セラミックの歯とは、セラミックを使用した詰め物、被せ物をつけた歯のことをいいます。
当院のセラミック治療の特徴 当法人のセラミック治療
※料金は全て税込価格となります。
※2025年4月1日以降の価格となります。
※最新の治療費については、直接医院へご確認ください。
白い素材であるセラミックの詰め物や被せ物を使った治療です。細かい種類や値段については、下の「セラミックの種類と値段」をご覧ください。
セラミックの種類と値段
| 詰め物 | ||
|---|---|---|
| ジルコニア | 55,000円 | |
| セラミック | 66,000円 | |
| 被せ物 | ジルコニアボンド | 187,000円 |
| メタルボンド | 198,000円 | |
| オールセラミック | 132,000円 | |
| ジルコニアステイン | 132,000円 | |
| ジルコニア | 66,000円 |
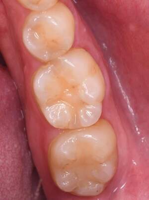
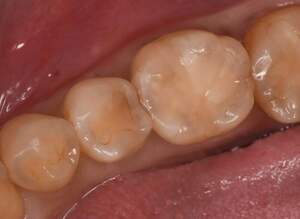
セラミックインレーは陶器の素材でできており、見た目も天然の歯と同じ色なので銀歯のようにお口の中で目立ってしまうこともなく、天然の歯と同じ透明感を再現することができ、審美的に美しい仕上がりになります。
耐久性に非常に優れた素材になっており、半永久的に使用し続けることができるといわれています。
ただし、歯ぎしりや食いしばりが強い方はまれに欠けてしまう可能性があるので、付けた後にマウスピースの装着をおすすめします。
セラミックインレーの特徴:
セラミックインレーの費用
| 価格 | 66,000円/本 |
|---|---|
| 保証期間 | 2年 |
ジルコニアインレーはジルコニアという硬い素材でできており、耐久性に非常に優れた素材になっています。
金属と違い、白いのでお口の中で目立たないです。汚れがつきにくく、虫歯にもなりにくいです。セラミックに比べると色の再現性は劣ります。
ジルコニアインレーの特徴:
ジルコニアセラミックインレーの費用
| 価格 | 55,000円/本 |
|---|---|
| 保証期間 | 2年 |
| 素材 | 自費・ 保険 |
保証 | 価格(税込) | 特徴 |
|---|---|---|---|---|
| セラミック | 自費 診療 |
2年 | 66,000円 | 精度が良く虫歯になりにくい。 変色なくずっと綺麗なままです。 |
| ジルコニア | 自費 診療 |
2年 | 55,000円 | 強度はナンバーワンです。 変色はありませんが、 やや白く浮いた感じになる 可能性があります。 |
| シルバー (銀歯) |
保険 診療 |
× | 約3,000円(3割負担) | 保険適応のため安価。 金属アレルギーの原因となる。 再度虫歯になるリスクが高い。 歯ぐきの色が変化することがある。 |
| セラミック | |
|---|---|
| 自費/ 保険 |
自費診療 |
| 保証 | 2年 |
| 価格 (税込) |
66,000円 |
| 特徴 | 精度が良く虫歯になりにくい。 変色なくずっと綺麗なままです。 |
| ジルコニア | |
| 自費/ 保険 |
自費診療 |
| 保証 | 2年 |
| 価格 (税込) |
55,000円 |
| 特徴 | 強度はナンバーワンです。 変色はありませんが、 やや白く浮いた感じになる 可能性があります。 |
| シルバー(銀歯) | |
| 自費/ 保険 |
保険診療 |
| 保証 | × |
| 価格 (税込) |
約3,000円(3割負担) |
| 特徴 | 保険適応のため安価。 金属アレルギーの原因となる。 再度虫歯になるリスクが高い。 歯ぐきの色が変化することが ある。 |
・セラミックインレー・ジルコニアインレーの保証期間:
2年
保証期間内にかけたり・割れたりした際は、無償で交換します。
・シルバーインレー:
保証はありません
保証においては、3ヶ月〜6ヶ月に1度の定期検診受診が条件となります。
ジルコニアといわれる硬いフレームの上にセラミックを焼き付けています。
ジルコニアを芯として使っているので強度もあり、周りの歯にあわせてつくるので、とても綺麗で周りの歯になじんだ色味となっています。
ジルコニアボンドの特徴:
費用
| 価格 | 187,000円/本 |
|---|---|
| 保証期間 | 5年 |
全てセラミックでできた被せ物です。透明感があり、周りの歯に調和した色味で作れます。強い衝撃がかかると欠けてしまうので、前歯用に用いられます。
オールセラミックの特徴:
費用
| 価格 | 132,000円/本 |
|---|---|
| 保証期間 | 5年 |
メタルボンドは金属のフレームにセラミックを焼き付けたものです。金属のフレームなので、耐久性が高く、セラミック部分の色味も綺麗に再現できます。
メタルボンドクラウンの特徴:
費用
| 価格 | 198,000円/本 |
|---|---|
| 保証期間 | 5年 |
ジルコニアステインは最新のジルコニアセラミックで硬度が高くと耐久性に優れますが、色が単色6色パターンのみとなります。
ジルコニアステインの特徴:
費用
| 価格 | 132,000円/本 |
|---|---|
| 保証期間 | 5年 |
ジルコニアという耐久性に優れた素材でできています。
3種類のブロックの中から一番患者様の歯に近いお色味のものを選んで作ります。色の再現性に劣るので、奥歯に使用します。
ジルコニアクラウンの特徴:
費用
| 価格 | 66,000円/本 |
|---|---|
| 保証期間 | 2年 |
ジルコニアという耐久性に優れた素材でできています。表面に色づけをしているので、見た目も比較的いいものとなっています。耐久性が優れているので、奥歯におすすめです。
ジルコニアステインクラウンの特徴:
