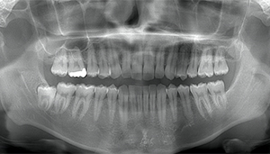
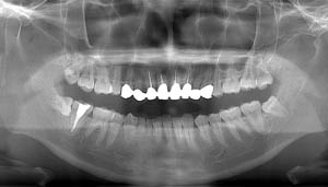
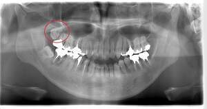
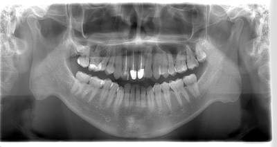
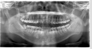
親知らずの抜歯症例
現在の治療費と異なる場合がございます。最新の治療費は料金表をご確認ください。
親しらずの抜歯に関する注意事項
- 顎の神経が近いため、抜歯後に麻痺や知覚異常をおこす場合があります。
- 抜歯後2~3日が腫れのピークになり発熱、内出血が出ることがありますが、痛み止めを飲んでしのげる場合がほとんどです。
- 抜歯後は細菌感染のリスクがあるため抜いたところを舌や指で刺激しないように注意してもらいます。
- 激しくゆすぎすぎるとドライソケットになるためうがいは優しくするようにしてもらいます。
- 上の親知らずは上顎洞に近いため、抜歯の際に上顎洞に穴が開くことがあるので、強く鼻をかんだり圧をかけないようにしてください。
- 下の親知らずは神経に近いため、術後に知覚異常を起こす可能性があります。
- 抜歯後2、3日をピークに腫れ、痛み、発熱、内出血が出ることがあります。
- 抜歯後に腫れ、痛み、発熱、内出血がでることがあります。痛みは痛み止めを飲んでしのげる程度です。
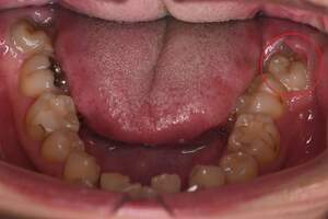
親知らずの生え方
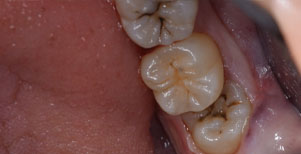
左下の歯茎が腫れている親知らずの症例
- 抜歯前写真(レントゲン、CT等)
左下の親知らず周囲歯肉が腫れていました。
また、手前の歯との間で虫歯もできていました。
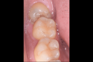
- 抜去歯の写真
3分割して抜歯しました。
| 年齢 | 20代・女性 |
|---|---|
| 主訴 | 左下の歯茎が腫れている |
| 適応するプラン | スタンダード親知らず抜歯プラン |
| 親知らずの生え方 | 歯茎から少し頭が出ている |
| 抜歯時間 | 15分 |
| 費用 | 約7,000円 |
| 抜歯内容 | 下顎の親知らずの抜歯希望の患者様です。 智歯周囲炎となっており、初診時では麻酔が効きづらい旨をお話しし、初診時は抗生物質をお出ししました。1週間後、ある程度歯肉の炎症がとれたことを確認して抜歯を行いました。 麻酔を行い、遠心(親知らずの奥側)歯肉と、手前の歯の頬側の歯肉を切開しました。 歯茎を開いて、手前の歯と引っかかっている部分をカットしました。 その後、骨からでている歯冠部(頭の部分)をカットしました。 その後へーベルで歯根(骨に埋まっている部分)を脱臼し、抜歯を終えました。 切開した歯茎を3針縫って、治療終了となりました。 歯茎を切ったため、3日ほど腫れぼったい感じがあったようですが、痛みはほとんどなく、治癒に向かいました。 |
CT
- Before

- After

CTで親知らずと神経(下歯槽管)の位置を確認しました。
親知らずと神経は一定の距離があり、麻痺などのリスクがほとんどないと判断できます。
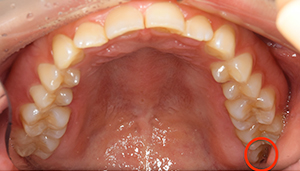
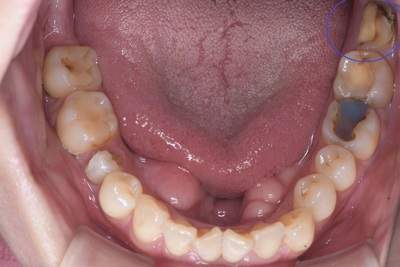
口腔内
- Before

- After

半埋伏の親知らずでした。3糸縫合しました。
左下親知らずがたまに痛み、
できれば痛くなく抜きたい症例
- 抜歯前写真(レントゲン)

- 抜歯前写真(CT画像)

| 年齢 | 20代・女性 |
|---|---|
| 主訴 | 左下親知らずがたまに痛み、できれば痛くなく抜きたい |
| 親知らずの生え方 | 完全に埋まっている、横向きに生えている |
| 抜歯時間 | 50分 |
| 費用 | 約8,000円(保険診療、CT代含む) |
| 抜歯内容 | 左下親知らずが横向きになって半分埋まっている状態だったため、麻酔を行い、親知らずの奥の歯ぐきに切開をいれ、歯が囲んでいる骨を削り、歯の頭の部分を削って出し、その後根の部分に器具をかけて抜歯しました。 親知らずが一部神経に近い部分があったため、術後に麻痺が出る可能性がありました。このケースでは事前にCTを撮影し、歯の位置、根の方向、神経との距離を確認していたため、幸い麻痺が出ることはありませんでした。 術後1週間経過して糸取りをして治療は終了となりました。抜歯後3日間は腫れと痛みで大変だったが、糸取りをする頃には痛みも腫れも無くなったと患者さまも喜んでおられました。 |
右下の親知らずが疼く症例
- 抜歯前写真(レントゲン)

