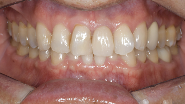
審美歯科

現在の治療費と異なる場合がございます。最新の治療費は料金表をご確認ください。

審美歯科とは?

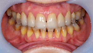
歯の悩みを抱えている女性の写真

歯や口元の美しさに焦点を当てた総合的な歯科治療

審美歯科学会の定義としては、『歯や口元の美しさに焦点を当てた総合的な歯科治療』としています。

一般的には歯科治療は痛くなったところを治し、よく噛めるようにするという認識が強いように思います。それに白く見た目のいい歯、歯並びのいい口元をつくるのがこの審美歯科にあたると考えています。

女性の笑顔の口元の写真

当院では、ただ『白い』のではなく、お口の中に合わせた色調であったり、機能面にかんしてもしっかり診査診断した上で治療にとりくみます。
歯単体だけではなく、はぐき、歯並びなどお口の中で気になることがあれば、なんでもお気軽にご相談ください。

どんな治療があるの?

女性の写真

クリーニング

歯についた歯石や着色を落とすことです。スケーリングやPMTCのことを言います。詳しくは下記のボタンをクリックしてください。

歯科医院でのクリーニングについて
麻布十番の歯医者さんで歯科医師と歯の状態を手鏡で確認している女性のイメージ

ホワイトニング

薬剤を使って自分自身の歯の色を白くする方法です。病院で行うタイプとご自身の家で行うタイプがあります。

ホワイトニングについて
歯の白さが異なる歯の模型でホワイトニングによる希望の白さを確認している女性のイメージ

歯ぐきのピーリング

タバコなどを吸うとニコチンやタールの茶色がはぐきに浸透していくのですが、これを薬剤を使って、歯ぐきの表面をはがしてはぐき本来の色にもどす方法です。

歯茎ピーリングについて
歯の模型

被せ物(クラウン)、詰め物(インレー)

被せ物や詰め物を審美的なものに変えていきます。保険治療では多くの場合銀歯になりますが、それらを白く、お口の中に調和した色に変えていき
ます。

銀歯を白くしたい 詰め物、被せ物の種類と料金
麻布十番の歯医者さんで使用する被せ物と詰め物のイメージのイラスト

インプラント

歯がない部分にチタンのネジを埋め込み、それに被せ物をいれる方法です。歯がないと年齢より歳をとってみえたり、話しにくいなどの弊害がありますが、それらを改善します。歯がない部分にはインプラントの他にブリッジや入れ歯という選択肢もあります。

歯を失ってしまったら
麻布十番の歯医者さんで使用するインプラントの模型のイメージ

メリット・デメリット

クリーニングやホワイトニングのメリット・デメリットで新たな発見をした女性の写真

メリットとデメリットを以下にまとめましたので参考にしてください。

種類 メリット デメリット
クリーニング 侵襲性が小さい
保険費用でできる
虫歯や歯周病になりにくくなる
着色除去は保険外費用
歯石がはぐきの中までついている場合は回数がかかる
治療後、歯がしみることがある
ホワイトニング 歯のもともとの色を白くできる
オフィスホワイトニングだとすぐ実感できる
ホームホワイト二ングは時間を問わず自分の好きな時にできる
詰め物、被せ物は色が変わらない
歯の神経のない歯だと色が変わらないことがある
薬物による歯の色調変化では白くできない可能性がある
治療後、歯がしみることがある
数時間色の濃いものの飲食ができなくなる
歯ぐきのピーリング 歯ぐきがきれいになる 効果が出るまでに時間がかかる
上皮が剥がれると痛いことがある(数日)
被せ物・詰め物 数回の来院できれいにすることができる
希望される場所のみの治療ができる
あらかじめゴールをワックスで表現して視覚化することもできる
歯を削る
治療後しみることがある
歯の神経を取らないといけなくなることもある
インプラント 自分の歯のように噛める
見た目が自分の歯のようである
費用がかかる
被せ物が入るまで時間がかかる
骨が少ないと手術が大きくなる

費用を教えて!

