料金について

※2025年4月1日以降の価格となります
※最新の料金については、直接医院へご確認をお願いいたします。

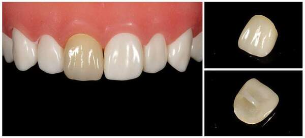
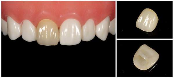
前歯のかぶせ物

ジルコニアボンドクラウン

オールセラミッククラウン(プレミアム)

長所

  • 天然の歯と同じような透明感を再現できる
  • 汚れが付きにくい
  • 変色しない
  • 安定したかみ合わせを維持できる
  • 仮止めで様子を見る事ができる

短所

  • 製作日数が10日ほどかかり歯を削る量が比較的多い
  • 割れることがある
  • 強度的には天然の歯と比べると硬い
保険 ×
保証 5年
価格(税込) ¥187,000
精度 ★★★★★
強度 ★★★★★
耐久性 ★★★★★
審美性 ★★★★★

オールセラミッククラウン

オールセラミッククラウン(スタンダード)

長所

  • 天然の歯と同じようなキレイさを再現できる
  • 変色しない

短所

  • 歯を削る量が比較的多い
  • 仮止めができない
  • 割れることがある
保険 ×
保証 5年
価格(税込) ¥132,000
精度 ★★★★★
強度 ★★★★☆
耐久性 ★★★★☆
審美性 ★★★★☆

硬質レジン冠(前歯は保険適応)

硬質レジン冠(前歯は保険適応)

長所

  • 保険適用のため非常に安価

短所

  • シルバーを使用しているために歯肉が黒くなりやすく金属アレルギーの原因となる
  • また精度が低く、虫歯になる可能性が高い
  • 透明感がない
  • プラスチックのために劣化しやすく変色しやすい
保険
保証 ×
価格(税込) 保険適用
精度 ★☆☆☆☆
強度 ★☆☆☆☆
耐久性 ★☆☆☆☆
審美性 ★☆☆☆☆

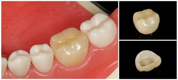
奥歯のかぶせ物

ジルコニアボンドクラウン

オールセラミッククラウン(プレミアム)

長所

  • 天然の歯と同じような透明感を再現できる
  • 汚れが付きにくい
  • 変色しない
  • 安定したかみ合わせを維持できる
  • 仮止めで様子を見る事が出来る

短所

  • 製作日数が10日ほどかかり歯を削る量が比較的多い
  • 割れることがある
  • 強度的には天然の歯と比べると硬い
保険 ×
保証 5年
価格(税込) ¥187,000
精度 ★★★★★
強度 ★★★★★
耐久性 ★★★★★
審美性 ★★★★★

オールセラミッククラウン

オールセラミッククラウン(スタンダード)

長所

  • 天然の歯と同じようなキレイさを再現できる
  • 変色しない

短所

  • 歯を削る量が比較的多い
  • 仮止めができない
  • 割れることがある
保険 ×
保証 5年
価格(税込) ¥132,000
精度 ★★★★★
強度 ★★★★☆
耐久性 ★★★★☆
審美性 ★★★★☆

ジルコニアクラウン

ジルコニアクラウン

長所

  • 歯を削る量が少ない

短所

  • 単色である
  • 硬すぎるため、かみ合う歯を傷めることがある
保険 ×
保証 5年
価格(税込) ¥66,000
精度 ★★☆☆☆
強度 ★★★★★
耐久性 ★★★☆☆
審美性 ★★★☆☆

シルバークラウン(銀歯)

パラジュウムクラウン(銀歯)

長所

  • 保険適応なので安価

短所

  • シルバーを使用しているために性質上劣化による変色がある
  • 目立つ
保険
保証 ×
価格(税込) 保険適応
精度 ★☆☆☆☆
強度 ★☆☆☆☆
耐久性 ★☆☆☆☆
審美性 ★☆☆☆☆

奥歯のつめ物

セラミックのつめ物

セラミックのつめ物

長所

  • 透明感があり、天然の歯と同じような仕上がりと
    なります
  • 歯肉の変色は全くありません
  • 金属をまったく使用しないので、アレルギーの心配は
    ありません

短所

  • 強度的には天然の歯に比べると硬い
  • かみ合わせが強い場合にまれに割れる場合がある
保険 ×
保証 2年
価格(税込) ¥66,000
精度 ★★★★☆
強度 ★★★☆☆
耐久性 ★★★☆☆
審美性 ★★★★★

シルバー(銀の金属)のつめ物

バラジウム(銀の金属)のつめ物

長所

  • 保険適応のため非常に安価

短所

  • シルバーを使用しているために歯肉が黒くなりやすく金属アレルギーの原因となる
  • また精度が低く、虫歯になる可能性が高い
  • 見た目が良くない
保険
保証 ×
価格(税込) 保険適応
精度 ★☆☆☆☆
強度 ★★★☆☆
耐久性 ★★☆☆☆
審美性 ★☆☆☆☆

※保証期間については、3ヶ月〜半年ごとの定期検診を受ける事が条件となっております。
※症例により、適用できない場合があります。
※わからない事や質問などがございましたらお気軽にお声がけください。

今すぐ予約したい方
03-3505-4618電話受付9〜19時半(土日は17:30まで)
3日以降のご予約
WEBから予約24時間受け付けております。

麻布十番の歯医者さん・
矯正歯科は痛みに配慮した、
コミュニケーションにあふれる歯医者です。

診療時間
9:00〜13:00 -
14:00〜19:30 - - -
14:00〜17:30 - - - - -

※平日最終受付は19:00まで
※土日の最終受付は17:00まで
[休診日]水曜・祝日

AED
TEL:03-3505-4618
地図

〒106-0044 東京都港区東麻布3-8-8 明商ビル1F
大江戸線 麻布十番駅 6番出口より徒歩10秒
南北線 麻布十番駅 6番出口より徒歩10秒
Google マップを開く >