歯石ができる原因と対処法

歯石は放っておいても大丈夫?

毎日歯磨きをしていても、気づいたら歯と歯の間や、歯と歯ぐきの間に歯石がついているのはなぜ?と思っている方もいると思います。

この記事では、歯石ができる原因と予防方法、対処方法を説明します。

まず、歯垢とは酸や毒素を出す細菌のかたまりで、この歯垢が硬くなってできたものが、歯石です。

口腔内の唾液に含まれているカルシウムやリンなどの成分が結合し、石灰化すると歯垢が歯石に変化します。
歯石は、ざらついているため汚れが付着しやすく、細菌が繁殖しやすくなります。

歯石に重なってついた歯垢が石灰化するという状態が繰り返されることにより、歯石はだんだんと蓄積されていきます。

歯石が歯についている状態は、痛みもないため生活に支障がなく、そのままにしている方も多くいると思います。
しかし、歯石を放置すると、歯ぐきの炎症や出血が起こり、虫歯や歯周病、口臭の原因にもなるので、早めに除去することが重要です。

歯周病は、歯の下にある骨を溶かし、抜歯が必要になる可能性のある恐ろしい病気です。
しばらく歯科医院に行っていないという方は、知らず知らずのうちに、歯周病が進行しているという場合があります。

歯(歯ぐき)が痛い

歯石には2種類ある

①歯肉縁上歯石

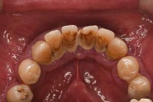
歯ぐきの上側にできる歯石のことを、歯肉縁上歯石といいます。

歯の裏側の唾液の出口から出た唾液と、歯垢が結合し、石灰化を起こしてできる歯石で、黄色っぽい白色をしています。舌で歯を触ってみて、ざらざらしている部分が歯石です。

歯周ポケット(歯ぐきの下)にできる歯石である歯肉縁下歯石と比較すると、量が多く、形成されるスピードが速いのが特徴です。

※40代・男性:歯科医院は久しぶりに受診。セルフケアがうまくできていなかった患者さま

歯の表面などにでき、簡単に取れる硬さのため、すぐに除去することが可能です。歯肉縁上歯石は、歯肉炎の原因にもなります。軽度の歯周病であれば、歯肉縁上歯石の除去と、毎日のセルフケアで歯垢を取り除くことにより、症状を改善することができます。

②歯肉縁下歯石

歯周ポケットに埋まって張りついている歯石のことを、歯肉縁下歯石といいます。

歯ぐきの出血などによりできる歯石で、黒っぽい茶色をしています。歯ぐきの下に埋まって隠れているため、鏡で見ても確認することはできません。
歯ぐきの上側にできる歯肉縁上歯石と比較すると、量が少なく、形成されるスピードが遅いのが特徴です。

歯肉縁上歯石よりも硬く、強固に張りついています。

除去が非常に難しく、痛みを伴うため、麻酔をしてから処置を行います。
歯肉縁下歯石が形成されると、そこに歯垢が付着しやすくなり、また歯石が形成されるという負の連鎖が起こります。

それに伴い、歯周ポケットも深くなり、中に棲みつく細菌により、炎症が起こります。
だんだんと歯の根を支えている骨などの歯周組織を破壊していき、歯を支えることができなくなります。

歯の支えが弱まりグラグラした歯は、最終的に抜け落ちてしまうか、抜歯が必要になります。

そのまま放置していると歯周病を悪化させていく原因になるため、そうなる前に歯肉縁下歯石を除去することが重要です。

歯石を取る方法の種類

①スケーリング

スケーリングとは、専用の器具で歯に付着している歯垢や、歯石を取り除く一般的な処置です。

②SRP(ルートプレーニング)

SRPとは、歯周ポケット(歯ぐきの下)の奥深くにある歯根部の歯肉縁下歯石を専用の器具で取り除く処置です。
歯肉縁下歯石を取るだけではなく、歯に付着した歯周病菌も綺麗に除去します。