クリーニングやホワイトニングにかかる治療費の確認
クリーニング スケーリングは保険可。自費の場合5,500円
PMTCは保険外で5,500円
ホワイトニング オフィスホワイトニング 4,400円(1回)
オフィスホワイトニング 9,900円(3回セット)
ホームホワイトニング 13,200円
歯ぐきのピーリング 11,000円/回
被せ物 ジルコニアボンド 187,000円
オールセラミック 132,000円
メタルボンドクラウン 198,000円
ジルコニアステイン 132,000円
ジルコニアクラウン 66,000円
詰め物 セラミックインレー 66,000円
ジルコニアインレー 55,000円
インプラント 診査診断、インプラント手術、被せ物合わせて金額箇所:440,000~495,000円/本
(骨造成、静脈麻酔等は別途費用がかかります。)

※価格は全て税込です。
※2025年4月1日以降の価格となります。

治療で安くできる?

もちろん保険治療内でも白い詰め物、被せ物はあります。以下にまとめます。
しかし、デメリットの多い治療になりますので、よくご検討してください。

セラミック治療についてはボタンをクリックしてください。

セラミック治療
  種類 費用 デメリット
被せ物 CAD/CAM冠 約9,000円 割れやすい、削れやすい
取れやすい
色が変わりやすい
適用部位が限られている
前装冠 約5,000円 金属を使用している
色が変わりやすい
プラークがつきやすい
表面のプラスチックが割れることがある
前歯のみ適応
詰め物 コンポジットレジン 約1,000円 全ての場所で使用できるわけではない
欠けたりとれたりする
色が変わりやすい
プラークがつきやすい

おすすめは?

麻布十番の歯医者さんで問診を受けているイメージ

これまで読んでいただいたように、審美歯科といっても色々種類があります。侵襲性の大きいものから小さいものまでさまざまです。
ですので、どの部分をどう変えたいのか、変えるための期間と費用はどれくらいかけていいのか、をご自身のなかではっきりとさせることが大事でしょう。

そうしたことが決まっていれば我々歯科医師にその旨をお話ししていただければ最適なプランのご提示が可能になります。

悩んでいる女性の写真

もちろん、専門的なことは全然わからないからおまかせしたいという方もいらっしゃるでしょう。そんなときはまず歯医者さんに相談にいきましょう!そこで、歯科医師からこうすると良いのではないですかという案をもらえるはずです。

当院では、皆様に笑顔を提供するために様々なプランをご用意してお待ちしております。

芸能人御用達の治療

歯が綺麗であると周りからの印象も良くなることをイメージした女性の写真

芸能人の方は忙しく、時間が限られているため、長期にわたる治療である矯正を行えず、数回、最低1〜2ヶ月で終わる審美歯科をされている方も多くお見受けします。

前ほど歯科に行くことを隠しているかたも少なくなっており、SNSでも今日歯科にいってきました。なんて投稿もよく見かけますね。

芸能人は歯が命というフレーズがありますが、芸能人だけでなく、我々のような一般の社会人も相手にどう見られているかを第三者が評価する時代にもなっています。

見た目が違えば他人からの印象が異なってくるのも事実です。

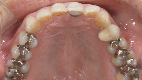
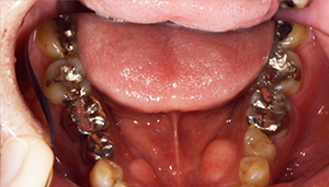
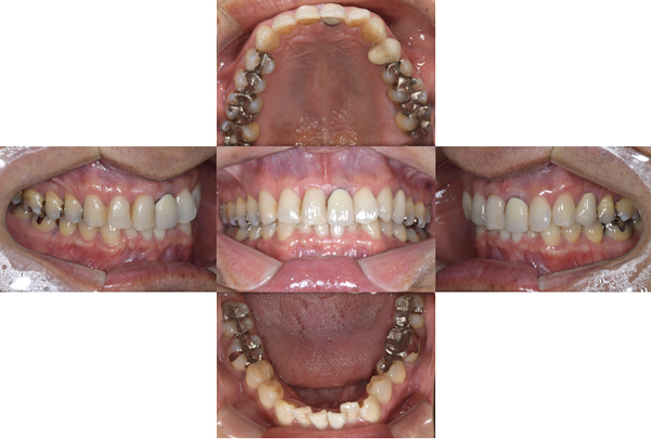
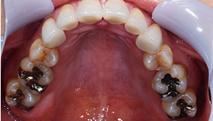
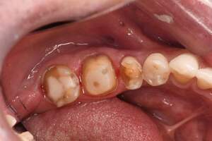
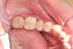
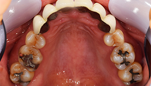
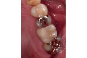
銀歯の中身はどうなってる??

