歯の周りには歯槽骨、歯根膜、歯肉、セメント質といった歯周組織があります。その中で、歯肉は、
- 歯と歯肉は強く付着している部分(結合組織性付着)と
- 軽く付着している部分(上皮性付着)と
- くっついてない部分(歯肉)があり、
※クリックで動画再生
MTM(Minor tooth movement=小矯正)とCLP(Crown lengthening procedures=歯冠長延長術)を説明するまえに、歯科では有名な言葉で『生物学的幅径』という言葉があるので、まずそちらをご理解いただきたいと思います。
歯の周りには歯槽骨、歯根膜、歯肉、セメント質といった歯周組織があります。その中で、歯肉は、
それぞれ約1mの幅があるとされています。このそれぞれの付着を侵害する位置でかぶせ物などを入れた場合、歯肉に炎症が惹起され、生物学的幅径を維持しようと、歯槽骨の吸収、付着の喪失が発生し、歯周組織の破壊につながります。
また、無理矢理かぶせ物を入れた場合、すぐ外れたり(歯肉の中は防湿、止血が困難なため、接着が不可能なため)、歯が割れてしまい、その果ては抜歯になります。
それを回避するために、歯肉から1mmできれば2mm上に歯がある状態にするために、CLPとMTMを行い、炎症のない健全な歯周組織を維持していきます。
以下の場合に用いられる治療になります。
小矯正と歯周外科を併用することで、歯周組織を改善させ、補綴物・修復物と適切な関係を築ける。また後戻りも防ぐことができる。
さらに前歯部など、審美的要件が必要な場所において、歯茎のラインを綺麗にしたり、左右一致させたりすることができるのもメリットである。
生物学的幅径を侵すと、
そのためCLPとMTMを行い、健全な歯周組織を維持し、長持ちするかぶせ物を入れられる。
期間:
1〜3ヶ月の矯正とその後の歯肉への小手術、2〜6ヶ月待機後にかぶせ物が入ります。
料金:
MTM・CLP合わせて77,000円(税込)になります。
その後の土台やかぶせ物は保険外治療の物のご選択次第ですが、33,000円(税込)〜165,000円(税込)程です。
現在の治療費と異なる場合がございます。最新の治療費は料金表をご確認ください。
※2021年4月現在の価格です。詳しくはお問い合わせください。
| 年齢 | 50代男性 |
|---|---|
| 主訴 | 全体的にチェックしたい |
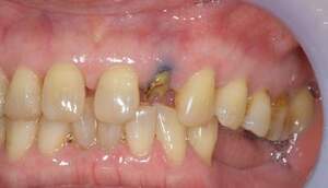
| 治療方針 | 全体的に10年以上前の治療痕で、銀歯の下でカリエスになっています。今回は右上5に限っての方針を記載する。 |
| 治療期間 | 4ヶ月 |
| 費用 | ・MTM 110,000円 ・ファイバーコア 16,500円 ・セラミッククラウン 110,000円 |
※全て税込となります。
| 治療前 | 治療後 |
|---|---|
![]() |
![]() |
カリエスを取り除くと、遠心の歯質が歯肉縁下になりました。
| 治療前 | 治療後 |
|---|---|
![]() |
![]() |
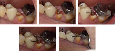
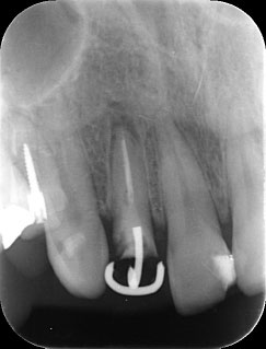
MTM開始直後と、終了後です。フックの位置が変わっているのがわかると思いますが、それが歯が動いた証拠となります。
MTM中。頬側には審美面の回復のために仮歯がついています。
歯からはフック、隣り合った歯にはワイヤーが渡してあります。そこにゴムをひっかけて歯を挺出させます。

現在の治療費と異なる場合がございます。最新の治療費は料金表をご確認ください。
| 年齢 | 40代女性 |
|---|---|
| 主訴 | 歯が変色してきた |
| 治療方針 | 左上2番目の前歯が変色。原因は失活歯であったことと、CRの周囲でカリエスになっていたため、 また、そのカリエスも大きく、このままでは保存が不可能であったため、歯を挺出させて保存することとした。 |
| 治療期間 | 8ヶ月 |
| 費用 | ・FBコア 16,500円 ・セラミッククラウン 110,000円 ・MTM 110,000円 |
※全て税込となります。
| 治療前 | 治療後 |
|---|---|
![]() |
![]() |
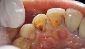
カリエスが大きく、舌側では歯肉より上に残存歯質がなくなってしまっている。このままではコア、クラウンの接着ができないため、歯を歯肉より上にだすことが重要です。
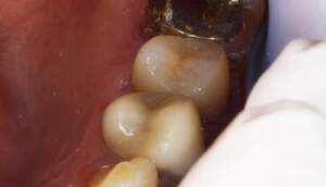
右の写真では歯肉の上に歯が一周のこり、その上にコアが入っているのがわかります。
左上2は広範囲にわたってCRが充填されているのがわかります。またその周囲に透過像があり、カリエスになっていることもわかります。