- 抜去歯の写真(CT画像)

| 年齢 | 30代・女性 |
|---|---|
| 主訴 | 右下親知らずが疼く |
| 親知らずの生え方 | 横向きに生えている |
| 抜歯時間 | 40分 |
| 費用 | 約8,000円(保険診療、CT代含む) |
| 抜歯内容 | 右下の親知らずは横向きに生えて埋まっているため、麻酔をし親知らずの奥に切開を入れて歯ぐきを開き、歯を囲んでいる骨を削り歯の頭部分を割って出してから、残った根の部分を取り出して抜歯は終了しました。 歯ぐきを切った部分は糸で縫っています。このケースでは根の先端が神経に近く麻痺のリスクがありましたが事前にCTを撮影し、神経との位置関係を確認していたため、麻痺が残ることはありませんでした。 約1週間後に糸取りを行い、その際も多少の痛みや腫れはありましたが後日その痛みも無くなりました。 |
右下奥歯が痛い症例
- 抜歯前写真(レントゲン)

- 抜去歯の写真(CT画像)

| 年齢 | 40代・男性 |
|---|---|
| 主訴 | 右下奥歯が痛い |
| 親知らずの生え方 | 斜めに生えている |
| 抜歯時間 | 30分 |
| 費用 | 約6,000円(保険診療、CT代含む) |
| 抜歯内容 | レントゲン上で右下の親知らずが大きく虫歯になっており、斜めに生えていることもあり患者様の希望により抜歯することとなりました。 当日は痛みがあったため抗生剤と鎮痛剤にて炎症を抑え、後日歯ぐきを切開し、抜歯を行いました。 レントゲン上でも分かるように親知らずの根が二つに分かれており根が折れてしまう可能性がありましたが、このケースでは事前にCTを撮影し、歯の位置、根の方向を確認していたため根が折れることなく抜歯ができました。 術後数日は腫れと痛みがありましたが、薬の服用で抑えることができ、1週間後の糸取りの際には痛み、腫れともになくなっていました。 |
親知らずが虫歯になっている症例
- 抜歯前写真(レントゲン)

- 抜歯前写真(CT画像)

- 抜歯した歯の写真

| 年齢 | 30代・女性 |
|---|---|
| 主訴 | 親知らずが虫歯になっている |
| 親知らずの生え方 | 半分埋まっている、横に生えている |
| 抜歯時間 | 45分 |
| 費用 | 約8,000円(CT代含む) |
| 抜歯内容 | 当院に通院中の患者様です。 当日は痛みがあったため抗生剤と鎮痛剤にて炎症を抑え、後日歯ぐきを切開し、抜歯を行いました。 下顎の両方とも横向き生えていて、手前の歯も虫歯になっているため抜歯をすることになりました。 麻酔を行い親知らずの奥に切開を入れて、歯を覆っている周りの骨を削りました。 その後歯の頭を削って出して、残った根の部分に器具を引っかけて根の部分を取り出しました。切開した歯ぐきは糸で縫ったため約1週間後に糸取りをして終了となりました。 この症例では、横向きに生えている歯の根の先端が神経に近い場所にあったため、術後のリスクとして知覚の麻痺が出てしまう可能性がありましたが、事前にCTを撮影し、歯の位置、根の方向、神経との位置関係を確認していたため、術後の麻痺など出ることなく経過は良好です。 |
矯正治療を始める前に親知らずを
抜きたい症例
- 抜歯前写真(レントゲン)

- 抜歯前写真(CT画像)

- 抜歯した歯の写真

| 年齢 | 20代・女性 |
|---|---|
| 主訴 | 矯正治療を始める前に親知らずを抜きたい |
| 親知らずの生え方 | 完全に埋まっている、斜めに生えている |
| 抜歯時間 | 30分 |
| 費用 | 22,000円(自費抜歯) |
| 抜歯内容 | 矯正治療のために左右の下顎の親知らず抜歯を 希望された患者様です。 親知らずは歯ぐきに覆われて見えていないため、親知らずの手前の歯の奥から切開を入れて歯ぐきを開き、親知らずが見える状態にします。 その後歯を囲んでいる骨を削り、歯を取り出しました。 このケースでは事前にCTを撮影し、歯の位置、神経との位置関係を確認してから抜歯を行っています。 抜歯後、一週間は腫れと痛みがありましたが鎮痛剤を飲んで対応して頂き、糸取りをする頃には痛みや腫れは無くなり、患者様も安心しておられました。 |
根が曲がっている親知らずの症例
- 抜歯前写真(レントゲン)