③フラップ手術(歯周外科処置)

フラップ手術とは、SRPで器具が届かないほど歯周ポケットが深く、炎症が残ってしまう場合に、歯垢や歯石を取り除くために行う処置です。
治療方法としては、麻酔をして歯ぐきを切開し、歯についた歯石や歯周病の進行度合いを目視で確認します。

その部分を綺麗に取り除き、歯ぐきを縫合して、終了となります。

フラップ手術後の麻酔が切れたときに、痛みが出てきますので、痛み止めを飲むようにしてください。数日後に腫れが出てくる場合もありますが、1週間ほどで痛みや腫れも治まり、この頃に抜糸を行います。フラップ手術には、メリットとデメリットがあるため、受けようか悩んでいる方は、参考にしてみてください。

メリット

  1. 歯周ポケットの改善ができる
  2. 歯の根を支えている骨などの歯周組織の改善ができる
  3. 歯周病の症状の改善ができる
  4. 歯周病の悪化を防ぐ
  5. 口臭が軽減する
  6. 歯肉縁下歯石がつきにくくなる
  7. 歯磨きがしやすくなる

デメリット

  1. 処置の後、歯ぐきが下がり歯が長く見える場合がある
  2. 知覚過敏(歯がしみて痛みを感じる)になる可能性がある

フラップ手術をした後も、歯周病のリスクがなくなるわけではありません。
日々の歯磨きなどのセルフケアや、定期的な歯科検診を継続するようにしてください。 歯のクリーニング 歯周病の治し方

歯石ができやすい人の特徴

①歯の磨き残しがある、歯磨きの回数や時間が少ない

毎回違う歯から磨いていたり、歯の裏側を磨き忘れてしまったり、磨き方の癖によって磨き残しがあると、歯垢が溜まりやすくなってしまいます。
歯を磨く順番を決めて、小刻みに動かしながら磨くと、歯垢を綺麗に取り除くことができるようになります。
また、唾液には歯垢を石灰化させる働きがあるため、歯石は唾液腺の近くにできやすくなります。

唾液腺の近くとは主に、下の前歯の裏側と上の奥歯の表側です。

その部分を意識して磨くようにしてみてください。
さらに、歯と歯の間や歯と歯ぐきの間、奥歯のかみ合わせは、歯垢が溜まりやすいため、特に気をつけて磨くようにしてください。

歯と歯が重なっている部分や、でこぼこしたはえ方をしている歯は、磨き残しができやすくなるため、歯ブラシを縦にして、上下に動かし1本ずつ丁寧に磨いていくと、歯垢を落とすことができます。

強い力で磨くと、エナメル質(歯の表面を覆う層)や、歯ぐきを痛めてしまう原因になるため、優しく磨くようにしてください。
また、歯ブラシだけでは落としきれない歯垢を取り除くために、歯間ブラシやデンタルフロスを併用することをおすすめします。
就寝時には、唾液の分泌量が低下してしまうため、磨き残しがあると細菌の繁殖にも繋がってしまいます。

歯磨きをする度に歯間ブラシやデンタルフロスを使うことが難しい場合、就寝前の歯磨きをするときは、歯ブラシと併せて使うようにしてください。
また、飲食の回数に比べて、歯を磨く回数が少ない場合や、歯を磨く時間が短い場合も、歯石ができやすくなる原因となります。

できれば間食を避けて、1日3回食事の後に、3分間の歯磨きをすることが理想です。毎食後の歯磨きが難しい場合には、歯磨きシートやマウスウォッシュなどを利用してみてください。

歯ブラシの選び方としては、歯と歯が重なっている部分や、歯と歯の間などに毛先が入りやすい柔らかめのものを選ぶようにしてください。毛先が開いた歯ブラシは、汚れを除去する効果が落ちるので、1ヵ月ほどで交換することをおすすめします。