| クラウン素材 | 自費/ 保険 |
保証 期間 |
価格(税別) | ブリッジ 適応 |
特徴 |
|---|---|---|---|---|---|
| ジルコニアボンド | 自費 診療 |
5年 | 187,000円/本 | 〇 | 精度がよく虫歯 になりにくい 天然の歯のよう な透明感 耐久性が高く 割れにくい |
| オールセラミック | 自費 診療 |
5年 | 121,000円/本 | × | 精度がよく虫歯 になりにくい 天然の歯のよう な透明感 耐久性が高く 割れにくい |
| メタルボンドクラウン | 自費 診療 |
5年 | 198,000円/本 | 〇 | 精度がよく虫歯 になりにくい 強度と、耐久性 に優れている 透明感を出す ことが難しい 金属を使用して いる |
| ジルコニアステイン | 自費 診療 |
5年 | 132,000円/本 | 〇 | 耐久性が高い グラデーション がつけられる 天然の歯より 硬い 色が単色6色 パターンのみ |
| ジルコニアクラウン | 自費 診療 |
2年 | 66,000円/本 | × | 耐久性が高い 天然の歯より 硬い 噛み合う歯や 顎へ負担が かかる 色が単色3色 パターンのみ |
| CADCAMクラウン | 保険 治療 |
無 | 約9,000円/本 (保険診療 ※3割負担) 44,000円/本 (自費診療) |
× | 保険適応なので 安価 金属色でない 単色である 削れ易く、かみ 合わせが変化 しやすい 経年的に変色 する 土台が金属だと 透ける事がある 小臼歯にのみ 使用可能 壊れたり、外れる ことがある |
| シルバークラウン | 保険 治療 |
無 | 約3,000円/本 (保険診療 ※3割負担) 22,000円/本 (自費診療) |
〇 | 保険適応のため 安価 お口の中で 目立つ 汚れがつき やすい 金属アレルギー の原因となる 歯ぐきの色が変化 することがある |
| ジルコニアボンド | |
|---|---|
| 自費/ 保険 |
自費診療 |
| 保証 期間 |
5年 |
| 価格 (税別) |
187,000円/本 |
| ブリッジ 適応 |
〇 |
| 特徴 | 精度がよく虫歯になりにくい 天然の歯のような透明感 耐久性が高く割れにくい |
| オールセラミック | |
| 自費/ 保険 |
自費診療 |
| 保証 期間 |
5年 |
| 価格 (税別) |
132,000円/本 |
| ブリッジ 適応 |
× |
| 特徴 | 精度がよく虫歯になりにくい 天然の歯のような透明感 耐久性が高く割れにくい |
| メタルボンドクラウン | |
| 自費/ 保険 |
自費診療 |
| 保証 期間 |
5年 |
| 価格 (税別) |
198,000円/本 |
| ブリッジ 適応 |
〇 |
| 特徴 | 精度がよく虫歯になりにくい 強度と、耐久性に優れている 透明感を出すことが難しい 金属を使用している |
| ジルコニアステイン | |
| 自費/ 保険 |
自費診療 |
| 保証 期間 |
5年 |
| 価格 (税別) |
132,000円/本 |
| ブリッジ 適応 |
〇 |
| 特徴 | 耐久性が高い グラデーションがつけられる 天然の歯より硬い 色が単色6色パターンのみ |
| ジルコニアクラウン | |
| 自費/ 保険 |
自費診療 |
| 保証 期間 |
2年 |
| 価格 (税別) |
66,000円/本 |
| ブリッジ 適応 |
× |
| 特徴 | 耐久性が高い 天然の歯より硬い 噛み合う歯や顎へ負担が かかる 色が単色3色パターンのみ |
| CADCAMクラウン | |
| 自費/ 保険 |
保険 治療 |
| 保証 期間 |
無 |
| 価格 (税別) |
約9,000円/本 (保険診療 ※3割負担) 44,000円/本 (自費診療) |
| ブリッジ 適応 |
× |
| 特徴 | 保険適応なので安価 金属色でない 単色である 削れ易く、かみ合わせが変化 しやすい 経年的に変色する 土台が金属だと透ける事が ある 小臼歯にのみ使用可能 壊れたり、外れることがある |
| シルバークラウン | |
| 自費/ 保険 |
保険治療 |
| 保証 期間 |
無 |
| 価格 (税別) |
約3,000円/本 (保険診療 ※3割負担) 22,000円/本 (自費診療) |
| ブリッジ 適応 |
〇 |
| 特徴 | 保険適応のため安価 お口の中で目立つ 汚れがつきやすい 金属アレルギーの原因となる 歯ぐきの色が変化することが ある |
白い詰め物、被せ物以外にも種類はありますのでご相談下さい。
素材の特徴やお値段について説明させていただき、それぞれの患者様に適したものについてご案内させていただきます。ご納得していただいた上で、治療にうつっていきます。
虫歯をとって形を整えてから、型取りをおこなっていきます。
周りの歯と調和したものをつくるために、歯の色味の写真をとります。
できたものを歯につけます。被せ物によっては、仮づけにして様子をみてから接着していく場合やお色味合わせを何回か行うこともあります。
治療後は、定期検診に移行していきます。セラミックの保証の条件として、定期検診が必須なので、ぜひ受診してください。その際に必要な方にマウスピースの装着をおすすめすることがあります。
マウスピース
よりキレイに、長持ちするものほど費用はかかりますが、毎日使うものですので、例えば 当院で保証している2年(詰め物)と5年(被せ物)を基準に考えると、 詰め物がe-MAXの場合、66,000÷730=90.4円/日。被せ物がジルコニアボンドの場合、187,000÷1,825=102.5円/日となります。
こう考えるととても安いと思いませんか?しかも保険のものと比べると精度も良いし、見た目もキレイです。
1日コーヒー一杯以下のお値段です。
あなたはどちらを選択しますか?