麻布十番の歯医者さんで歯の検診を受けているイメージ

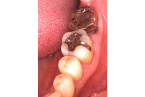
銀歯の中身の写真

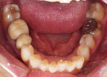
麻布十番の歯医者さんで銀歯を外す前の症例写真
麻布十番の歯医者さんで銀歯を外す後の症例写真

こちらは銀歯を外す前と後の写真の比較になります。黒い部分が虫歯になっています。銀歯をつけているとなかなかレントゲンにも虫歯として映ってこないことが多いので、発見が遅れてしまうことがあります。

実際の症例

現在の治療費と異なる場合がございます。最新の治療費は料金表をご確認ください。

麻布十番の歯医者さんで歯の治療を受けているイメージ

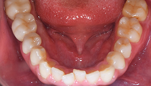
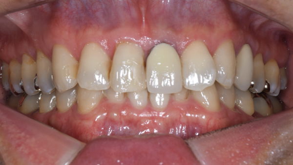
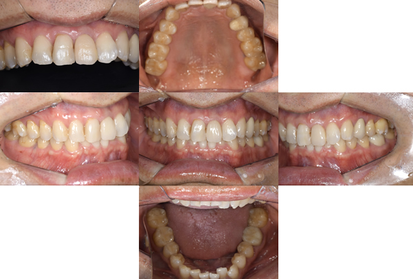
症例1

治療前

治療後

治療前

治療後

治療前

治療後

治療内容

口腔内の銀歯を全てセラミックにしたいというご希望でした。親知らずは抜歯しています。笑ったときや自然なスマイルをしたときも銀歯が見えなくなり自然になりました。

治療期間 約2ヶ月
治療費 合計:935,000円 (内訳)
オールセラミック:110,000円×5本
セラミックインレー:55,000円×7本
治療のリスク・副作用 銀歯の下で虫歯が大きくなっていたら歯の中の神経をとらないといけないことがあります。また、被せ物を外すと、ご自身の歯が少ない場合は別途はを残すための処置が必要になることがあります。
セラミックについて

症例2

治療前

治療後

治療前

治療後

治療内容

奥歯はアマルガムという発ガン性があると言われている銀の素材を金銀シルバーインレーに変えました。前歯は金属を使用した歯でややまわりのご自身の歯より色がういていたので、周りの歯にあわせて透明感のある仕上がりのある材料にてやり変えました。

治療期間 1ヶ月
治療費 合計:990,000円 (内訳)
ジルコニアボンド:165,000円×6本
治療のリスク・副作用 被せ物を外すと、ご自身の歯が少ない場合は別途はを残すための処置が必要になることがあります。

症例3

治療前

治療後

治療内容

ホワイトニングを行い、歯が白くなり、被せ物の色が周りと合わなくなったので、前歯3本の被せ物を変更しました。

治療期間 1ヶ月
治療費 合計:495,000円
(内訳)
ジルコニアボンド:165,000円×3本
治療のリスク・副作用 被せ物を外すと、ご自身の歯が少ない場合は別途はを残すための処置が必要になることがあります。
歯のホワイトニング

症例4

パノラマレントゲン写真

説明:
上顎左側臼歯部に残根があり周囲に透過像が見られる。また下顎右側臼歯部に根尖部から根分岐部に及ぶ透過像がある。また左右上下顎智歯には歯髄に達する透過像や歯冠周囲を覆う透過像が見られ歯周疾患が進行していることが取れる。