- 抜歯前写真(CT画像)

| 年齢 | 30代・男性 |
|---|---|
| 主訴 | 右下奥に食べ物が詰まる、口臭が気になる |
| 親知らずの生え方 | 完全に埋まっている、まっすぐ生えている |
| 抜歯時間 | 30分 |
| 費用 | 約8,000円(CT代を含む) |
| 抜歯内容 | 当院に通院中の患者様です。右下の親知らずが埋まっていて、一部だけ見えてきており、そこが穴になってしまい食べ物が詰まってしまう状態でした。そのため、親知らずに被っている歯肉を切開し、その後、歯の一部が骨で囲まれているため周りの骨を落としました。そして器材を引っかけるところが出来たところで抜歯しました。 この症例では事前にCTを撮影し、歯の根が2本に分かれており、根が曲がっていることが分かっていたため、歯を抜く際に力をかける方向に気をつけて丁寧に抜歯を行い、根が折れることなく抜歯を終えることができました。 |
親知らずが横向きに生えており、
一部が虫歯になっている症例
- 抜歯前写真(レントゲン)

- 抜歯前写真(CT画像)

| 年齢 | 30代・男性 |
|---|---|
| 主訴 | 奥の歯が黒くなっている |
| 親知らずの生え方 | 半分埋まっている、真横に生えている |
| 抜歯時間 | 45分 |
| 費用 | 約8,000円(保険適用、CT代含む) |
| 抜歯内容 | 奥の歯が黒くなってきたとのことで来院された患者様です。親知らずが横向きに生えており、一部見えている部分が虫歯になっている状態でした。まずは見えている親知らずの奥に切開を入れ、歯の周りを覆っている骨を削り、歯の頭の部分を分割して歯の根の部分に器具を引っかけて抜歯を行いました。 この症例では事前にCTを撮影し、歯の位置、根の方向、神経との位置関係を確認していたため、麻痺などの後遺症も出ることなく経過は良好です。抜歯後、数日は痛みがありましたがその後痛みもなくなり、患者様も喜んでおられました。 |
左上下の親知らずが
大きな虫歯になっていた症例
- 抜歯前写真(レントゲン)

- 抜歯前写真(CT画像)

| 年齢 | 20代・男性 |
|---|---|
| 主訴 | 奥歯が欠けて、痛みがある |
| 親知らずの生え方 | 完全に出ている、まっすぐ生えている |
| 抜歯時間 | 30分 |
| 費用 | 約5,000円 |
| 抜歯内容 | 奥歯が欠けて痛みがあるとのことで来院された患者様です。左上下の親知らずが大きな虫歯になっており、神経まで達している状態でした。上下ともに歯の頭部分は虫歯で脆くなっていたため、できるだけ根の部分の方に器具を引っかけて抜歯を行いました。 この症例では事前にCTを撮影し、歯の位置、根の方向、上顎洞との位置関係を確認していたため、上顎洞への穿孔や下顎の神経麻痺など後遺症も起こりませんでした。 抜歯後はほとんど腫れ、痛みはなく元々あったお痛みもなくなり患者様も安心しておられました。 |
左上下の親知らずが
大きな虫歯になっていた症例
- 抜歯前写真(レントゲン、CT等)

- 抜去歯の写真

| 年齢 | 20代・女性 |
|---|---|
| 主訴 | 右下の親知らずを抜きたい |
| 親知らずの生え方 | 半分埋まっている |
| 抜歯時間 | 60分 |
| 費用 | 約6,000円(CT代含む) |
| 抜歯内容 | 右下親知らずが半分埋まっているため、汚れが溜まりやすく気になる為患者様のご希望により抜歯しました。 このケースでは事前にCTを撮影し、歯の位置、神経との位置関係を確認してから抜歯を行っています。 抜歯後、一週間は腫れと痛みがありましたが鎮痛剤を飲んで対応して頂き、糸取りをする頃には痛みや腫れは無くなり、患者様も安心しておられました。 |
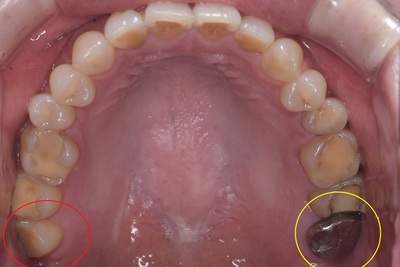
左上の親知らずを抜きたい
- 口腔内写真

- 抜歯前写真(レントゲン、CT等)

- 抜去歯の写真

| 年齢 | 50代・女性 |
|---|---|
| 主訴 | 左上の親知らずを抜きたい |
| 治療期間 | 1ヶ月 |
| 費用 | 約9,000円(保険治療内、初診検査費込) |
| 治療方針 | 右の親しらずは上下でしっかり噛んでいますので、虫歯の治療を行いました。 左に関しては下の親知らずがなく、噛んでいませんでしたので、抜歯をすることにしました。 |
| 抜歯内容 | 歯のクリーニング後、左上の親知らずを抜いていきました。 右上下の親知らずは虫歯を除去し、その部分にプラスチックをつめて治療終了しました。 |
| 特記事項 | 抜いた後は血圧が上がるようなこと(飲酒、運動、湯船に浸かる、マッサージ)などは行わないようにお願いします。 またドライソケット防止のために、抜いた箇所は触らないように、うがいも優しくするようにしてください。 歯ぐきに炎症がある場合は麻酔が効きづらくなりますので、炎症が治まってからの抜歯になります。 虫歯の治療後は冷たい物がしみたりするなどの症状がでることがあります。 |
左上の親知らずを抜きたい
- 口腔内写真