セラミックの寿命とは、一概にセラミックのみの寿命だけでなく、セラミックの接着剤も関与しています。保険の金属とセラミックは使う接着剤も別のものを使っており、セラミック用の接着剤はレジンセメントといい、歯と接着するもので、お口の中の水の多い環境でも劣化しずらく溶けない素材になります。
セラミック自体は毎日使うもので、やはりすり減っていきますので、一生そのままというわけにはいきませんが、10年〜20年以上はもつといわれています。保険のいわゆる銀歯ですと、3〜7年で虫歯になり寿命がきてしまうと言われていますのでそれと比べると圧倒的に持ちもよく、安定した材料です。
「セラミックをつめたりかぶせたら虫歯にならないんですよね」と質問されることがあります。残念ながらそうではないのです。つめたりかぶせたりするものは歯と全く同じ素材ではありません。それゆえ、膨張率であったり、強度も違ってきます。また歯へは接着剤でくっつけますのでどうしてもセラミックと歯の間に境目が存在します。なので、どうしてもその部分が虫歯になってしまうこともあるのです。
しかし、セラミック自体は金属と比べて、表面にプラーク(歯垢)がつきづらく、物性も安定しており、接着剤も劣化しにくく歯と一体化しやすいものを使うので、保険の金属と比べると虫歯や歯周病になりにくいです。
被せ物をいれる場合、大きく歯の方向や角度を変えて削る量が増えた場合、歯の神経を取らないといけないことがあります。一般的に歯の神経をとると歯の寿命が短くなります。
くいしばり、歯ぎしりがあると割れることがあります。また外からの強い外力でもわれることがあります。
セラミック部分は虫歯にはなりませんが、セラミック以外の部分が虫歯になった場合は、セラミックを外した治療が必要となります。
また、くいしばり、歯ぎしりなどで強い力が加わるとセラミックが割れたり、欠けたりすることがあります。
ずっと色を保てるのが長所ですが、セラミックを入れた後にホワイトニングをした場合、自身の歯は白くなりますがセラミックは色が変わりません。その部分だけ色が浮く可能性もあります。
ホワイトニングをお考えの場合、先にホワイトニングをしてから、セラミックをいれることをおすすめしています。
後悔しないためにも最初にしっかり担当医と相談してから決めましょう。
セラミックという大きなカテゴリーの中にジルコニアは入りますが、ジルコニアは別名白い金属とも呼ばれ、とても硬いことがその特徴に挙げられます。詰め物、被せ物として単体で使用もできますし、ジルコニアボンドとしてセラミックとの組み合わせとして使用されます。
そのため金属とは異なり白いため、歯の色調をキレイに再現することができます。なので、ご自身の歯と同じような色の再現ができますので1本被せ物にしたとしても違和感なくお口の中にあり続けられるのです。
ラミネートベニアはセラミック製の薄いチップを歯に貼りつけて、歯を美しく見せる審美治療です。
芸能人の方はセラミックにしているのをよく聞きます。ご本人でもインスタグラムなどで公表しているようです。芸能人は歯が命といわれるように、その印象は大きく違うからでしょう。
菊池亜美さんやダレノガレ明美さん、柴咲コウさん、ナインティナインの矢部さん、千鳥の大吾がセラミックをいれているようです。どの方もとても自然でキレイですね。
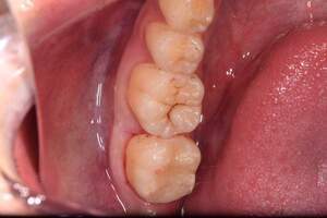
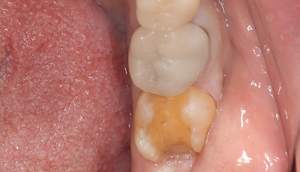
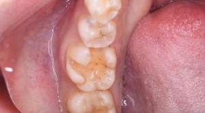
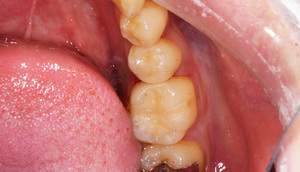
セラミックは欠けると下の写真のようになります。強度のしっかりした材料ですが、力の加わり方によっては欠けてしまうことがあります。
このようにセラミックが欠けてしまいその下の歯がむき出しになってしまったり、セラミックの周りの歯自体が欠けると内側の歯の弱い部分が外にでてしまうので、お痛みがでてしまいます。
仮づめにもはずしやすいもの・とれにくいがはずしにくいものなど種類がいくつもあるので、元々の病院に行けるまでの期間を考えて担当の先生と相談しながら、種類を決めていただくといいかと思います。
⭕️:セラミックが残っている部分削って型どりをする。
今回起きたらセラミックが欠けていたとのことなので、寝ている間にセラミックが欠けてしまったと考えられます。寝ている間にくいしばったり歯ぎしりをしているとセラミックが欠ける原因になるので、寝ている間に歯ぎしりや食いしばりをしている可能性があります。
セラミックは強度がしっかりしている材料なので、通常は割れることはないのですが、寝ている間に歯ぎしりやくいしばりをするとかなりの力がかかることになるので、割れてしまったり欠けてしまうことがあります。
なので、また欠けることを防ぐためにも寝ている間につけるマウスピースをつけていただくことをおすすめすることがあります
現在の治療費と異なる場合がございます。最新の治療費は料金表をご確認ください。
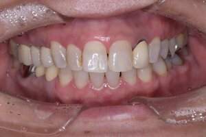
| 年齢・性別 | 54歳・女性 |
|---|---|
| 主訴 | 歯をきれいにしたい |
| 治療期間 | 4年 |
| 費用 | セラミックインレー 12本 660,000円 オールセラミック 3本 495,000円 矯正 874,900円 計 2,029,900円(税込) |
【担当医師所見】
治療前:
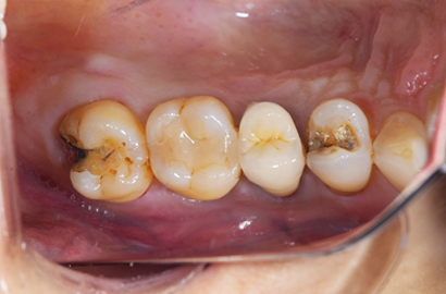
八重歯が目立ちます。また銀歯もおおく、見た目が気になります。虫歯も散見できます。
【担当医師所見】
根の治療を3本すでに治療されています。1本根の奥の詰め物が疎になっていますので、根の部分の再治療も行う必要がありそうです。銀歯の中で虫歯になっているものもあります。
矯正装置をつけています。だんだん八重歯が動いてきているのがわかります。今回のケースでは、抜歯を行わずに矯正ができました。
【担当医師所見】
治療後:
矯正治療と虫歯の治療すべて終わったときの写真になります。見た目も最初の頃とは全く違いますし、お口の中もすごく綺麗です。
