歯周病にならないための対策

はじめに

皆さんは、歯周病にならないための予防として、何か対策していますか?
歯周病は知らずしらずに進行し、重度になると歯を失ってしまう恐ろしい病気です。 歯周病にならないために日頃から予防歯科を意識して取り組むことは大変重要なことです。
予防歯科を取り入れることにより、歯周病の予防はできます。

この記事では、予防歯科と歯周病対策について詳しく解説します。
歯を失ってからでは手遅れになります。歯周病対策は、大切な歯を自分で守っていくために必要です。歯周病にならないためにも予防歯科を理解し、健康な歯を保てるようにしましょう。

歯周病について

まずは歯周病について解説します。

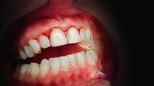
歯周病とは、歯と歯ぐきの間にある溝(歯周ポケット)に細菌が繁殖して、歯ぐきや歯の支えとなる周りの骨を破壊する病気で、放置すると歯がグラグラになり、最悪の場合には自然に抜け落ちてしまう大変恐ろしい疾患です。

口の中には数多くの細菌が多くいます。
その中の歯周病菌が主な原因の一つとなり、歯周病になります。

人それぞれ、口腔内細菌の種類や多さなどは異なりますが、細菌の種類や量が多い・少ないかによっても歯周病のリスクが違ってくるのです。

虫歯になりやすい人がいれば、歯周病になりやすい人、両方のリスクが高い人など様々な方がいるのです。

また歯垢の蓄積や喫煙、ストレス、遺伝的な要因なども影響するため、ご自身の歯周病菌の状態を知ることが大切です。

歯周病

歯周病リスクが高い人にこそ、予防歯科が必要な理由とは?

歯周病リスクが高い人にとって、予防歯科は欠かせないものとなっています。なぜなら、歯周病は進行しやすく、症状が進んだ段階では歯を失うリスクが高いからです。そこで、予防歯科の重要性が浮き彫りになってきます。

具体的には、自身での歯磨きだけでは届かない箇所の細かい汚れや歯ぐきの溝・歯周ポケットの汚れを取り除くことができる歯科医院での「プロフェッショナル・クリーニング」や歯周病の進行度を測るための「歯周ポケットの検査」などの予防歯科治療が必要となってきます。

また、歯周病の原因となる歯垢や歯石を定期的に取り除くことで、歯周病リスクを下げることができます。

さらに歯周病は、全身の健康にも影響を及ぼすことが知られています。
口内環境の悪化により口腔内から菌が全身に広がる可能性があるため、予防歯科による歯周病予防は、健康的な生活を送るためにも重要な要素の1つといえます。つまり、歯周病リスクが高い人にとって、予防歯科は歯の健康を維持するだけでなく、全身の健康を守るために欠かせないものといえます。

予防歯科治療に積極的に取り組み歯周病の進行を抑えることは、長期間にわたり健康的な生活を送るためにも大変重要なことです。

歯周病の治し方

歯周病を予防する歯磨きのポイント

どのようにしたら歯周病を予防できるのでしょうか?
歯周病は、お口の中の細菌と食べかすにより形成される歯垢が原因です。歯垢が長時間そのまま歯に付着していると歯石となり歯周病を進行させる悪循環を引き起こします。そのため、この歯垢をしっかりと取り除くことが歯周病を予防することにつながります。

つまり一番大切なことは、毎日の正しいブラッシングで歯垢をしっかり除去することになります。

《 歯周病を予防する歯磨きのポイント 》

  • できれば毎食後の歯磨きを徹底する

  • 歯ブラシは自分に合ったものを選ぶ

  • 毎日、歯間ブラシやデンタルフロスを使用して歯間の汚れを取り除く

  • 歯磨き粉はフッ素入りのものを使用する
  • 歯磨きの後は、口をきちんとゆすぐ

  • 歯磨きをしても口臭が気になる場合は、歯科医院で相談する

  • 定期的に歯科医院でブラッシング指導を受けることで、歯周病の発症を予防する

毎日の歯磨き方法が間違っていると、歯周病の原因になります。歯磨きは、正しく行うことに意味があります。ブラッシングは、歯と歯ぐきの境目を中心にやさしく丁寧に行いましょう。また、フロスや歯間ブラシを使用して歯間の清掃をし、ブラッシングだけでは届かない部分もきれいにすることがとても大切です。
歯科医院では、歯科衛生士がその方に最適なブラッシング方法を指導しています。正しく磨けているか、歯磨きの方法が間違っていないかなど、細かくチェックしてもらえます。

まずは、ご自身で簡単にチェックしてみましょう!