| 治療前 | 治療後 |
|---|---|
![]() |
![]() |
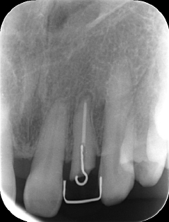
| 根の中の薬が十分に充填されておらず、根の先が周りと比べて黒くなっており、炎症があると判断できます。 | 根の中にしっかりとお薬を緊密に充填しましたが、まだ根の先に黒くなっている部分があります。 |
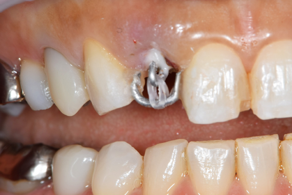
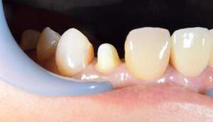
左は歯を挺出するために装置をつけた直後です。
右は挺出が終わり、コアをセットしたところです。
歯根の位置が歯冠側によっているのがわかります。
現在の治療費と異なる場合がございます。最新の治療費は料金表をご確認ください。
| 年齢 | 30代女性 |
|---|---|
| 主訴 | 前歯がとれた |
| 治療方針 | 右上2が残根状態になっています。歯の保存をするためには歯を挺出させるしかありません。 |
| 治療期間 | 9ヶ月(途中、3ヶ月程中断あり) |
| 費用 | ・MTM 110,000円 ・ファイバーコア 16,500円 ・セラミッククラウン 110,000円 |
※全て税込となります。
| 治療前 | 治療後 |
|---|---|
![]() |
![]() |
左の写真は歯が歯肉縁上にないのがわかります。右では歯肉縁上に1周にわたって歯牙があるのがわかります。
レントゲンで見ても、右上2では歯質が歯肉縁上にのこっていない。しかし歯根は長いのでMTMの適応症例です。

| 治療前 | 治療後 |
|---|---|
![]() |
![]() |
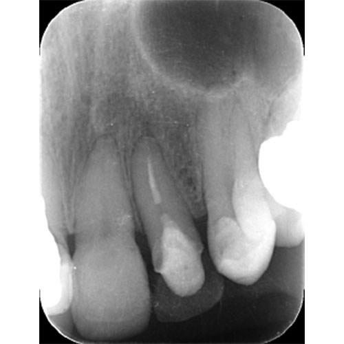
| 治療前で歯根が長いのがわかります。歯根がある程度長く無いと、MTMは行えません。 | MTM終了時のもの。フックが上の金属に接している。また根尖に透過像があるが、歯が動いた証拠です。 |
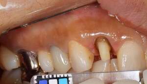
歯を挺出しているところ。

現在の治療費と異なる場合がございます。最新の治療費は料金表をご確認ください。
| 年齢 | 70代女性 |
|---|---|
| 主訴 | 前歯がとれた |
| 治療方針 | 長年使ってきた義歯の人工歯が磨耗し、臼歯部での咬合がすくなくなり、前歯部での接触が強くなったことで生じた前歯の破折なので、義歯も作り変える必要があります。 |
| 治療期間 | 8ヶ月 |
| 費用 | ・MTM 110,000円 ・ファイバーコア 16,500円 ・セラミッククラウン 110,000円 ・義歯 660,000円 |
※全て税込となります。
| 治療前 | 治療後 |
|---|---|
![]() |
![]() |
治療前で残存歯質がほとんどみられません。
残存歯質はないが、歯根は長いことを確認。

| 治療前 | 治療後 |
|---|---|
![]() |
![]() |
MTM治療開始時と終了後。右の根尖の透過像が実際に歯が動いた部分。
MTM中。頬側には審美面の回復のために仮歯がついています。
歯からはフック、隣り合った歯にはワイヤーが渡してあります。そこにゴムをひっかけて歯を挺出します。

| 診療時間 | 月 | 火 | 水 | 木 | 金 | 土 | 日 |
|---|---|---|---|---|---|---|---|
| 9:00〜13:00 | ● | ● | - | ● | ● | ● | ● |
| 14:00〜19:30 | ● | ● | - | ● | ● | - | - |
| 14:00〜17:30 | - | - | - | - | - | ● | ● |
〒106-0044 東京都港区東麻布3-8-8 明商ビル1F
大江戸線 麻布十番駅 6番出口より徒歩10秒
南北線 麻布十番駅 6番出口より徒歩10秒
Google マップを開く >