| 治療方針 | まずは虫歯の治療を行い、被せ物をする部分は仮歯をいれて矯正を行う。矯正終了後、仮歯の部分を最終的な被せ物に変えていく。また気になっていた銀歯もセラミックに変えて終了となった。 |
|---|---|
| 治療内容 | セラミックインレー、オールセラミック、矯正 |
| 特記事項 | 虫歯の治療によって歯が一時的に染みるようになる可能性があります。また、歯を抜かずに矯正を行っていますが、全ての方で歯を抜かずに矯正ができるわけではありません。 |
| 年齢・性別 | 48歳・女性 |
|---|---|
| 主訴 | 右上3 根管治療後仮歯のまま2年以上放置 右上4 ゴールドインレー二次カリエス |
| 治療内容 | 右上3 ファイバーコア・ジルコニアステインクラウン 右上4 ファイバーコア・ジルコニアステインクラウン |
| 治療期間 | 約1ヵ月 |
| 費用 | 253,000円 |
| リスク・副作用 | 根管治療後の歯は天然歯よりも脆く、破折することもあるため歯ぎしりや食いしばりが強い方はマウスピースで保護する必要がある。 |
治療前
治療後
| 年齢・性別 | 33歳・女性 |
|---|---|
| 主訴 | 左上6,7 パラジウムインレー2次カリエス |
| 治療内容 | 左上6,7 セラミックインレー |
| 治療期間 | 2週間 |
| 費用 | 110,000円 |
| リスク・副作用 | 虫歯が大きく神経の近くまで削っている場合、刺激が伝わりやすく、しみる等の症状がでることがある。一定期間経過観察をしても症状が治まらない場合は歯の神経をとる処置となる。 |
治療前
治療後
| 年齢・性別 | 26歳・男性 |
|---|---|
| 主訴 | 左下5カリエス、左下6コンポジットレジン2次カリエス |
| 治療内容 | 左下56 セラミックインレー |
| 治療期間 | 約2週間 |
| 費用 | 合計110,000円 55,000円×2本 |
| リスク・副作用 | 虫歯が大きく神経の近くまで削っている場合、刺激が伝わりやすく、しみる等の症状がでることがある。一定期間経過観察をしても症状が治まらない場合は歯の神経をとる処置となる。 |
治療前
途中経過
治療後
| 年齢・性別 | 42歳・男性 |
|---|---|
| 主訴 | 左上4番と7番の銀歯を白いものに変えたい |
| 治療内容 | 左上4番と7番パラジウムインレー除去し、2次カリエスになっていたのでカリエス除去後セラミックインレーの形成 |
| 治療期間 | 約2週間 |
| 費用 | セラミックインレー 55,000円×2本 |
| リスク・副作用 | 噛み合わせが強いとセラミックインレーが欠けてしまうことがある。 神経の近くまで削った場合、セラミックインレーセット後にしみる等の症状がでることがある。 |
治療前
途中経過
治療後
| 年齢・性別 | 22歳・女性 |
|---|---|
| 主訴 | 虫歯治療がしたい |
| 治療内容 | 右上5セラミックインレーが欠けてしまっていたため、再度セラミックインレーの形成 |
| 治療期間 | 約10日 |
| 費用 | セラミックインレー 55,000円×1 |
| リスク・副作用 | 噛み合わせが強いとセラミックインレーが欠けてしまうことがある。 神経の近くまで削った場合、セラミックインレーセット後にしみる等の症状がでることが ある。 |
治療前
治療後
| 年齢・性別 | 39歳・女性 |
|---|---|
| 主訴 | 銀歯を白いものに変えたい |
| 治療内容 | 左下6パラジウムインレーを除去し、 セラミックインレーの形成 |
| 治療期間 | 約2週間 |
| 費用 | セラミックインレー 55,000円×1 |
| リスク・副作用 | 噛み合わせが強いとセラミックインレーが欠けてしまうことがある。 神経の近くまで削った場合、セラミックインレーセット後にしみる等の症状がでることが ある。 |
治療前
治療後
| 年齢・性別 | 24歳・女性 |
|---|---|
| 主訴 | 右下5の銀歯を変えたい |
| 治療内容 | 右下5銀歯を除去、 ジルコニアステインクラウンの作製 |
| 治療期間 | 約10日 |
| 費用 | ジルコニアステインクラウン 110,000円 |
| リスク・副作用 | 噛み合わせに慣れない場合、噛んだり食事をしたときに痛みが出ることがあるので調整が必要。 セルフケアを怠ると被せ物の内部が虫歯になることがある。 天然歯より硬いので噛み合う歯が欠けてしまうことがある。 |
治療前
途中経過
治療後
| 年齢・性別 | 54歳・男性 |
|---|---|
| 主訴 | 銀歯を白いものに変えたい |
| 治療内容 | 左上567パラジウムインレーを除去し、 セラミックインレーの形成 |
| 治療期間 | 約2週間 |
| 費用 | セラミックインレー55,000円×3 |
| リスク・副作用 | 噛み合わせが強いとセラミックインレーが欠けてしまうことがある。 神経の近くまで削った場合、セラミックインレーセット後にしみる等の症状がでることが ある。 |
治療前
治療後
| 年齢・性別 | 71歳・ 女性 |
|---|---|
| 主訴 | 虫歯治療がしたい |
| 治療内容 | 左下7が虫歯となっていたため、 セラミックインレーの形成 |
| 治療期間 | 約2週間 |
| 費用 | セラミックインレー55,000円 |
| リスク・副作用 | 噛み合わせが強いとセラミックインレーが欠けたり割れてしまうことがある。 神経の近くまで削った場合、セラミックインレーセット後にしみる等の症状がでることがある。 |
治療前
治療後
| 年齢・性別 | 60歳・ 女性 |
|---|---|
| 主訴 | 左上の奥歯が痛い時がある |
| 治療方針 | 虫歯を見つけるために口腔内をまずよく見ていきます。すると、黒い影がありましたので、フロスを通してみますと、フロスがボロボロになって出てきます。そのため、この部位に虫歯があると確信しましたので、虫歯をとっていきます。 |
| 治療内容 | 虫歯の範囲としては歯と歯の間でした。そのためどうしても削る量が大きくなってしまいますので、インレーという詰め物を入れて治療していくこととなりました。 |