《 歯磨きの方法を間違っていませんか?チェックポイント 》

  • 歯ブラシの毛先を正しく歯に当てられていますか?
  • ⇒磨き残しが多い方は、歯ブラシの毛先が歯の面に正しく当たっていないことが多いです。歯ブラシの脇腹ではなく、歯ブラシの毛先を歯の面へ直角に当てましょう。

  • 鏡を見て、確認しながら磨いていますか?
  • ⇒鏡を見ずに磨いている方も多いです。正しく磨けるようになり、慣れるまでは手鏡を見ながら磨くと良いです。歯ブラシの毛先がどこに当たっているかを意識し、しっかりと確認しながら磨きましょう。

是非とも、これらのポイントを参考にしてみてください。

歯磨きの回数について

歯科医院で行う予防歯科の重要性

定期的に歯科医院で検診やクリーニングを受けることも重要です。歯科医師や歯科衛生士がプロの目でチェックしてくれるので、自分では気づかない初期の歯周病も早期発見・早期治療が可能です。
歯周病の検査は、プローブという器具を用いて歯と歯ぐきの溝の深さを計測します。歯と歯ぐきの溝は、健康な状態では1〜3mmかつ検査時に出血がない状態が正常とされています。しかし、この検査で3mm以上または出血がみられた場合には、注意が必要になります。

歯周病の検査は、歯周病を早期に発見し、早期治療するためには非常に重要です。歯周病は初期段階では症状がほとんど現れないため、定期的に検診を受けることが必要なのです。

また、歯周病は全身疾患との関連も指摘されているため、定期的な検診で歯周病の治療が行われることで、全身の健康維持にもつながります。

さらに、予防歯科での歯周病検診は、自分自身で正しい歯磨きの方法を学べる機会でもあります。歯科医院では、歯科衛生士がお口の中を見て、それぞれの状態に合った歯磨き指導を行います。正しい歯磨きは歯周病を予防します。歯周病は口腔内の細菌が原因で発生するため、正しい口腔ケアを行うことが予防につながるのです。

最後に、歯周病は進行すると歯を失ってしまう恐ろしい疾患です。進行を防ぐためには、定期的な歯科医院での歯周病検診は欠かせません。歯を長く健康的に保つためにも、今すぐ歯科医院で行う予防歯科の歯周病検診を受けてみてはいかがでしょうか。

歯のクリーニング

歯周病対策には食生活の見直しが必要

食生活は歯周病対策に大きく影響します。飲食物によっては、歯周組織の炎症を引き起こす細菌の繁殖を促進することもあるため、栄養バランスが大切です。

まず、歯周病を予防するためには、食べ物を細かく噛んで口内の刺激を与えることが重要です。特に硬い食品や食物繊維が含まれる野菜、果物は、歯肉をマッサージし、細菌の繁殖を抑制します。

また、ビタミンCやカルシウムを含む栄養素を多く摂取することも大切です。ビタミンCは、歯肉の健康維持に必要なコラーゲンの生成を促進します。カルシウムは歯や骨の健康に必要な栄養素です。
乳製品やしらす、大豆製品、キャベツ、ほうれん草などはカルシウムを多く含んでいます。

一方、歯周病を引き起こす細菌が増殖しやすい食品は、糖分や脂肪分が多いものです。

特に砂糖を多く含むジュースや甘いお菓子は、虫歯や歯周病の原因となります。
また、油っこい食品や塩辛い食品も歯周病を引き起こす細菌の繁殖を促進するため、適度に摂取するようにしましょう。

このように、歯周病対策には食生活の見直しが必要です。健康的な食生活を心がけることで歯周病を予防し、歯周組織の健康維持をサポートすることができます。

定期的な歯科検診が歯周病を予防する!

歯周病は、自覚症状がないことが多いので、油断してはいけません。
正しい歯磨きや定期的な歯科医院の受診が予防につながります。歯周病を放置すると歯を失うことにつながりますので、早期発見、早期治療が大切なのです。

日常生活で意識したい予防法は、歯磨きに加え歯間ブラシやフロスなどを使用して歯垢を除去することです。
口内環境を清潔に保ちましょう。

また喫煙は歯周病を引き起こす原因の一つとなるため、禁煙することも必要です。ストレスを減らす生活習慣やバランスの良い食生活も健康な歯と歯ぐきを維持するためには大切なことです。

歯周病は、歯科医院での定期的なメンテナンスを受けることで予防効果が高くなります。歯科医院でのプロフェッショナルなケアと自宅でのセルフケア、生活習慣の改善が合わさって歯周病予防へとつながり、健康的な歯と歯ぐきを維持することができます。
予防歯科に取り組んでいない方は今すぐ始めましょう。そして歯周病から自分の歯と全身の健康を守りましょう!

今すぐ予約したい方
03-3505-4618電話受付9〜19時半(土日は17:30まで)
3日以降のご予約
WEBから予約24時間受け付けております。

麻布十番の歯医者さん・
矯正歯科は痛みに配慮した、
コミュニケーションにあふれる歯医者です。

診療時間
9:00〜13:00 -
14:00〜19:30 - - -
14:00〜17:30 - - - - -

※平日最終受付は19:00まで
※土日の最終受付は17:00まで
[休診日]水曜・祝日

AED
TEL:03-3505-4618
地図

〒106-0044 東京都港区東麻布3-8-8 明商ビル1F
大江戸線 麻布十番駅 6番出口より徒歩10秒
南北線 麻布十番駅 6番出口より徒歩10秒
Google マップを開く >