- 抜歯前写真(レントゲン、CT等)

- 抜去歯の写真

| 年齢 | 20代・女性 |
|---|---|
| 主訴 | 左上の親知らずを抜きたい |
| 治療期間 | 1週間 |
| 費用 | 約7,000円(保険治療内、初診検査費込) |
| 治療方針 | 以前他の歯科医院で右側の親知らずを抜いたが今度は左側の親知らずを抜きたい。とのことでした。 レントゲンを見ると上顎左側に親知らずがはえていました。 とくに虫歯になっているわけではありませんでしたが、頬を噛んでしまうとのことでしたので、抜くこととしました。 |
| 抜歯内容 | 歯のクリーニング後、親知らずを抜いていきました。 |
| 特記事項 | 抜いた後は血圧が上がるようなこと(飲酒、運動、湯船に浸かる、マッサージ)などは行わないようにお願いします。 またドライソケット防止のために、抜いた箇所は触らないように、うがいも優しくするようにしてください。 歯ぐきに炎症がある場合は麻酔が効きづらくなりますので、炎症が治まってからの抜歯になります。 |
左上の親知らずが大きな虫歯になっていた症例
- 口腔内写真

- 抜歯前写真(レントゲン、CT等)

- 抜去歯の写真

| 年齢 | 30代・女性 |
|---|---|
| 主訴 | 虫歯の治療をしたい |
| 治療期間 | 1ヶ月 |
| 費用 | 約7,000円(保険治療内) |
| 治療方針 | 左上の親知らずをみてみると虫歯になっており、真っ黒になっていました。 そのため、虫歯治療ではなく、抜歯を行うことにしました。 |
| 抜歯内容 | 歯のクリーニング後、親知らずを抜いていきました。 |
| 特記事項 | 抜いた後は血圧が上がるようなこと(飲酒、運動、湯船に浸かる、マッサージ)などは行わないようにお願いします。 またドライソケット防止のために、抜いた箇所は触らないように、うがいも優しくするようにしてください。 歯ぐきに炎症がある場合は麻酔が効きづらくなりますので、炎症が治まってからの抜歯になります。 |
上左右の親知らずが虫歯になっていた症例
- 抜歯前写真(レントゲン)

- 抜去歯の写真

- 抜去歯の写真

| 年齢 | 20代・女性 |
|---|---|
| 主訴 | 右上8甘い物食べると痛みが有る。 |
| 治療期間 | 15日 |
| 費用 | 約3,600円(2本分)(2022年6月現在) |
| 治療方針 | 右上8甘い物食べると痛みが有り、当日抜歯をした。 15日後に右上の傷の治りが良好だったので左上8もカリエスになっていることを説明し、抜歯した。 |
| 抜歯内容 | 親知らず抜歯 |
| リスク・副作用 | 抜歯の際、上顎洞に穴が空くことがありますが、空いた穴が小さく炎症を起こさなければ自然に塞がります。 抜歯後2、3日をピークに腫れ、発熱、内出血が出ることがありますが、痛み止めを飲んでしのげる程度がほとんどです。 抜歯後は細菌感染のリスクがあるため抜いたところを舌や指で刺激しないよう注意してもらいます。 |
| 担当者所見 | 萌出しきっていたので切開等せず、所要時間10分程度で抜歯することができました。 |
右下の親知らず抜歯症例
- 抜歯前写真(レントゲン)

- 抜歯前写真(CT画像)

- 抜去歯の写真

| 年齢 | 20代・女性 |
|---|---|
| 主訴 | 右下8抜歯 |
| 治療期間 | 1日 |
| 費用 | 約5,000円(2022年6月現在) |
| 治療内容 | 右下親知らずが虫歯で歯ブラシが届いていないので相談の上、抜歯をすることになりました。 |
| リスク・副作用 | 顎の神経が近いため、抜歯後に麻痺や知覚異常を起こす可能性があります。 抜歯後2、3日をピークに腫れ、発熱、内出血が出ることがありますが、痛み止めを飲んでしのげる程度がほとんどです。 抜歯後は細菌感染のリスクがあるため抜いたところを舌や指で刺激しないよう注意してもらいます。 |
| 担当者所見 | 萌出していたので切開することなく、抜歯ができました。歯の根っこが曲がっていたため、折れないように気をつけながら抜歯をしました。 |
右下の親知らず抜歯症例
- 抜歯前写真(レントゲン)

- 抜去歯の写真

| 年齢 | 20代・男性 |
|---|---|
| 主訴 | 右下に痛みがある 右下8抜歯 |
| 治療期間 | 1日 |
| 費用 | 約6,500円(2022年6月現在) |
| 治療内容 | 右下8番が真横に生えているのと右上8番が下の歯茎に噛んできていて痛みがある状態でした。 両方抜かないと改善されないため同日に上下2本の抜歯を行いました。 |
| リスク・副作用 | 顎の神経が近いため、 抜歯後に麻痺や知覚異常をおこす場合があります。 抜歯後2,3日が腫れのピークになり発熱、内出血が出ることがありますが、痛み止めを飲んでしのげる場合がほとんどです。 抜歯後は細菌感染のリスクがあるため抜いたところを舌や指で刺激しないように注意してもらいます。 激しくゆすぎすぎるとドライソケットになるためうがいは優しくするようにしてもらいます。 |
右上の親知らず抜歯症例
- 抜歯前写真(レントゲン)