治療前:上の歯

担当医師所見:
臼歯部に残根状態の歯牙があり、またカリエス(虫歯)の散在が認められる。残根部分の両隣在歯は欠損部に対して傾斜し始めている。

治療前:下の歯

担当医師所見:
下顎右側臼歯部には一見大きな問題はないように見えるが、 頰側にフィステルと言われる排膿路があり発赤と主張があり炎症状態が続いていた。

治療前:前の歯

担当医師所見:
前歯部には離開部位があり、歯頚部にはカリエスが認められる。

治療後:上の歯

担当医師所見:
左上第1大臼歯は抜歯し、仮歯に置き換えた後治癒を待ちジルコニアBrで補綴。また右上第1大臼歯は根管治療終了後にジルコニアクラウンで補綴。前歯部は審美性を考慮しジルコニアボンドにて補綴した。 色調、形態共に調和がとれている。

治療後:下の歯

担当医師所見:
下顎右側第1大臼歯は抜歯後、仮歯に置き換え治癒を待った後ジルコニアステイニングBrにて補綴。 全顎的に色調・形態共に調和がとれている。

治療後:前の歯

担当医師所見:
前歯部はホワイトニング後に、仮歯に置き換え症状のないことを確認してからジルコニアボンドCrにて補綴。 審美性・機能面ともに調和がとれている。

治療前後の写真

治療前

治療後

治療前

治療後

治療前

治療後

年齢・性別 30代・男性
主訴 奥歯が痛くて噛めない
治療期間 半年間
治療費 合計:1,595,000円 (内訳)
・左上567ジルコニアブリッジ: 110,000×3本
・右下567ジルコニアブリッジ: 110,000×3本
・右上6ジルコニアクラウン:110,000×1本
・左下6、右上45セラミックインレー:55,000×3本
・上顎前歯部: 165,000×4本
治療方針 ・保存不可能な歯の抜歯
・歯周病治療
・根管治療(歯の根っこの治療)
・虫歯治療
・審美治療
治療内容 ・抜歯:右下第1大臼歯はCT撮影後歯根破折を認めた。また左上第一大臼歯は残根(根っこだけ残っている)状態だっため両方共抜歯の適応となり処置を行った。また上下左右親知らずも大きな虫歯になっており、歯周病を惹起しており抜歯となった。
・歯周病治療:全体的に歯肉の炎症が強く、歯磨き指導と刺繍基本治療を行い消炎処置をまず行った。その後、歯周ポケット(歯と歯茎の溝)の深部にある歯石の除去を行った。
・根管治療:右上第1大臼歯は虫歯が大きく神経に達していたため、根管治療を行い被せ物を行う。
・虫歯治療:その他虫歯のある部位はセラミックにて治療。
・審美治療:矯正治療を行う時間がないため、被せ物にて治療を行う。Waxupにてシュミレーションを行い、治療の際はあまり歯を削らないように行う。
治療のリスク・副作用 歯ぎしり・食いしばりが強い方は、セラミックが割れてしまうことがあります。半年に一度の定期検診でかみ合わせや歯周病や虫歯のチェックが必要です。

術後写真

説明:
術後、3ヶ月の口腔内写真。痛みなく、機能面・審美面共に問題なく経過している。

歯周病 根管治療 虫歯 審美歯科 セラミックについて

症例5

治療前

治療後

年齢・性別 32歳・男性
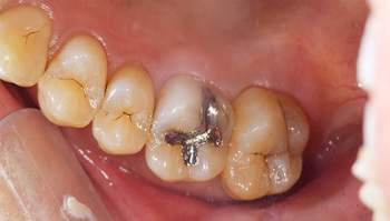
主訴 銀歯を白いものに変えたい
治療内容 左上6パラジウムインレー除去し、2次虫歯(カリエス)になっていたのでカリエス除去後セラミックインレーの形成
治療費 セラミックインレー:55,000円
治療期間 約2週間
治療のリスク・副作用 噛み合わせが強いとセラミックインレーが欠けてしまうことがあります。神経の近くまで削った場合、セラミックインレーセット後にしみる等の症状がでることがあります。
セラミックについて

