「8020運動」は聞いたことがありますか? 8020運動とは“80歳になっても20本以上自分の歯を保とう”という運動です。
なぜ20本以上なのかというと、少なくとも20本以上自分の歯があれば、 食物を噛みくだくことができると言われています。 つまり、 高齢になっても20本以上自分の歯を保つと美味しく食べられるということです。
現在日本人の80歳一人平均の残存歯数は15.6本と言われており、ご自身の歯だけではしっかり噛むことができない状況になってしまうのが現実です。
現在の治療費と異なる場合がございます。最新の治療費は料金表をご確認ください。

虫歯治療・歯周病治療が終わったら予防歯科のスタートです!
「予防歯科」とは歯が痛くなってから歯医者さんに来て治療するのではなく歯が痛くなる前に虫歯や歯周病などのお口の中の病気を予防することです。 虫歯になってしまった歯を治すよりも、歯を虫歯から守ることを重視した考えが予防歯科です。
予防歯科は歯科医院で行う「プロフェッショナルケア」と歯科医師・衛生士の指導に基づいたご自宅で行う「セルフケア」の2本柱です。 この2つをきちんと継続していくことが大切です。
ご自身の歯やインプラントなど、生涯にわたって健康な口腔内を維持していくためには歯医者さんでの定期的な検診・クリーニングは必要不可欠です。
「8020運動」は聞いたことがありますか? 8020運動とは“80歳になっても20本以上自分の歯を保とう”という運動です。
なぜ20本以上なのかというと、少なくとも20本以上自分の歯があれば、 食物を噛みくだくことができると言われています。 つまり、 高齢になっても20本以上自分の歯を保つと美味しく食べられるということです。
現在日本人の80歳一人平均の残存歯数は15.6本と言われており、ご自身の歯だけではしっかり噛むことができない状況になってしまうのが現実です。

対して予防歯科先進国スウェーデンでは21本と約75%もご自身の歯を残せています!その差が生まれる原因が予防歯科に対する考え方の違いです。
日本では「痛みが出たら歯医者に行く」という意識がまだありますが、予防先進国スウェーデンでは「痛くなる前に予防のために歯科医院に通う」という考えが習慣として根付いています。
この歯科医院受診への意識の違いが将来的に残せる歯の本数の違いの結果として出ているのです。

健康寿命とは、「健康上の問題で日常生活が制限されることなく生活できる期間」のことです。
口に関するささいな衰えを放置したり、適切な対応を行わないままにしたりすることで、口の機能低下が起き、さらに心身の機能まで低下してしまうという負の連鎖が生じてしまいます。
日々の生活の中で、歯がボロボロで食事ができない、歯がなかったり痛みがあるのでうまく人と話せない、そんな生活にならないために、定期検診で歯のメンテナンスを行い、お口の中の健康を保つことで毎日イキイキと生活できるようにしましょう!

虫歯も歯周病もいきなり痛くなるわけではなく、少しずつ静かに進行していきます。痛みが出るようになる頃にはかなり進行している場合も。そうなる前にできる限り、虫歯や歯周病の菌が歯に定着しないようにするのが予防です。

虫歯や歯周病などのお口の中の病気も早期発早期治療を行うことで歯を失うリスクを下げることができます。
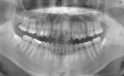
定期検診ではクリーニングのみではなく、経過観察歯のチェックや古くなってきた詰め物・被せ物のチェックなども合わせて行います。1年に1度お口全体のレントゲンをお取りさせて頂き目に見えない虫歯の確認や歯周病による骨吸収の有無をみています。

定期検診では患者様一人一人のお口の状態に合わせたセルフケアをお伝えいたします。
患者様の生活背景も考慮したセルフケアのポイントをお伝えします。回数やタイミング、動かし方など丁寧にお伝えいたします!

一度ついてしまった着色(コーヒー・紅茶・タバコによる色素沈着)は歯ブラシでは落とすことが困難です。
専用の器具とペーストを使い、できる限り低侵襲で歯の表面のバイオフィルムや着色を除去し見た目も綺麗で汚れの付きづらい状態へと仕上げます。歯の表面がツルツルになり爽快感も得られます。


問診票の記入もございますので、マイナ保険証をご持参の上、お約束の10分ほど前にご来院ください。

歯に関しての悩みやご不安に思っていることなど何でもお聞かせください。

お口の中の病気はレントゲン写真検査を行わないと診断が難しいものが多くあります。直接見えない部分を把握するためにレントゲン撮影をさせて頂きます。

現在のお口の状態を写真で記録し治療後と比較したり、治療説明で利用します。

口腔内をスキャンする機械を用いて、歯の本数、虫歯の有無、詰め物の状態を3次元的に検査・記録します。
その後、歯科医師により直接確認を行います。


歯肉炎や歯周病になっていないか検査をします。歯と歯茎の間を触って確認し記録していきます。

どこか特別気なるところはないけれど、検査やクリーニングを行いたいという方もお気軽にお問い合わせくだ
さい。
お口の中でお困りのこと・生活環境の変化などをお話をさせていただいてからメンテナンスに入ります。ご心配なことがあれば遠慮なくお伝え下さい!