歯間ブラシには、小さいサイズから大きいサイズまで様々なサイズがあります。

歯間の間隔は個人差があるため、最初は小さいサイズから試すようにしてみてください。
デンタルフロスには、手で持つ部分の先にあらかじめ糸がついているタイプのものと、ケースの中に糸が巻かれて収納されているタイプのものがあります。

糸が巻かれて収納されているタイプのものは、好きな長さに切り取り、指に巻き付けて使うため、奥歯を清掃するときには少しコツがいります。
長めに切り取るとやりやすくなります。

初めてデンタルフロスを使う方は歯ブラシのように、手で持つ部分の先にあらかじめ糸がついているタイプのものが使いやすいかもしれません。使いやすい方を見つけて、効果的に歯垢を取り除くようにしてください。

また、定期的に歯科検診に行き、磨き残しは無いか、磨きにくい部分はどのように磨いたら良いかなど、気になることや正しい歯磨きの仕方を、歯科医師や歯科衛生士に相談することで歯石の量を減らすことにも繋がります。

②体質

口の中が乾燥している人は、唾液の分泌量が少ないことが多いです。

唾液には、食べカスや汚れを洗い流す働きがあります。唾液の分泌量が少ないと、歯垢が溜まりやすくなり、その結果歯石ができやすくなってしまいます。口の中の乾燥は、ストレスや水分をあまり摂らないなど、様々な要因があります。

食べ物をよく嚙んで食べる、こまめに水分を摂る、唾液腺マッサージをする、キシリトールガムを噛むなど、意識して唾液の分泌を促すようにしてみてください。キシリトールには、虫歯を予防する効果もあるためおすすめです。

③石ができやすい食品をよく摂る

甘い食べ物や飲み物には、糖分が多く含まれています。
口の中の細菌は、糖分によって繁殖してしまい、歯垢や歯石ができやすくなります。

甘いデザートやお菓子の食べ過ぎには注意して、食べた後は磨き残しがないように、しっかりと歯磨きをすることが重要です。特にキャラメルのような粘着性のある食べ物は、歯と歯の間に挟まって取れにくいため、歯ブラシで落としにくく、そのまま歯垢や歯石に変化してしまいます。

また、唾液の成分をアルカリ性に近づける食べ物は、歯石ができやすくなる原因になります。
アルカリ性の食品とは、野菜・海藻類・きのこ類・大豆製品・果物・卵白・牛乳・コーヒーなどです。
ただ、これらの食品を避けて生活することは、栄養バランスを崩すことになるので、基本的には歯磨きで歯垢を取り除くことで、歯石を防ぐようにしてください。

まとめ

まだ歯石になっていない歯垢の状態のときは、歯磨きなどのセルフケアで取り除くことができます。
しかし、歯石に変化してしまうと、自分で取り除くことができないため、歯科医院を受診し、専用の器具で取ってもらう必要があります。

毎日正しい歯の磨き方でセルフケアをしていても、必ず歯石はできてしまいます。

そのため、定期検診も兼ねて、3~6ヵ月に1回は歯科医院へ行き、クリーニングや歯石を取ることをおすすめします。その結果、虫歯や歯周病などのトラブルを防ぐことにも繋がります。

今すぐ予約したい方
03-3505-4618電話受付9〜19時半(土日は17:30まで)
3日以降のご予約
WEBから予約24時間受け付けております。

麻布十番の歯医者さん・
矯正歯科は痛みに配慮した、
コミュニケーションにあふれる歯医者です。

診療時間
9:00〜13:00 -
14:00〜19:30 - - -
14:00〜17:30 - - - - -

※平日最終受付は19:00まで
※土日の最終受付は17:00まで
[休診日]水曜・祝日

AED
TEL:03-3505-4618
地図

〒106-0044 東京都港区東麻布3-8-8 明商ビル1F
大江戸線 麻布十番駅 6番出口より徒歩10秒
南北線 麻布十番駅 6番出口より徒歩10秒
Google マップを開く >