- 抜去歯の写真

| 年齢 | 40代・男性 |
|---|---|
| 主訴 | 右上8番抜歯したい |
| 治療期間 | 1日 |
| 費用 | 2,620円 (2022年12月現在) |
| 担当者所見 | レントゲンでは上顎洞に親知らずが突き刺さっているように見えましたが、抜歯後穿通は見られませんでした。 抜歯後2、3日をピークに腫れ、発熱、内出血が出ることがありますが、痛み止めを飲んでしのげる程度がほとんどです。 抜歯後は細菌感染のリスクがあるため抜いたところを舌や指で刺激しないよう注意してもらいます。 |
| リスク・副作用 | 抜歯の際、上顎洞に穴が空くことがありますが、空いた穴が小さく炎症を起こさなければ自然に塞がります。 抜歯後2,3日が腫れのピークになり発熱、内出血が出ることがありますが、痛み止めを飲んでしのげる場合がほとんどです。 抜歯後は細菌感染のリスクがあるため抜いたところを舌や指で刺激しないように注意してもらいます。 激しくゆすぎすぎるとドライソケットになるため、うがいは優しくするようにしてもらいます。 |
右上下の親知らず抜歯症例
- 抜歯前写真(レントゲン)

- 抜去歯の写真

| 年齢 | 20代・女性 |
|---|---|
| 主訴 | 右上下の親知らず 今後矯正治療を考えているため前もって抜いておきたいとの患者様の希望により、右上下親知らずの抜歯を行いまいした。 |
| 治療期間 | 60分 |
| 費用 | 合計約8、000円 (保険診療3割負担) (2023年1月現在) |
| 抜歯内容 | 右上の親知らずは真っすぐ生えていたためすぐに抜けました。 右下は斜めに生えていたため、少し歯肉を切開して歯を分割して抜きました。 切った歯肉は2針縫合しました。 その後大きな腫れや痛みはなく触ると少し痛む程度でした。 |
| リスク・副作用 | 顎の神経が近いため、抜歯後に麻痺や知覚異常をおこす場合があります。 抜歯後2,3日が腫れのピークになり発熱、内出血が出ることがありますが、痛み止めを飲んでしのげる場合がほとんどです。 抜歯後は細菌感染のリスクがあるため抜いたところを舌や指で刺激しないように注意してもらいます。 激しくゆすぎすぎるとドライソケットになるためうがいは優しくするようにしてもらいます。 |
左上下の親知らず抜歯症例
- 抜歯前写真(レントゲン)

- 抜去歯の写真

- 抜歯前写真(CT画像)

| 年齢 | 20代・男性 |
|---|---|
| 主訴 | 左上下親知らず抜歯希望 |
| 治療期間 | 60分 |
| 費用 | 合計約9、000円 (保険診療3割負担) (2023年2月現在) |
| 抜歯内容 | 左上8番普通抜歯 左下8番半埋伏分割抜歯 |
| 担当者所見 | 抜歯前に、左下親知らずは下顎管が近いのでCTを撮影した。 3根かつ根の湾曲が強く、歯の根っこが折れて残るリスクがあったが、分割し、取り出すことができた。 |
| リスク・副作用 | 上の親知らずは上顎洞に近いため、抜歯後に鼻と口が交通することがある。当分の間、強く鼻をかんだりしないよう注意が必要。 下の親知らずは神経が近いため、術後に知覚異常を起こす可能性がある。また、抜歯後は腫れ、痛み、内出血、発熱がしばらく続くことがある。 |
左上下の親知らず抜歯症例
- 抜歯前写真(レントゲン)

- 抜去歯の写真

- 抜歯前①

- 抜歯前②

| 年齢 | 30代・女性 |
|---|---|
| 主訴 | 左下8番の痛み |
| 治療期間 | 3週間 |
| 費用 | 合計約7,020円 (2023年3月現在) |
| 抜歯内容 | 左上下8番抜歯 |
| 担当者所見 | 左上8番は虫歯になっていたため抜歯。 左下8番は半埋伏のため、歯周ポケットから排膿あり。そのままにしておくと炎症を繰り返すことが考えられるため抜歯。 |
| リスク・副作用 | 神経に接していないか確かめるために、術前にCTを撮影した。 |
| 治療方針 | 左下8番の痛みが主訴で御来院。痛みがあるうちは麻酔が効きづらいため、抜歯希望でしたが、抗生物質の投薬で炎症を抑えてから抜歯をすることになった。2週間以上空けて、痛みも引いたので抜歯をした。 |
斜めに生えている親知らずの抜歯症例
- 抜歯前写真(レントゲン)

- 抜去歯の写真

- 抜歯前写真(CT画像)

| 年齢 | 30代・男性 |
|---|---|
| 主訴 | 治療部位:右下の親知らず |
| 治療期間 | 30分 |
| 費用 | 合計約7,600円(保険診療3割負担) 約4,100円 別途CT撮影で約3,500円 (2023年3月現在) |
| 抜歯内容 | 右下の親知らず半埋伏抜歯 |
| 担当者所見 | 抜歯前に、右下親知らずが下顎管に近接していたためCTの撮影を行った。 |
斜めに生えている親知らずの抜歯症例
- 抜歯前写真(レントゲン)