| 治療期間 | 1週間 |
| 費用 | セラミックインレー:55,000円(税込)×2本 |
| リスク・副作用 | 治療後に冷たいものがしみるなどの症状がでることがあります。 虫歯が大きくなっている場合は神経を取り除く治療が必要になることもあります。 |
治療前
治療後
矢印部分が黒くなっている。フロスを通すと、ボロボロになって出てくる。実質的な欠損もあることが分かったので、虫歯治療をおこなっていく。

虫歯をとっている途中の写真。黒かったり、白くなっている部分がある。

虫歯を取り除いた後に型取りを行い、1週間後にセラミックインレーを詰めました。色もマッチして違和感がないことがわかります。
| 年齢・性別 | 50代・女性 |
|---|---|
| 主訴 | 銀の詰め物を白くしたい |
| 治療方針 |
5年前に入れた銀の詰め物を変えたいとの主訴でした。 レントゲンを撮影し、大きな虫歯になっている可能性も低いことを確認し、詰め物を除去し、新しい詰め物の型をとっていくことにしました。 |
| 治療内容 |
銀の詰め物をはずすと、やや虫歯になっている部分はありましたが、神経を取り除くほどの虫歯ではありませんでしたので、そのままセラミックの詰め物の型取りを全ての歯でおこなっていきました。 左右分けて行いましたので、合計で4回の来院となりました。 |
| 治療期間 | 1ヶ月 |
| 費用 |
セラミックインレー 55,000円×4本 合計 220,000円 |
| リスク・副作用 |
治療後は一定期間しみるなどの症状が出る可能性があります。 虫歯が大きくなっている場合、神経を取り除く必要があります。 |
治療前
治療後
| 年齢・性別 | 20代・女性 |
|---|---|
| 主訴 | 虫歯治療がしたい、左下6番 |
| 治療内容 | 左下6番パラジウムインレーの下で虫歯になっていたため、除去し、セラミックインレーの形成 |
| 治療期間 | 約2週間 |
| 費用 | 55,000円(2022年10月現在) |
| リスク・副作用 |
・噛み合わせが強いとセラミックインレーが欠けてしまうことがある。 ・神経の近くまで削った場合、セラミックインレーセット後にしみる等の症状が出ることがある。 |
治療前
治療後
| 年齢・性別 | 30代・女性 |
|---|---|
| 主訴 | 白い詰め物に変えたい。 |
| 治療方針 | 下顎で口を開けた際に見えるところなので、 白い詰め物に変えたいとのこと。 |
| 治療内容 | 右下6番パラジウムインレー除去、セラミックインレー形成 |
| 治療期間 | 1週間 |
| 費用 |
合計 55,000円 セラミックインレー 55,000円 (2022年8月現在) |
| リスク・副作用 |
・噛み合わせが強いとセラミックインレーが欠けてしまうことがある。 ・歯ぎしりや食いしばりが強い方はマウスピースで保護する必要がある。 ・虫歯が大きく神経の近くまで削る場合、刺激が伝わりやすく、しみる等の症状がでることがある。 |
| 特記事項 | 虫歯が大きく神経の近くまで削る場合、刺激が伝わりやすく、しみる等の症状がでることがある。 |
治療前
治療後
| 年齢・性別 | 20代・女性 |
|---|---|
| 主訴 | 虫歯治療をしたい |
| 治療内容 | 左上の一番奥に虫歯がありました。虫歯を除去したあと、光学印象で型をとりました。 |
| 治療費 | ジルコニアインレー 44,000円 (2022年12月現在) |
| 治療期間 | 1週間 (1回目:虫歯治療、2回目:詰め物を入れる) |
| リスク・副作用(必須) | 虫歯を除去すると、冷たいものなどでしみる可能性があります。 また、虫歯が深い場合、神経を取り除く処置が必要になることもあります。 光学印象は嘔吐反射のある方におすすめですが、口が大きく開けられない、虫歯が深すぎて撮影ができないなどの場合、通常の型取りをしなければならないこともあります。 2022年12月現在はジルコニアのみ光学印象の適用になります。 |
| 治療方針 | ■Day1 ■Day2 |
| 特記事項 | 光学印象は、お口が大きく開けられる方に限定されます。 詰め物の適応はジルコニアに限定されます。 |
| 担当者所見 | 今回は虫歯がやや深かったですが、撮影がしっかりできるほどお口が開けられましたので、問題なく詰め物が作成できました。 ジルコニアは色の透過性がないため、はっきり詰め物とわかりますが、精度はとてもよいと思われます。 |
治療前
途中経過
治療後
| 年齢・性別 | 50代・女性 |
|---|---|
| 主訴 | 左下5番目の虫歯 |
| 治療内容 | 左下5番のジルコニアインレーで治療 |
| 治療費 | ジルコニアインレー:49,500円 (2023年1月現在) |
| 治療期間 | 2週間 |
| リスク・副作用 | 虫歯が大きく神経の近くまで削っている場合、刺激が伝わりやすく、しみる等の症状がでることがあります。一定期間経過観察をしても症状が治まらない場合は歯の神経をとる処置が必要になることがあります。 |
| 治療方針 | 元々プラスチックの詰め物で治療されていたのですが歯の間が虫歯になっており、今回はインレーという詰め物を入れて治療していくこととなりました。 |
| 特記事項 | 光学印象での型取りはお口が大きく開く方のみ適応となります。 |
| 担当者所見 | 今回は光学印象を用いて型取りを行ったのですが精度の高いものが出来たので調整も少なく入れる事が出来ました。 ジルコ二アは色の透過性があまりないのですが周りの歯ともなじんでいるように思います。 |
治療前
治療後
| 年齢・性別 | 40代・女性 |
|---|---|
| 主訴 | 右上4、5、7番、左上4、5番セラミックインレー 右上6番、左上6番ジルコニアステインクラウンで治療しました。 |
| 治療内容 |
下の銀歯をセラミックに変えたことをきっかけに、上の銀歯も気になりはじめ今回全て白いものに変えたいとのご要望でした。 元々入っていた銀歯を除去してあらたに型取りをしました。 |
| 治療費 | 合計:544,500円 内訳 セラミックインレー:60,500円×5本 ジルコニアステイン:121,000円×2本 (2023年1月現在) |
