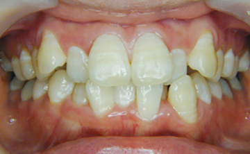
歯の矯正は出っ歯や受け口、生え方が乱れているなどかみ合わせが悪く並びの不揃いな歯を、綺麗な並びに整えることを専門にしています。歯並びが悪いと虫歯や歯周病、咀嚼障害を起こしやすいため、歯科ではなるべく早い段階で矯正をすることをおすすめしています。
大人の矯正治療

なるべく早い段階で矯正がオススメ

矯正治療の流れ
- カウンセリング
- 当院の矯正専門医の無料相談を受け、問診とお口の中のチェックをします。

- 印象採得・歯型作製
- レントゲンや写真を撮り、今の歯の状態で模型を作製します。

- 治療費用のご説明
- 日本では、現時点で矯正歯科に保険が適用されないので、費用のことなども含めて治療の流れを詳しく説明いたします。

- ブラケット装着
- 治療の方針が立ったら、いよいよブラケットという装置を作り、装着します。
ブラケットは一人一人、きちんと形に合うように作られており、一本一本の歯にくっつけて固定させます。
ブラケットに通したワイヤーの力を使い、歯を正常な並び位置に動かします。
矯正治療中もお口の中を清潔に保ってもらうため、歯磨きの指導も行います。

- 通院・経過観察
- 装着後は1ヶ月に1回程度通院してもらい、その都度ワイヤーの強さや形の調整と、歯の動き具合の確認をします。
だいたい1年から2年ほどかけてゆっくりと歯並びが整ってきます。

- 後戻り防止
- リテーナーと呼ばれる固定器具を装着します。綺麗な並びになったら装置を外してハイ終了、と言いたいところですが、そうはいかないのが矯正歯科です。せっかく正しい位置に並んだ歯をその位置で安定させるために、装置を除去して歯をピカピカに磨いた後、リテーナーを装着します。

- 定期検診
- その後は数ヶ月に1度の定期検診に通っていただき、徐々に歯の位置が維持されていきます。

歯が動く仕組み
ではここで、歯の動く仕組みについて説明します。
歯の根元には歯を支えるための骨があり、その上に「歯根膜」というクッションのような役割をするものがあります。
矯正により歯に圧力がかかり引っ張られ始めると、歯が動く側にある歯根膜が縮み、反対側は伸びるという現象が起きるのですが、歯根膜自体は一定の厚みを保とうとします。そこで、縮んだ側は骨を溶かす細胞を、伸びた側は骨を作る細胞を作り出すのです。

その結果、溶かされた骨と新しく作られた骨により歯根膜は元の厚みに戻り、溶かされた骨の分だけ歯も移動するということになります。
こうして少しずつ、歯を理想の位置まで動かしていきます。歯を動かす方向ですが、水平移動だけでなく、傾いた歯を起こしたり、ねじれた歯を回転させて正しい向きにしたり、飛び出ている歯を引っ込めたり、逆に頭の低い歯を引っ張り出すこともできます。
歯の矯正を行うメリット
これほどまでに時間や回数がかかり、かつ費用も決して安くはない矯正歯科ですが、どのようなメリットがあるのでしょうか。
それは何と言ってもまず、虫歯や歯周病の予防効果です。歯並びが悪いとブラシが行き届きにくく、歯の隙間の汚れがなかなか取れません。そこから虫歯が発生しやすいのは当然のことです。また、慢性的なプラークが固い歯石へと変化し、歯周病を起こす可能性も高まります。

次に、かみ合わせの改善です。
かみ合わせが悪いと歯への影響はもちろんのこと、無駄に力が入ったり、均等ではなく片側のみに力が入るなどします。
その結果、顎関節症になったり、顔の歪み、頭痛や肩こりの原因になることもあります。
かみ合わせが悪いだけで全身への影響が現れる可能性があるため、早めの治療が望まれます。
最後に、審美性です。
例えばにっこり笑った時、ガタガタの歯並びと綺麗な歯並びではどちらが美しい笑顔に見えるでしょうか。
多くの方が後者を選ぶと思います。
また、最近では矯正中にも思い切り笑うことが出来て、矯正治療を行っていると気づかれにくい裏側矯正や透明なマウスピースによる矯正も対応可能です。
笑顔にも自信が持てるようになりますし、歯並びは人に与える印象をも変えるものだということです。
いつまでも美しい歯並びを手に入れて、歯を大切にしていきましょう。
子供の矯正治療(小児矯正)

なるべく早い段階で矯正がオススメ
子どもの歯の健康についての知識が広まり、虫歯や歯周病の予防の大切さが理解されブラッシングなどの予防が行われるようになりました。
そうなると次に気になるのが、子どもの歯並びやかみ合わせといった小児矯正ではないでしょうか?
そこで子どもの矯正治療のしくみについてご紹介したいと思います。
子どもの矯正について
これほどまでに時間や回数がかかり、かつ費用も決して安くはない矯正歯科ですが、どのようなメリットがあるのでしょうか。
それは何と言ってもまず、虫歯や歯周病の予防効果です。歯並びが悪いとブラシが行き届きにくく、歯の隙間の汚れがなかなか取れません。そこから虫歯が発生しやすいのは当然のことです。また、慢性的なプラークが固い歯石へと変化し、歯周病を起こす可能性も高まります。