- 抜去歯の写真

| 年齢 | 20代・男性 |
|---|---|
| 主訴 | 部位:左上親知らず |
| 治療期間 | 計15分 |
| 費用 | 合計約3,700円(保険診療3割負担) (2023年7月現在) |
| 抜歯内容 | 左上8番抜歯 |
| 治療方針 | 検診で毎回チェックしていた半埋伏の左上親知らずに歯石とプラークが溜まり炎症を起こしていたので抜歯をすることにしました。 |
| 担当者所見 | 歯がすんなり抜けるように、歯に被さっていた歯ぐきを少し切開しました。歯に被さっていた部分をカットしているので縫合することなく抜歯できました。翌日の消毒の際も傷口に問題はありませんでした |
真っ直ぐ生えている親知らずの抜歯症例
- 抜歯前写真(レントゲン)

- 抜去歯の写真①

- 抜去歯の写真②

| 年齢 | 20代・女性 |
|---|---|
| 主訴 | 主訴:他院で親知らずが虫歯になってると言われたので抜歯したい 部位:右上下8番 |
| 治療期間 | CT撮影、麻酔含めて30分 |
| 費用 | 合計:約6,000円 ・内訳 抜歯費:約2,500円(保険診療3割負担) CT撮影:3,500円 (2023年7月現在) |
| 抜歯方針 | 抜歯をする前にCTを撮影をし、下歯槽神経との位置を確認した上で抜歯を行った。 |
| 担当者所見 | 右上8番は咬合面から大きく虫歯になっていましたが、すんなり抜歯することができました。 |
斜めに生えている親知らずの抜歯症例
- 抜歯前写真(レントゲン)

- 抜去歯の写真

| 年齢 | 30代・女性 |
|---|---|
| 主訴 | 主訴:左下親知らずが疼く 部位:左上下8番 |
| 治療期間 | 麻酔含め25分 |
| 費用 | 合計約9,000円(保険診療3割負担) ・内訳 約5,500円 別途CT撮影約3,500円 (2023年7月現在) |
| 抜歯内容 | 左上8番普通抜歯 左下8番半埋伏分割抜歯 |
| 治療方針 | 左下8番は切開剥離し、歯を分割して抜歯、1針縫合しました。骨は削らずに済みました。 |
斜めに生えている親知らずの抜歯症例
- 抜歯前写真(レントゲン)

- 抜去歯の写真

| 年齢 | 50代・女性 |
|---|---|
| 主訴 | 主訴:左上痛い |
| 治療期間 | 20分 |
| 費用 |
2,530円(保険診療3割負担) (2023年9月現在) |
| 抜歯内容 | 左上8番半埋伏分割抜歯 |
| リスク・副作用 | 抜歯後は血流が良くなる行為(飲酒、激しい運動、長時間の入浴)は控えていただき、安静に過ごしてください。痛みは痛み止めを飲んでしのげる程度です。 |
| 治療方針 | 左上7番が8番の影響で遠心から大きく虫歯になっていました。このまま8番がある状態での虫歯治療が困難なため、抜歯することになりました。 |
| 担当者所見 | 主訴の左上の痛みが7番の虫歯によるものか、8番の半埋伏による歯ぐきの炎症によるものか判断が難しいため、先に処置すべき8番の抜歯から行いました。今後7番の虫歯治療を進めていきます。 |
真っ直ぐに生えている親知らず・完全に埋まっている親知らずの抜歯症例
- 抜歯前写真(レントゲン)

- 右上下の抜去歯の写真

- 左上下抜去歯の写真

| 年齢 | 30代・女性 |
|---|---|
| 主訴 | 主訴:親知らず抜歯と矯正を始めたい |
| 治療期間 | 左右各20分程度 |
| 費用 | 右上8番、右下7番抜歯:4,060円 左上下8番:9,130円 (2023年8月現在) |
| 抜歯内容 | 右上8番普通抜歯 右下7番普通抜歯 左上8番普通抜歯 左下8番完全埋伏抜歯 |
| 抜歯方針 | 他院で治療途中になっていた右下7番を精査したところ、パーフォレーション(※1)していました。 矯正もご希望でしたので、抜歯前に矯正医と相談と上、治療しても予後不良の7番を残すのではなく、8番を矯正で7番の位置へ動かし、活かす方針となりました。 別日に左上下8番を抜歯を行いました。左下8番は低位で歯ぐきに覆われていたので事前にCTを撮影し、歯ぐきを切開し、分割抜歯となりました。抜歯後1針縫合しました。 ※1:パーフォレーション:歯に穴が空く事 |
斜めに生えている親知らずの抜歯症例
- 抜歯前写真(レントゲン)