| 治療期間 | 2ヶ月 |
| リスク・副作用 | かみ合わせに慣れない場合、かんだり食事をしたときに痛みが出ることがあるので調整が必要な場合があります。 セルフケアを怠ると被せ物の内部が虫歯になることがあります。 ジルコニアは天然の歯より硬いのでかみ合う歯が欠けてしまうことがあります。 |
| 治療方針 | 銀歯を外すと中が虫歯になっており、かなり神経に近いところまで削る必要がありました。 そのため神経を落ち着かせる薬を入れて痛みがでないか一度様子を見ました。 その後問題なさそうでしたのでセラミックの詰め物の型どりをしました。 左右の6番目の被せ物は以前に神経治療をされている歯でしたので土台からやり直して被せ物の型どりをしました。 |
| 特記事項 | 虫歯が大きく神経の近くまで削る場合、刺激が伝わりやすく、しみる等の症状がでることがあります。 神経の治療をしている歯の被せ物をやり変える場合は再度根の治療が必要になる場合があります。 |
| 担当者所見 | 詰め物、被せ物ともに自然な色、形で作製することが出来ました。 適合も良く患者さまにも大変満足いただけました。 |
治療前
治療後
| 年齢・性別 | 40代・女性 |
|---|---|
| 主訴 | 右上6番、7番の虫歯治療 |
| 治療内容 | 右上6番と7番をセラミックインレーで治療 |
| 治療費 | 合計121,000円 セラミックインレー60,500円×2本 (2023年1月現在) |
| 治療期間 | 約2週間 |
| リスク・副作用 | かみ合わせが強いとセラミックインレーが欠けてしまうことがあります。 歯ぎしりや食いしばりが強い方はマウスピースで保護する必要があります。 |
| 治療方針 | 元々詰めてあった銀歯の下が虫歯になっており、外してセラミックインレーで治療し直しました。 |
| 特記事項 | 虫歯が進行し神経の近くまで削る場合、刺激が伝わり、しみる等の症状がでることがあります。 |
| 担当者所見 | セラミックインレーは天然の歯に近い透明感があり、金属アレルギーの心配も必要ありません。 また、汚れがつきにくい素材のため虫歯が再発することもほとんどありません。 しかし、自宅での歯磨きケアや定期的なクリーニング等のメンテナンスを怠った場合は、虫歯が再発する可能性があります。 |
治療前
治療後
| 年齢・性別 | 20代・男性 |
|---|---|
| 主訴 | 虫歯を治したい 左上4.5番 |
| 治療内容 | 左上4.5番のインレー修復 |
| 治療費 | 合計121,000円 セラミックインレー60,500円×2本 (2023年9月現在) |
| 治療期間 | 約2週間 |
| リスク・副作用 | 術後冷たいものでしみる可能性がある。 |
| 治療方針 | 以前いれている詰め物を除去し、虫歯もとった上で、詰め物の型取りを行う。 |
| 特記事項 | 仮蓋の期間があるので、粘着質なものでとれやすい。 |
| 担当者所見 | 以前、詰めていたCRとインレーが二次虫歯になっていたので、治療を行いました。 |
治療前
治療後
| 年齢・性別 | 39歳・男性 |
|---|---|
| 主訴 | 左下7番 虫歯治療がしたい。 |
| 治療内容 | 左下7番セラミックインレー形成 |
| 治療費 | 60,500円 (2024年1月現在) |
| 治療期間 | 2週間 |
| リスク・副作用 | 虫歯が大きく神経の近くまで削っている場合、刺激が伝わりやすく、しみる等の症状がでることがあります。 一定期間経過観察をしても症状が治まらない場合は歯の神経をとる処置が必要になることがあります。 |
| 治療方針 | 以前にプラスチックの詰め物で治療したところが、再度虫歯になっていました。 プラスチックではまた虫歯になる可能性が高いのと歯の間にも虫歯ができていたため、今回はセラミックの詰め物で治療することになりました。 |
| 担当者所見 | 元々治療していた箇所でしたので虫歯が深く神経との距離が近くなっていたため中にお薬を入れて型どりをしました。 その後痛みが出ることなく詰め物を入れることが出来ました。 |
治療前
治療後
| 年齢・性別 | 25歳・男性 |
|---|---|
| 主訴 | 主訴:銀歯を白い詰め物に変えたい。虫歯を治したい。 治療部位:右下7番 |
| 治療内容 | 右下7番パラジウムインレーを除去し、セラミックインレーの形成 |
| 治療費 | 合計60,500円 セラミックインレー60,500円×1本 (2024年2月現在) |
| 治療期間 | 約2週間 |
| リスク・副作用 |
虫歯が大きく神経の近くまで削っている場合、刺激が伝わりやすく、しみる等の症状がでることがあります。 一定期間経過観察をしても症状が治まらない場合は歯の神経をとる処置が必要となることがあります。 |
| 治療方針 | 銀歯が気になるとのことだったので銀歯からセラミックに変えていきます。 また着色も気になるとのことでしたので自費PMTCを行っていきます。 |
| 特記事項 | 型どり後の仮フタの期間はガムやキャラメルなどの粘着質な食べ物で仮フタが取れてしまうことがあります。 |
| 担当者所見 | 自然な色味や形で作製でき、患者さまも大変喜ばれておりました。 |
治療前
治療後
| 年齢・性別 | 31歳・女性 |
|---|---|
| 主訴 | 治療部位:右下6番 主訴:虫歯を治したい |
| 治療内容 | 右下6番のハイブリッドセラミックインレーを除去し、セラミックインレーの治療 |
| 治療費 | 合計:60,500円 セラミックインレー:60,500円×1本 (2024年4月現在) |
| 治療期間 | 2週間 |
| リスク・副作用 | 虫歯が大きく神経の近くまで削っている場合、刺激が伝わりやすく、しみる等の症状がでることがあります。 一定期間経過観察をしても症状が治まらない場合は歯の神経をとる処置が必要となることがあります。 |
| 治療方針 | 以前入れていたハイブリットセラミックインレーとご自身の歯に段差があり、虫歯になっていたためセラミックインレーの印象を行いました。 |
| 特記事項 | 型どり後の仮フタの期間はガムやキャラメル、お肉などの粘着質な食べ物を食べた時やフロスの動かし方によっては仮フタが取れてしまうことがあります。 |