症例6

治療前

治療後

年齢・性別 40代・男性
主訴 銀歯を白くしたい
治療方針 金属を使った詰め物、被せ物を外して、セラミックでの詰め物、被せ物にやりかえたいというご要望がありました。
奥歯はほとんどの歯に詰め物が入っていましたので、まずは奥歯から噛み合わせをきちんと作ってから前歯の被せ物をやりかえていく方針としました。
また、左下の奥から1番目の歯は虫歯が大きいことをレントゲンで確認できており、神経を取り除かねばならない可能性が高いことを説明してから、治療をおこなっていきました。
治療内容 左下の奥から2番目の歯は、やはり神経を取り除く必要がありました。その他の奥歯の部位は詰め物のやり変えのみですみました。 前歯は金属の土台(メタルコア)も取り除き、セラミックとジルコニアでできた被せ物を入れていきました。
治療費 合計:903,100円
(内訳)
セラミックインレー:55,000円×11本
ファイバーコア:16,500円
仮歯:3,300円×2本
ジルコニアボンドクラウン:165,000円
ジルコニアステインクラウン:110,000円
治療期間 4ヶ月
治療のリスク・副作用 詰め物を入れた後も冷たいものなどで染みることがあります。 今回のケースのように、銀歯の下では虫歯になっていることがおおく、神経を取り除かねばならないことが多々あります。

治療前

治療前 パノラマレントゲン写真

担当医師所見:
銀歯の詰め物の下で虫歯があり、神経を取り除く必要が高いことがわかります。
銀歯が多々奥歯につめられており、噛み合わせもきちんと見ていく必要があります。

奥歯の詰め物の治療終了後

奥歯の治療が終わったところです。前歯の治療に行く前に、噛み合わせをしっかり確認します。

治療前

治療後

虫歯 根管治療について セラミックについて

全ての治療終了後

前歯の治療が終わったところです。前歯は全く違和感がなく入っています。

治療後

全体の治療前後

銀歯の主張がなくなり、とても自然になりました。見た目もそうですが、雰囲気や第一印象もかなり変わりました。

治療前

治療後

治療前

治療後

治療前

治療後

症例7

治療前

治療後

年齢・性別 52歳・女性
主訴 前歯をきれいにしたい
治療内容 右上1左1コア形成、仮歯作成、ジルコニアボンドクラウン形成
治療費 合計:335,500円
(内訳)
仮歯:2,500円×2
ジルコニアボンドクラウン:165,000円×2
(2022年4月現在)
治療期間 2ヶ月
治療のリスク・副作用 天然歯より硬いので嚙み合う歯が欠けてしまうことがある。
セルフケアを怠ると被せ物の内側が虫歯になることがある。

症例8

治療前

治療中

治療後

年齢・性別 56歳・女性
主訴 被せ物をきれいにしたい
治療内容 右下6コア形成、仮歯作成、ジルコニアステイン形成
治療費 合計:113,300円
(内訳)
仮歯:3,300円
ジルコニアステイン:110,000円
(2022年7月現在)
治療期間 1ヶ月
治療のリスク・副作用 仮歯の期間は仮歯が取れやすくなっている。
天然歯より硬いので噛み合う歯が欠けてしまうことがある。

症例9

年齢・性別 56歳・女性
主訴 白い被せ物に変えたい
治療内容 右下6番・右上6番・左上6番フルメタルクラウン
除去、仮歯作成、
ジルコニアステイン形成、
右上6番・左上6番コア形成
治療費 合計:372,900円
(内訳)
ジルコニアステイン:110,000円×3本
仮歯:3,300円×3本
ファイバーコア:16,500円×2本
(2022年10月現在)
治療期間 3ヶ月
治療のリスク・副作用 仮歯の期間は仮歯が取れやすくなっている。
天然歯より硬いので噛み合う歯が欠けてしまうことがある。
特記事項 右上6番、左上6番に関しては根管治療が必要になる。