- 抜去歯の写真

| 年齢 | 20代・女性 |
|---|---|
| 主訴 | 左下の親知らずを抜きたい |
| 治療期間 | 60分 |
| 費用 | 合計:6,000円 (内訳) 約2,500円(保険診療3割負担) 別途CT撮影で3,500円 (2023年10月現在) |
| 抜歯内容 | 左下親知らず普通抜歯 |
| リスク・副作用 | 神経に近接していないかを確認するため術前にCT撮影をして確認しました。 |
| 治療方針 | ・左の上下親知らずを抜きたいとのことで来院されました。 左上の親知らずはまだ埋まっているため、もう少し生えてきてから抜く事になりました。 ・左下の親知らずは斜めに生えていたので歯ぐきを切る可能性がありました。 ただ今回は切らずに抜くことが出来ました。 |
| 担当者所見 | ・半埋伏の抜歯でしたが今回は切開せずに抜くことができたので回復も早く済みました。 ・根が4つに分かれていたため抜歯時に折れたりするリスクがありましたが1回でキレイに抜くことが出来ました。 |
真っ直ぐ生えている親知らずの抜歯症例
- 抜歯前写真(レントゲン)

- 抜去歯の写真

| 年齢 | 30代・女性 |
|---|---|
| 主訴 | 左下の親知らず |
| 治療期間 | 10分 |
| 費用 | 約2,000円(保険診療3割負担) (2023年11月現在) |
| 抜歯内容 | 左下の親知らず抜歯 |
| 治療方針 | 隣在歯への影響を考え、抜歯を勧めました。 |
| 特記事項 | カリエスリスクが高く、歯ブラシが親知らずまで届いていないことから虫歯になったと考えられました。 |
| 担当者所見 | お痛みはなかったものの、大きく虫歯になっており、いつ痛みだしてもおかしくない状態でした。根っこが少し湾曲してましたが、折れることなく、抜歯できました。 |
横向きに生えている親知らずの抜歯症例
- 抜歯前写真(レントゲン)

- 抜去歯の写真

| 年齢 | 30代・男性 |
|---|---|
| 主訴 | 左下の親知らずを抜歯したい |
| 治療期間 | 麻酔、縫合含め60分程度 |
| 費用 | 8,330円(保険診療3割負担) (2024年6月現在) |
| 抜歯内容 | 左下の親知らず水平埋伏抜歯 |
| 治療方針 | 親知らずは神経との距離が近いため、事前にCTを撮影し、神経との距離が十分にあることを確認した上で抜歯を行いました。 水平埋伏のため、歯ぐきを切開し、歯を分割して抜歯しました。 |
| 特記事項 | 反対側の親知らずは2回法で抜歯予定ですが、今回左下の親知らずは1回で抜歯することが出来ました。 |
| 担当者所見 | この患者さまは根っこが少し曲がっていて、水平に埋まっている親知らずでした。 成人男性の骨は硬いことが多く、スムーズに抜けないことが予想され水平に生えていることもあり安全性を考えて細かく歯を分割して抜歯しました。 |
親知らずの抜歯症例
- 抜歯前写真(レントゲン)

- 抜去歯の写真

| 年齢 | 30代・男性 |
|---|---|
| 主訴 | 左上の親知らずを抜歯したい |
| 治療期間 | 麻酔含め10分程度 |
| 費用 | 約2,000円(保険診療3割負担) (2024年8月現在) |
| 抜歯内容 | 左上の親知らず抜歯 |
| 治療方針 | 初診時の検査で虫歯を発見し、抜歯に至りました。 今回は真っ直ぐ生えていたため、切開等なくそのまま器具を使用し、抜歯しました。 |
| 特記事項 | 親知らずの生えている場所はお口の中の一番奥のため、歯ブラシがなかなか届かず、磨き残しが発生しやすい部位です。 そのため虫歯になるリスクが高いです。 |
| 担当者所見 | 元々カリエスリスクが高く、歯ブラシが親知らずまで届いていないことから虫歯になったと考えられました。 手前の7番目の歯も大きな虫歯になっており、こちらは神経を取る治療を行なっていきます。 |
右上下の親知らず抜歯症例
- 抜歯前写真(レントゲン)

- 抜歯前写真(CT画像)

- 右上抜歯前の写真

- 右上抜歯後の写真

- 右下抜歯前の写真

- 右下抜歯後の写真

| 年齢 | 30代・男性 |
|---|---|
| 主訴 | 矯正前に虫歯の治療をしたい。 右上下8番の虫歯。 |
| 治療期間 | 上下合わせて約60分 |
| 費用 | 合計約8,700円(保険診療3割負担) ・内訳 上下抜歯約5,200円 別途CT撮影約3,500円 (2024年10月現在) |
| 抜歯内容 | 右上8番普通抜歯 右下8番の半埋伏抜歯 |
| リスク・副作用 | 上8番は上顎洞に近いため、抜歯後に鼻と抜歯した穴から口に繋がってしまうことがあります。 鼻を強くかんだりしないよう注意が必要です。 下の8番は神経が近いため、抜歯後に知覚異常を起こす可能性があります。 また、歯ぐきを切開したり骨を削ったりしているので抜歯後は腫れや痛み、発熱がしばらく続くことがあります。 |
| 治療方針 | 右上8番と上顎洞との位置関係と、右下8番と神経の位置関係を確認するためにCT撮影を行いました。 右下8番は半埋伏なので歯ぐきを切開後、骨を切削したり、歯を分割して抜歯しています。 切開した歯ぐきの箇所は2箇所縫合し、後日抜糸しています。 右上8番は切開することなく抜歯しました。 |
| 特記事項 | 右下8番は切開したところのみ縫合しています。 元々歯が出ていたところは穴が開いた状態になりますが歯ぐきが治るとともに穴も塞がります。 |
| 担当者所見 | 上下どちらとも歯ブラシが届かず、汚れが溜まっている状態で虫歯になったと思われます。 抜歯した歯の手前にある右上下7番の後ろ側が虫歯になり始めている状態でしたので、抜歯後もセルフケアが大切になります。 |
親知らずの抜歯症例
- 抜歯前写真(レントゲン)