子どもの矯正治療は、主に2つの時期に分けることができます。
乳歯の時期や、乳歯と永久歯が混ざっている時に治療をする「第一期治療」と呼ばれる期間と、全ての歯が永久歯に生えそろったあとに治療する「第二期治療」と呼ばれる期間です。
子ども一人ひとりによって歯の形や状態は異なるため、必要になる治療も異なります。歯並びや顎の成長具合によっては、第一期治療だけで矯正を終了できることもありますが、第二期治療が必要なケースもあります。よって、小児矯正にかかる時間については、個人で差が生じます。
小児矯正の最適なタイミング| 第一期治療 | 前歯と六歳臼歯(第一大臼歯)のみが永久歯になっている混合の時期の 治療のこと。 |
|---|---|
| 第二期治療 | 全ての歯が永久歯に生えそろった後の時期の治療のこと。 ブラケットを歯の1本1本に着けて治療をすることもあります。 |
小児矯正をはじめる時期
これほどまでに時間や回数がかかり、かつ費用も決して安くはない矯正歯科ですが、どのようなメリットがあるのでしょうか。
それは何と言ってもまず、虫歯や歯周病の予防効果です。歯並びが悪いとブラシが行き届きにくく、歯の隙間の汚れがなかなか取れません。そこから虫歯が発生しやすいのは当然のことです。また、慢性的なプラークが固い歯石へと変化し、歯周病を起こす可能性も高まります。

子どもの矯正治療は、第一期治療にあたる早期である10歳くらいまでに、はじめた方がいいといわれています。 その理由としては、永久歯を抜歯をしないで矯正治療できる可能性が高くなるからです。
また、大人になってから矯正をはじめる場合よりも、治療後の後戻りと呼ばれる現象を抑えることができます。後戻りとは、矯正治療によって歯を動かし歯並びを治した歯が、再び動いてしまうという現象です。
しかし、矯正治療を始めるベストな時期については個人によって変わってきます。特に成長期にある子どもの場合はそうです。
矯正治療には、永久歯への交換時期、不正咬合の種類、悪習癖の有無、顎の成長の時期など、いろいろな要因が関係してきますので、子ども一人ひとりによって全く状態が異なり、医師による診察に基づく判断が必要になります。症状を総合的に判断して、矯正治療開始の最適時を判断します。
歯並びやかみ合わせが気になるようでしたら一度、当院へ一度ご相談ください。
歯科医院で相談・診察を受けるタイミング
これほどまでに時間や回数がかかり、かつ費用も決して安くはない矯正歯科ですが、どのようなメリットがあるのでしょうか。
それは何と言ってもまず、虫歯や歯周病の予防効果です。歯並びが悪いとブラシが行き届きにくく、歯の隙間の汚れがなかなか取れません。そこから虫歯が発生しやすいのは当然のことです。また、慢性的なプラークが固い歯石へと変化し、歯周病を起こす可能性も高まります。

最近は、7歳までに矯正歯科医による診断を受けるように進められています。
少し前までは、永久歯が生え揃ってからの矯正治療と考えられてきました。しかし今では出来るだけ早い年齢から矯正治療を始めるのが理想とされています。その理由としては、早い年齢からの矯正治療はメリットが多いことにあります。
小児矯正のメリット
- 永久歯を抜歯せずにきれいな歯並びにすることができる。
- 効率的な治療になりますので、治療期間が短くなる。
「歯並び」が気になる時の受診タイミングの目安は、前歯の永久歯が生えそろう7歳位までの時期です。また、「かみ合わせ」が気になる場合は、永久歯がまだ生えていない早い段階でも、上下のかみ合わせにズレがないか、受け口や交叉咬合などを注意して診ておく必要があります。
小児矯正治療はなぜ必要なのか?
子供の歯並びの悪さの原因として知られているものの中に「顎が小さくて大人の歯の大きさが大きいために、歯がデコボコになる」という話があります。
これは、顎の骨が活発に発育する前に、永久歯への生え変わりが進む事で、顎の骨の中に歯が納まりきらなくなって起こってしまう現象です。顔に比べて前歯が大きく見える場合などはこれに当てはまります。

体の部位ごとに成長の時期のピークが違い、顎と歯の成長時期がずれると歯並びが悪くなってしまうので、歯の交換はあまり早くない方が綺麗な歯並びにとって理想的です。しかし、そのように順調に行かない場合は、治療効果を高くするため、顎が大きくなろうとしている時期に、かみ合わせや歯並びの治療を始めるのをお勧めいたします。
将来先の長いお子様にとって、顔貌やかみ合わせは非常に重要な要素になります。
少しでも気になる方は、お気軽にご相談ください。