| 担当者所見 | 自然な色味や形で作製することができました。 セラミックインレーは汚れがつきにくい素材の為、二次的な虫歯にもなりづらいですが、定期的なクリーニング等のメインテナンスを怠ると虫歯になる可能性があります。 |
治療前
治療後
| 年齢・性別 | 54歳・男性 |
|---|---|
| 主訴 | 銀歯のところに食べ物が詰まる。 見た目も白く変えたい。 左下6番、7番、右下6番、7番 |
| 治療内容 | 左下6番、7番、右下6番、7番 セラミックインレーの形成 |
| 治療費 | 合計:¥242,000 内訳 セラミックインレー:¥60,500×4 (2024年4月現在) |
| 治療期間 | 約4週間 |
| リスク・副作用 |
かみ合わせが強いとセラミックインレーが欠けたり割れてしまうことがあります。 神経の近くまで削った場合、セラミックインレーセット後にしみる等の症状がでることがあります。 |
| 治療方針 | 10年以上前に治療した銀歯が合わなくなっており、物が詰まりやすくなっていたので外して型どりをしました。 また見た目もよくしたいとのことでセラミックの詰め物に変更しました。 |
| 担当者所見 | かなり前に治療していた箇所だったので、銀歯を外すと中が虫歯になっていました。 神経までは達していなかったのでそのまま型どりを行えました。 |
治療前
治療後
| 年齢・性別 | 56歳・女性 |
|---|---|
| 主訴 | 前歯の見た目を綺麗にしたい |
| 治療内容 | ・ホワイトニング ・右上3〜左上1番CR ・左上2番TEC ・左上2番ファイバーコア ・左上2番ジルコニアステインクラウン |
| 治療費 | 合計:169,280円 ・内訳 ホームホワイトニング:11,000円 オフィスホワイトニング:3,300円×4回 TEC:3,300円 ファイバーコア:16,500円 ジルコニアステインクラウン:121,000円 CR(4本):約4,280円(保険診療3割負担) (2024年10月現在) |
| 治療期間 | 3ヶ月 |
| リスク・副作用 | ホワイトニング後は歯がしみることがあります。ホワイトニングの色は後戻りをします。 定期的なホワイトニングで白さをキープすることができます。 CRは経年的に着色します。虫歯が深かった場合、歯がしみやすくなること、痛みを感じることがあります。 我慢できない痛みが続く場合は神経の治療に移行します。 |
| 治療方針 | 前歯CRの経年劣化による変色と、左上2番の被せ物が不適のため、やり変え希望。 ホワイトニングで白くしてから色を合わせて治療していくことになりました。 左上2番はレントゲンで根の先に黒い影が確認されたため、症状はなかったのですが、被せ物を自費でやり変えることもあり、再根管治療を行いました。 |
| 特記事項 | 根管治療中は元々入っていた被せ物を外し、仮歯に置き換えました。 土台と最終的な被せ物装着までの間は仮歯で過ごしていただきました。 |
治療前
治療後
途中経過(ホワイトニング後)
| 年齢・性別 | 33歳・女性 |
|---|---|
| 主訴 | 主訴:虫歯を治したい 治療部位:右上4番、右上5番 |
| 治療内容 | 右上4番、5番ジルコニアインレーの形成、印象、装着 |
| 治療費 | 合計:99,000円 (2024年10月現在) |
| 治療期間 | 約2週間 |
| リスク・副作用 | 虫歯が大きく神経の近くまで削っている場合、刺激が伝わりやすく、しみる等の症状がでることがあります。 一定期間経過観察をしても症状が治まらない場合は歯の神経をとる処置が必要となることがあります。 |
| 治療方針 | 定期検診の際に虫歯を確認しました。 歯と歯の間で虫歯となっており、今回はインレーと言われる詰め物を入れて治療していくこととなりました。 |
| 特記事項 | 型どり後の仮フタの期間はガムやキャラメル、お肉などの粘着質な食べ物を食べた際やフロスの動かし方によっては仮フタが取れてしまうことがあります。 |
| 担当者所見 | ジルコニアは色の透過性がないため、はっきり詰め物とわかりますが、精度はとても良いと思われます。 |
治療前
治療後
| 年齢・性別 | 25歳・男性 |
|---|---|
| 主訴 | 主訴:虫歯を治したい 治療部位:右下5〜7番 |
| 治療内容 | 右下5〜7番のジルコニアインレーの形成、印象、装着 |
| 治療費 | 合計:148,500円 (2024年10月現在) |
| 治療期間 | 約2週間 |
| リスク・副作用 | 虫歯が大きく神経の近くまで削っている場合、刺激が伝わりやすく、しみる等の症状がでることがあります。 一定期間経過観察をしても症状が治まらない場合は歯の神経をとる処置が必要となることがあります。 |
| 治療方針 | 初診時に虫歯を確認しました。 右下6番目と7番目は虫歯が深いため、神経を保護する薬を詰め、通常よりしみやすいことや痛みが出た場合神経をとる処置が必要なことを説明しました。 |
| 特記事項 | 型どり後の仮フタの期間はガムやキャラメル、お肉などの粘着質な食べ物を食べた際やフロスの動かし方によっては仮フタが取れてしまうことがあります。 |
| 担当者所見 | ジルコニアインレーは汚れがつきにくい素材のため、二次的な虫歯にもなりづらいですが、定期的なクリーニング等のメインテナンスを怠ると虫歯になる可能性があります。 |
治療前
治療後
| 年齢・性別 | 34歳・女性 |
|---|---|
| 主訴 | 主訴:虫歯を治して、白い詰め物に変えたい 治療部位:右上6番、7番 |
| 治療内容 | ジルコニアインレーの形成、印象、装着 |
| 治療費 | 合計:99,000円 (2024年12月現在) |
| 治療期間 | 約2週間 |
| リスク・副作用 | 虫歯が大きく神経の近くまで削っている場合、刺激が伝わりやすく、しみる等の症状がでることがあります。 一定期間経過観察をしても症状が治まらない場合は歯の神経をとる処置が必要となることがあります。 |
| 治療方針 | 今回はインレーと言われる詰め物を入れて治療していくこととなりました。 右上6番に関しては虫歯が深かったため、神経を保護する薬を詰めた後に型取りを行いました。 |