- 抜去歯の写真

| 年齢 | 30代・女性 |
|---|---|
| 主訴 | 全顎治療 |
| 治療期間 | 20分 |
| 費用 | 合計約6,000円(保険診療3割負担) ■内訳 約2,500円 CT撮影3,500円 (2024年10月現在) |
| 抜歯内容 | 右下8番普通抜歯 |
| 治療方針 | 全顎治療のため虫歯の親知らずを抜きます。 |
| 担当者所見 | 顎関節症のため口が開きづらく、口を開ける訓練の指導を行い、抜歯を行いました。 |
親知らずの抜歯症例
- 抜歯前写真(レントゲン)

- 抜歯前写真(CT画像)

- 抜歯した歯の写真

| 年齢 | 30代・男性 |
|---|---|
| 主訴 | 左上の親知らず |
| 親知らずの生え方 | 斜めに生えている |
| 抜歯時間 | 30分 ※麻酔、説明含め |
| 費用 | 合計約4,800円(保険診療3割負担) 約1,300円 別途CT撮影で約3,500円 (2024年11月現在) |
| 抜歯内容 | 左上親知らず普通抜歯 |
| 担当者所見 | 左上7番の遠心と8番が近接していたため、7番は今後クラウン予定で綺麗な物を入れるため、8番が磨きづらいこともあり、抜歯することになりました。 事前にCT撮影をしました。近心に根っこが湾曲しており、頬側遠心方向に鉗子で揺らしながら根っこが折れないように慎重に抜歯をしました。 |
親知らずの抜歯症例
- 抜歯前の口腔内写真(下)

- 抜歯前の口腔内写真(上)

- 抜歯前写真(レントゲン)

- 抜去歯(左下)

- 抜去歯(左上)

- 抜去歯(右上)

| 年齢 | 50代・女性 |
|---|---|
| 主訴 | 右上と左上下の親知らず |
| 親知らずの生え方 | 真っ直ぐに生えている |
| 抜歯時間 | 説明、麻酔含め各約30分 |
| 費用 | 各約1,240円(保険診療3割負担) (2024年12月現在) |
| 抜歯内容 | 抜歯後の負担を考慮して、右上、左上、左下の順で日にちを分けて抜歯しました。 |
| 治療方針 | 親知らずの手前の7番の虫歯治療が必要なため、先に虫歯になっている親知らずの抜歯から始めました。 |
| 担当者所見 | 左上親知らずは、メタルの被せ物が抜歯の際に外れ、中は虫歯で歯が溶けていました。 右上、左下もレジンのような材料で治療した痕がありましたが、いずれも大きく欠けており、歯として機能していませんでした。 |
親知らずの抜歯症例
- 抜歯前写真(レントゲン)

- 抜去歯

| 年齢 | 30代・女性 |
|---|---|
| 主訴 | 親知らず抜歯 左上の親知らず |
| 親知らずの生え方 | 真っ直ぐに生えている |
| 抜歯時間 | 20分 |
| 費用 |
合計6,000円(保険診療3割負担) ■内訳 約2,500円 CT撮影3,500円 (2024年12月現在) |
| 抜歯内容 | 左上8番普通抜歯 |
| 治療方針 | 奥歯は歯ブラシでは届きにくいところです。プラークがつきやすいので、痛みが出る前に親知らずを抜くことになりました。 |
| 担当者所見 | 左上8番が萌出してきたので抜歯を行いました。 |
親知らずが虫歯になっている症例
- 抜歯前写真(レントゲン)

- 抜歯前の口腔内写真

- 抜歯した歯の写真

| 年齢 | 40代・男性 |
|---|---|
| 主訴 | 主訴:親知らずを抜きたい 治療部位:左下の親知らず |
| 親知らずの生え方 | 斜めに生えている |
| 抜歯時間 | 説明、麻酔等含めて約60分 |
| 費用 | 合計 約5,400円(保険診療3割負担) ■内訳 約1,900円 CT撮影約3,500円 (2025年2月現在) |
| 抜歯内容 | 左下8番の普通抜歯 |
| 治療方針 | 初診時に親知らずの虫歯を確認しました。 先に別の部位の治療をしていましたが、痛みが出てきたため抜歯を行うこととなりました。 |
| 特記事項 | 抜歯をする前にCTを撮影をし、下歯槽神経との位置を確認した上で抜歯を行いました。 |
| 担当者所見 | 初診のご来院時から、すでに虫歯が大きく進行していました。 ご来院時にお痛みはなかったものの、大きい虫歯でしたので、いつ痛みだしてもおかしくない状態でした。 麻酔が効きづらかったため抜歯に時間を要しましたが、根が折れることなく無事に抜けました。 |