治療前

治療後

治療前

治療後

症例10

治療中

治療後

光学印象の機械【iTeroエレメント】

光学印象でスキャンした口腔内の画像

年齢・性別 49歳・男性
主訴 右下7番5番ジルコニアインレー
右下6番ジルコニアステインクラウン
治療内容 右下6番は根管治療をし、土台を立てクラウンを被せました。
右下7番は虫歯が深かったため、※覆罩をして2ヶ月痛みがでないか経過観察をし、問題がなかったので印象しました。
治療費 合計:239,800円
(内訳)
右下7番5番ジルコニアインレー:49,500円×2
右下6番ファイバーコア:16,500円
仮歯:3,300円
ジルコニアステインクラウン:121,000円 (2022年7月現在)
治療期間 約4ヵ月
治療のリスク・副作用 右下7番5番は、神経を残して虫歯治療をしたため、セット後にしみる症状がでることがありますが、だんだん神経が委縮していくとしみる、痛むなどの症状を感じにくくなります。痛みが引かない場合は神経の治療に移行します。
詰め物や被せ物は人工物のため天然歯のような形態を完全再現することは不可能です。
治療方針 右下6番の根管治療から始め、その後右下7番を覆罩で2か月経過観察を行いました。
その間右下6番は仮歯を入れて嚙み合わせなどに違和感がでないことを確認した上で、7番6番5番同時に型採りしセットしました。
特記事項 ※覆罩:虫歯が神経ギリギリまで到達していた場合、神経を守るために、専用のセメントで神経を保護します。
担当者所見 今回は光学印象で型取りをしました。口腔内をカメラで撮影することで、印象材による型取りよりもスピーディーかつ型取りの苦しさを軽減することができます。

症例11

治療前

治療後

光学印象でスキャンした口腔内の画像

年齢・性別 50歳・男性
主訴 左上が痛む、銀歯を白くしたい
治療内容 左上6番の感染根管治療(歯の根の治療)後、コア(歯の土台)形成、ジルコニアクラウン形成、印象(型とり)、装着。
左上4、5番のメタルインレー除去後、ジルコニアインレー形成、印象、装着。
治療費 合計:176,000円
(内訳)
左上6番ファイバーコア:16,500円
ジルコニアクラウン:60,500円

左上4番5番ジルコニアインレー:49,500円×2
(2024年9月現在)
治療期間 2ヶ月
治療のリスク・副作用 天然歯より硬いのでかみ合う歯が欠けてしまうことがあります。
治療方針 左上6番の感染根管治療を行なったあと、かんだ時や押した時の痛みが無くなったことを確認し、コア形成、クラウン形成に進みました。
手前の銀歯も綺麗にするために、銀歯を除去し、虫歯がある箇所を除去したのち、左上6番のクラウンと一緒に左上4、5番の印象を行なっています。
特記事項 元々あった銀歯を除去するため、より神経に近い位置を触ることになります。
神経症状がないことを確認して装着していきます。
担当者所見 歯3本分まとめて光学印象で型とりしました。
材料が硬化する待ち時間や不快感が少なく型とりをすることができます。

症例12

治療前

治療後

年齢・性別 30歳・女性
主訴 左下7番
隣の歯とのすき間ができていて物が詰まる。
治療内容 左上7番の銀歯を除去し、根の先に膿が溜まっていたので根の再治療を行った。
その後土台を入れクラウンの形成、印象を行った。
治療費 合計:140,800円
・内訳
ファイバーコア:16,500円
仮歯:3,300円
ジルコニアステイン:121,000円
(2024年10月現在)
治療期間 約1ヶ月
治療のリスク・副作用 天然歯より硬いのでかみ合う歯が欠けてしまうことがあります。
治療方針 かなり前に治療した銀歯に隙間ができていた。また見た目を白くしたいとのことでジルコニアステインの被せ物に変えた。
根の先に膿がたまっていたため根の再治療を行ってから型どりした。
担当者所見 物が詰まらなくなり、見た目も改善されて大変満足されていた。

症例13

治療前

治療後

光学印象でスキャンした口腔内の画像

年齢・性別 55歳・男性
主訴 主訴:銀歯を白い被せ物に変えたい
治療部位:左上6
治療内容 左上6の銀歯を除去して、ジルコニアクラウンの形成
治療費 合計:60,500円
(2024年10月現在)
治療期間 2週間
治療のリスク・副作用 天然歯より硬い素材のため、かみ合う歯が欠けてしまうことがあります。
色味は2種類からお選びいただきます。
治療方針 現在入っている銀歯が摩耗し削れてしまっていたため、被せ物の作り直しを提案しました。
白い被せ物をご希望でしたのでジルコニアクラウンで作製することとなりました。
特記事項 光学印象での型取りはお口が大きく開く方のみ適応となります。
担当者所見 今回光学印象で型取りを行いました。
従来の印象材での型取りと違い、不快感や嘔吐反射などの軽減、また治療時間の短縮などが可能です。