| 特記事項 | 型どり後の仮フタの期間はガムやキャラメル、お肉などの粘着質な食べ物を食べた際やフロスの動かし方によっては仮フタが取れてしまうことがあります。 |
| 担当者所見 | ジルコニアインレーは色の透過性はありませんが、割れにくく壊れにくい素材です。 金属アレルギーの心配も必要ありません。 また、汚れがつきにくい素材のため、二次的な虫歯にもなりづらいですが、定期的なクリーニング等のメインテナンスを怠ると虫歯になる可能性があります。 |
治療前
治療後
| 年齢・性別 | 41歳・女性 |
|---|---|
| 主訴 | 主訴:虫歯を治したい 治療部位:左上6番、7番と右上6番、7番 |
| 治療内容 | 右上6番、7番、左上6番はジルコニアインレーの形成、印象、装着 左上7番は根管治療、コア形成、歯冠長延長術、ジルコニアクラウンの形成、印象、装着 |
| 治療費 | 合計:280,500円 ジルコニアインレー:148,500円 コア形成:16,500円 歯冠長延長術:55,000円 ジルコニアクラウン:60,500円 (2025年1月現在) |
| 治療期間 | 6ヶ月 |
| リスク・副作用 | 虫歯が大きく神経の近くまで削っている場合、刺激が伝わりやすく、しみる等の症状がでることがあります。 一定期間経過観察をしても症状が治まらない場合は歯の神経をとる処置が必要となることがあります。 根管治療後、麻酔の効果が切れてくると、治る過程で鈍痛を感じることがあります。 おおよそ2〜3日ですが、長い方で1週間ほど症状が続く場合もあります。 外科処置後は血行のよくなること、飲酒、運動、長時間の入浴は控えて下さい。 |
| 治療方針 | 初診時に虫歯を確認しました。 右上6番、7番と左上6番は今回インレーといわれる部分的な詰め物を入れて治療していくこととなりました。 左上7番は虫歯が大きく、虫歯を取り除くとご自身の歯がほとんど残っていませんでした。 抜歯せずに残すためには歯冠長延長術を行う必要があり、抜歯か歯冠長延長術か選択肢が二つでした。 「抜歯はせずに残したい」と患者さまのご希望もあり、根管治療後、歯冠長延長術を行いました。 その後、土台をたてジルコニアクラウンという被せ物の型取りを行い、装着しました。 |
| 特記事項 | 型どり後の仮フタの期間はガムやキャラメル、お肉などの粘着質な食べ物を食べた際やフロスの動かし方によっては仮フタが取れてしまうことがあります。 |
| 担当者所見 | ジルコニアは光の透過性はありませんが、耐久性があり、割れにくく壊れにくいです。 インレー、クラウンともに適合性がよく、綺麗になったことで患者さまも大変喜ばれておりました。 |
治療前
治療後
| 年齢・性別 | 26歳・女性 |
|---|---|
| 主訴 | 主訴:虫歯を治したい 治療部位:右上5.6番 |
| 治療内容 | ジルコニアインレーの形成、印象、装着 |
| 治療費 | 合計:99,000円 (2025年2月現在) |
| 治療期間 | 約2週間 |
| リスク・副作用 | 虫歯が大きく神経の近くまで削っている場合、刺激が伝わりやすく、しみる等の症状がでることがあります。 一定期間経過観察をしても症状が治まらない場合は歯の神経をとる処置が必要となることがあります。 |
| 治療方針 | 定期検診の際に虫歯を確認しました。 咬合力が強く、虫歯のリスクが高い方でした。 日頃の歯ぎしりや食いしばりの癖や、かみ合わせの問題で歯に小さなヒビが入ってしまっていたため、治療が終わり次第ナイトガードの作製をご提案しました。 |
| 特記事項 | 型どり後の仮フタの期間はガムやキャラメル、お肉などの粘着質な食べ物を食べた際やフロスの動かし方によっては仮フタが取れてしまうことがあります。 |
| 担当者所見 | 今回は光学印象で型どりを行いました。 従来の印象材での型どりと違い、不快感や嘔吐反射などの軽減、また治療時間の短縮などが可能です。 光学印象での型どりはお口が大きく開く方のみ適応となります。 |
治療前
治療後
| 年齢・性別 | 51歳・男性 |
|---|---|
| 主訴 | 主訴:虫歯を治したい 治療部位:右下5番、6番 |
| 治療内容 | ジルコニアインレーの形成、印象、装着 |
| 治療費 | 合計:99,000円 ・内訳 ジルコニアインレー:49,500円×2本 (2025年3月現在) |
| 治療期間 | 約2週間 |
| リスク・副作用 | 虫歯が大きく神経の近くまで削っている場合、刺激が伝わりやすく、しみる等の症状がでることがあります。 一定期間経過観察をしても症状が治まらない場合は歯の神経をとる処置が必要となることがあります。 |
| 治療方針 | 初診時から初期虫歯として経過観察していましたが、虫歯が進行したため、インレーと言われる部分的な詰め物を入れて治療していくこととなりました。 白い詰め物をご希望されておりましたので、ジルコニアで作製しました。 |
| 特記事項 | 型どり後の仮フタの期間はガムやキャラメル、お肉などの粘着質な食べ物を食べた時やフロスの動かし方によっては仮フタが取れてしまうことがあります。 |
| 担当者所見 | ジルコニアインレーは色の透過性はありませんが、割れにくく壊れにくい素材です。 金属アレルギーの心配もありません。 また汚れがつきにくい素材のため、二次的な虫歯にもなりづらいですが、定期的なクリーニング等のメインテナンスを怠ると虫歯になる可能性があります。 |
治療前
治療後
| 診療時間 | 月 | 火 | 水 | 木 | 金 | 土 | 日 |
|---|---|---|---|---|---|---|---|
| 9:00〜13:00 | ● | ● | - | ● | ● | ● | ● |
| 14:00〜19:30 | ● | ● | - | ● | ● | - | - |
| 14:00〜17:30 | - | - | - | - | - | ● | ● |
〒106-0044 東京都港区東麻布3-8-8 明商ビル1F
大江戸線 麻布十番駅 6番出口より徒歩10秒
南北線 麻布十番駅 6番出口より徒歩10秒
Google マップを開く >