14:00〜19:30 | ● | ● | - | ● | ● | - | - |
| 14:00〜17:30 | - | - | - | - | - | ● | ● |
〒106-0044 東京都港区東麻布3-8-8 明商ビル1F
大江戸線 麻布十番駅 6番出口より徒歩10秒
南北線 麻布十番駅 6番出口より徒歩10秒
Google マップを開く >