1.しっかりと噛める
入れ歯の噛む力は、ご自身の歯と比べると約2~3割の能力と言われます。しかしオールオン4は、顎の骨に埋め込まれたインプラントが人工の歯(上物)をしっかりと固定するため、ご自身の歯に近い、しっかりとした噛み心地を得ることができます。
入れ歯でうまく噛めずにいたお食事も、ご自身の歯のように美味しく食べることができます。

奥歯で噛める喜び、歯を見せて笑える幸せを取り戻す
高い即時性があり、ケースにより最短1日での治療も可能

オールオン4(All-on-4)とは、片側だけもしくは上下の歯全てを失った方、又は抜歯予定の方のためのインプラント治療です。
最少4本〜6本のインプラントを埋入し、そのインプラントで総入れ歯の形をしたうわものを固定し、見た目と噛み合わせ機能を素早く回復させる治療法です。
全ての歯を失った場合、従来では8~14本のインプラントを埋入する必要があり、身体的・費用的負担の大きなものでした。
また、オールオン4は入れ歯を長年使って吸収してしまった顎の骨にも適応可能です。傾斜埋入という方法を用いることによって斜めにインプラントを打ち強固な固定を得ることができます。
| 手術 (仮歯・サージカルガイド等含む) |
1,650,000円 |
|---|---|
| アクリリック (プラスチック) |
550,000円 |
| セラミック (5年保証) |
2,200,000円 |
| 手術 (仮歯・サージカルガイド等含む) |
2,200,000円 |
|---|---|
| アクリリック (プラスチック) |
1,100,000円 |
| セラミック (5年保証) |
2,750,000円 |

オールオン4の治療は、抜歯と同時にインプラントを埋め込み可能な限りその日のうちに仮歯を入れて見た目と機能を改善する治療になります。
その日のうちに入れた仮歯で生活をしていただきますが、この間にインプラントと骨がくっつくまでの時間を待つ必要があります。またこの期間に仮歯の形態修正や反対側の歯の治療・1〜3ヶ月のメンテナンス行なっていきます。
最終的な治療期間としては、半年程度となります。

まずはオールオン4治療が可能か不可能か調べていきます。安全かつ確実に成功させるため、レントゲン撮影や歯周病の状態等のお口の基本的な検査を行います。

お口の状態の把握した後に、オールオン4治療をご希望の方は2回目の診察にて診査・診断を行います。こちらの診査ではCT撮影や噛み合わせの記録・顔貌評価・型取り等の細かい検査を行ってまいります。

最終的に診断を行ったのちに、最終的な治療計画や治療期間などを決め契約となります。具体的な治療方法・期間、費用、他の治療方法との比較などをお伝えし、具体的な治療開始時期などを決めていきます。

インプラントを埋め込みます。基本的にはその上に仮の歯を装着することで当日の治療は終了です。治療後には仮歯で食事を行うことも可能かつ、美しい仮歯がはいるので見た目も大幅に改善できます。
手術時間は状態にもよりますが、片顎2時間程度が一般的です。従来のインプラント治療は、3時間程度かかっていましたので、半分以下の時間で治療を終えることができ、お体への負担は軽減されていると言えます。

そして、インプラントが安定するまでの安静期間(1ヶ月~6ヶ月程度)を経て、仮の歯から正式な強度・見た目の優れた歯(上物)に取り換えます。
噛み合わせや、発音、装着感などの経過を見て問題なければ治療終了、定期検診へと移行します。

入れ歯の噛む力は、ご自身の歯と比べると約2~3割の能力と言われます。しかしオールオン4は、顎の骨に埋め込まれたインプラントが人工の歯(上物)をしっかりと固定するため、ご自身の歯に近い、しっかりとした噛み心地を得ることができます。
入れ歯でうまく噛めずにいたお食事も、ご自身の歯のように美味しく食べることができます。

オールオン4治療では、基本的に保存不可能な歯を抜歯して当日のうちに美しい仮歯が入るため口元の見た目はダイナミックに変化します。
またお口全体での処置となるため歯並びの自由度はかなり高く、理想的な歯列・色・歯のサイズなどをご選択いただけるのも魅力的です。
総入れ歯は取り外し式であり、使用しているうちにゆるくなって外れたり落ちてきてしまうことがあります。その点オールオン4は固定式のため、その心配がありません。食後や寝る前に外す必要もないため、わずらわしさもなくご自宅でのケアも簡単に行うことができます。
オールオン4のケア方法
総入れ歯の場合、上顎部分を広く覆ってしまうため違和感が強く、吐き気を催してしまうこともあります。また、慣れないうちは発音がしづらく、滑舌が悪くなることもあります。その点、オールオン4は入れ歯のように上顎を覆わないため違和感が少なく、発音にもほとんど影響がありません。
通常のインプラント手術では、歯が入るまでに一定の期間がかかります。骨を増やす手術(骨造成)を行う場合は、更に期間が必要になります。
オールオン4では最短で手術当日に仮歯をつけることができるため、歯のない期間を大幅に短縮することが可能です。柔らかいものであれば当日からお食事ができますし、見た目を気にすることなく日常生活を送ることができます。
インプラントで全ての歯を作ると、上顎だけでインプラントが最低8本以上必要であり、機能面・審美面では優れているもののコストが嵩みます。
その点オールオン4・6は最小4〜6本のインプラントで済むため、費用を大幅に抑えることができることも大きなポイントです。