症例14

治療前

治療後

治療前

治療後

年齢・性別 55歳・男性
主訴 左上前歯の被せ物の色が他の歯よりも黄色く目立つのが気になる
治療内容 (1)デュアルホワイトニング(オフィスホワイトニングとホームホワイトニングの併用)
(2)左上1硬質レジン前装冠を除去後仮歯作成・装着
(3)仮歯の形態修正で最終補綴の形を決定
(4)ジルコニアボンドクラウン形成・印象・装着
治療費 合計210,100円
(内訳)

オフィスホワイトニング:3,300円×6回
ホームホワイトニング:11,000円

仮歯1本:3,300円×1
ジルコニアボンドクラウン1本:176,000円×1
(2024年10月現在)
治療期間 4ヶ月
治療のリスク・副作用 仮歯の期間は仮歯が取れやすくなっている。
天然歯より硬いのでかみ合う歯が欠けてしまうことがある。
治療方針 全体的な歯の黄ばみも気になるとのことでホワイトニングを先行して行いました。
オフィスホワイトニングとホームホワイトニングを併用して行い、周囲の歯が患者さまのご希望の白さまでトーンアップしたところで左上1番の被せ物を仮歯に置き換えました。
仮歯で形態修正を何度か行い、最終的な形態を決め光学印象にてジルコニアボンドクラウンの型取り、装着を行いました。
特記事項 光学印象で型とりしました。
材料が硬化する待ち時間や不快感が少なく型とりをすることができます。
担当者所見 当初反対側同名歯と左右対称の形態にする予定でしたが、患者さまの習癖とご希望を考慮し元々の被せ物の形を模倣し作製したケースです。

症例15

治療前

治療後

光学印象でスキャンした口腔内の画像

年齢・性別 35歳・女性
主訴 古い銀歯を白くしたい。
虫歯があれば治療したい。
治療内容 左上4番:プラスチックの詰め物と虫歯を除去、ジルコニアインレー形成、印象(型とり)、装着。
右上6番と左上6番:銀歯と虫歯の除去、ジルコニアインレー形成、印象(型とり)、装着。
右上7番と左上7番:銀歯と虫歯の除去、ジルコニアクラウン形成、印象(型とり)、装着。
治療費 合計:269,500円
(内訳)
右上6番と左上4番と左上6番のジルコニアインレー:49,500円×3
右上7番と左上7番のジルコニアクラウン:60,500円×2
(2024年11月現在)
治療期間 1ヶ月半
治療のリスク・副作用 天然歯より硬いのでかみ合う歯が欠けてしまうことがあります。
治療方針 右上6、7番の銀歯と虫歯を取り除いた後、右上7番を確認すると上部に残っている歯の部分が少なく、部分的なインレーの詰め物では歯の強度が不十分なため、全体を覆うクラウンで形を整え、印象(型とり)を行いました。
同日に右上6番目はジルコニアインレーの印象をしています。
後日インレーとクラウンが完成し装着しました。

左上4番のプラスチックの詰め物と左上6、7番の銀歯と虫歯を取り除き、それぞれ左上4、6番はジルコニアインレー、左上7番はジルコニアクラウンの形成、印象(型とり)を行い、後日インレーとクラウンが完成し装着しました。
特記事項 左右に分けて治療を行なっています。それぞれを光学印象にて型とりしました。
今すぐ予約したい方
03-3505-4618電話受付9〜19時半(土日は17:30まで)
3日以降のご予約
WEBから予約24時間受け付けております。

麻布十番の歯医者さん・
矯正歯科は痛みに配慮した、
コミュニケーションにあふれる歯医者です。

診療時間
9:00〜13:00 -
14:00〜19:30 - - -
14:00〜17:30 - - - - -

※平日最終受付は19:00まで
※土日の最終受付は17:00まで
[休診日]水曜・祝日

AED
TEL:03-3505-4618
地図

〒106-0044 東京都港区東麻布3-8-8 明商ビル1F
大江戸線 麻布十番駅 6番出口より徒歩10秒
南北線 麻布十番駅 6番出口より徒歩10秒
Google マップを開く >