お口の中の変化を見逃さないために検診時にお口の中のお写真を撮らせていただきます。

歯肉炎・歯周病を診るための検査です。定期検診では、歯周病の治療にて炎症が落ち着いた場所の経過を診たり、新しく炎症を起こしていないか診ていきます。
歯周病
お口の中の病気はレントゲン写真検査を行わないと診断が難しいものが多くあります。
定期検診の場合約1〜2年に1回ほど、もしくは歯科医師・歯科衛生士の判断で必要な場合撮ることがあります。


口腔内スキャンを用いて、虫歯のチェックや歯の汚れを染め出してチェックします。
虫歯の精密検査を行う際は染め出しをせず口腔内スキャンを行う場合もあります。



生活背景やお口の中の状況を考慮しセルフケアのポイントをお伝えいたします。

歯石除去・PMTC(着色と細菌膜の除去)

経過観察歯や自費治療を行なった部位のチェックも合わせて行います。

歯科医院だからこそ取り扱える高濃度フッ素を使用しております。高濃度フッ素により歯が強くなり、より虫歯になりにくくします。


定期検診の受診の目安は1〜3ヶ月ですが、患者様のお口の中の状況に合わせて次回受診時期のご提案をさせていただいております!
以上を中心にお口の中の確認を行い、来院の目安を決めていきます。

定期検診の1回の費用は、検査・クリーニング等含めて、保険適用3割負担で約4,500〜5,500円程度です。
【自費の定期検診】
各種検査を省いてクリーニングのみを行いたい場合には下記金額でご案内させていただいております。
※虫歯・歯周病の診査・診断は行えません
| 歯石除去 | 5,500円 |
|---|---|
| PMTC (着色・バイオフィルムの 除去) |
5,500円 |

「最近歯医者に行ってないな?」
「特に気になるところはないけど歯医者に行った方がいいかな?」
「どうやって予約を取ればいいんだろう?」
上記のように思ったら迷わずご連絡ください。
お電話、または当医院ホームページのWEB仮予約後折り返しのお電話をいたします。
お電話をいただければご予約まで丁寧にご案内いたしますのでお気軽にお問い合わせください。

| 治療内容 | 歯周精密検査・歯石除去・着色除去・ブラッシング指導・フッ素 |
|---|---|
| 治療費 | 保険の定期検診 約4,500円 |
| 治療期間 | 60分 |
| 治療に伴うリスク | ・歯茎の炎症が強いと歯石を取る際に出血することがあります ・処置後歯石がとれたことにより、歯がしみることがあります ・歯石がとれたり歯茎の炎症が引くことで、歯と歯の間に隙間ができ、息が漏れ発音しにくいと感じることがあります ・歯茎の炎症が軽減すると歯茎が引き締まり、歯が長く見えることがあります |
痛みや症状がなくても定期検診を続けることで多くのメリットがあります。
虫歯や歯周病を早期に発見して、早い段階で治療をスタートすることで歯を削る量、治療費、期間を抑えられます。
歯ブラシで落としきれない汚れをプロフェッショナルクリーニングで落とし清潔な口腔内を維持できます。
検診の中で患者様の口腔内にあった最適なセルフケアもお伝えします。
治療後も定期検診を継続していくことで綺麗な口腔内が維持できます。
プロフェッショナルケアとセルフケアを習慣化し予防歯科を始めましょう!
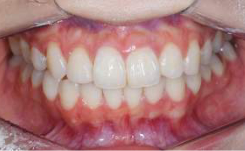
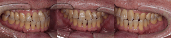
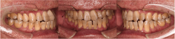
| 年齢 | 56歳・男性 |
|---|---|
| 主訴 | 定期検診 |
| 治療内容 | 歯周基本検査・歯石除去・着色除去・フッ素塗布 |
| 治療期間 | 60分 |
| 費用 | 保険診療約4,500円 (歯の本数や検査内容で料金が変動します。) (2023/12/25時点の価格) |
| リスク・副作用 | ・歯ぐきの炎症がある場合は歯石除去中に出血を伴う可能性があります。 ・処置後に歯がしみることがあります。 ・歯ぐきの炎症が軽減すると歯ぐきが引き締まり、歯が長く見えることがあります。 ・定期検診は予防の一環であり、検診の来院で必ず虫歯や歯周病にならない訳ではありません。 |
| 担当者所見 | ブラッシング指導後、歯石除去を行い定期検診へ移行 矯正治療を行う予定 |
| 特記事項 | 交叉咬合・かみ合わせが強い |
| 担当者所見 | 初診時は歯石が全顎的に付着しており、歯石除去時は出血もありました。特に下の前歯は歯と歯の間を埋めるように多量の歯石が付着していました。ブラッシング指導も行い、定期検診へと移行しました。 定期検診時は全体的な清掃状態も良好で、ご自身も歯ブラシを頑張っているとおっしゃっていました。矯正治療開始後も綺麗で健康な口腔内を維持する為、定期検診を継続的に行っていく予定です。 |
| 診療時間 | 月 | 火 | 水 | 木 | 金 | 土 | 日 |
|---|---|---|---|---|---|---|---|
| 9:00〜13:00 | ● | ● | - | ● | ● | ● | ● |
| 14:00〜19:30 | ● | ● | - | ● | ● | - | - |
| 14:00〜17:30 | - | - | - | - | - | ● | ● |
〒106-0044 東京都港区東麻布3-8-8 明商ビル1F
大江戸線 麻布十番駅 6番出口より徒歩10秒
南北線 麻布十番駅 6番出口より徒歩10秒
Google マップを開く >