オールオン4も全てにおいて、メリットだけがあるわけではなくデメリットもあります。
総義歯と比較して
総入れ歯は保険という選択肢があるのですが、オールオン4は自費の分コストがかかって来てしまいます。
総入れ歯は外科処置を伴わないケースが多いです、そのためオールオン4は外科処置を伴うリスクがあります。
総入れ歯の抜歯を行わなければならないです。しかし、どうしても歯を残したい場合には選択できない治療になります。
あまりにも顎の骨が吸収してしまっている状態などは、一度骨の造成などを行わなくてはならないケースなどもあるので一度ご相談ください。
治療や手術を行うにあたり、失敗や術後のトラブルなどを0にすることは不可能と言えます。オールオン4による治療であっても同様で、稀に治療の失敗やその後のトラブルなどが発生してしまうことがあります。
オールオン4で起きやすいトラブルは、「インプラント周囲炎」と言われるものと上部構造の破損があります。ちなみにインプラント周囲炎とは、天然の歯でいう「歯周病」のことです。

口の中の細菌(プラーク)が原因となり、歯ぐきの腫れや出血・排膿を引き起こし、進行するとインプラントの周囲の骨が溶けてきてしまい、インプラントがグラグラと揺れ、最終的にはインプラントを除去しなければならなくなります。
インプラント周囲炎の初期段階では、ほとんど自覚症状がありません。
軽度の場合は、専門的なクリーニングや、抗生剤の投与などで治療を行いますが、重度に進行してしまうとインプラントの除去を行う可能性も出てきてしまいます。
このような状態になると、溶けてしまった骨の回復を図った後、再度インプラントを埋め込む手術を考慮します。しかし、その場合は時間もかかる上うまく骨が回復しない場合には、インプラントを埋め込むことができない事があります。
インプラント周囲炎の予防は、レントゲンでの経過観察、正しいブラッシング、専門的に定期的なクリーニングやメンテナンスを受けることが必須となります。
上物の種類などにより変動はありますが、夜寝ている時などの過剰な咬合力によりかけてしまったり割れてしまったりすることがあります。
部分的な補修修復は当日に治療することも可能ですが大きく破損していたり割れてしまっているケースは作り直しとなってしまいます。
できるだけ、上物の破損・破折を防ぐために定期検診等を受けていただきかみ合わせの調整を行うことや寝ている時の異常な咬合力から上物を守るためのマウスピース(ナイトガード)を使用してできる限り力の分散を行いリスクを軽減することが必要となります。

オールオン4の寿命はインプラントと同じ寿命と言えるでしょう。
インプラントの寿命は平均15年と言われております。もちろん長いものでは40年ほど安定して経過しているケースもあります。
平均15年というのは早期に寿命がきてしまうケースも含めての話ですので、患者様のブラッシングの頻度やお口の中の状態によって大きく変化します。
インプラントを失ってしまうケースのほとんどがインプラント周囲炎によるものです。インプラント周囲炎とは、インプラントの周りに細菌等が溜まり炎症を起こし、噛み合わせや強い咬合力などでインプラントを支えている骨がなくなってしまう病気です。
歯周病と同じ様な症状があり、出血や歯肉の腫れを伴います。しかし痛みを伴わないことが多いため発見が遅れることが多いです。
したがってオールオン4然り、インプラントの長期的な寿命の安定を考えると患者様のセルフケアとプロによる専門的なメンテナンスを行うことがインプラント周囲炎予防となるのです。
寿命を延ばせば一生物になるインプラントを我々と一緒に目指しましょう。

オールオン4の治療では、4本の歯で多数歯を支えることから、1本あたりのインプラントに加わる力が強くなります。また、オールオン4は4つのインプラントが一体となり上物を支えているため、1本でもインプラント周囲炎により除去する事になってしまうとその上物が使えなくなってしまう可能性があります。
そのため、オールオン4は徹底的な管理と丁寧なケアが必要になってきます。
オールオン4は上物の形の都合上、セルフケアで歯茎と接する部分を完璧に汚れを落とすのは困難です。
したがって、専門的なクリーニングを定期的に歯科医院で受ける事とご自宅での正しいブラッシングが必須となります。
専門的なケアは、研鑽を積んだ歯科医師・歯科衛生士が通常歯ブラシや歯間ブラシが届かない様な細かい部分を清掃します。また、状況に応じて上物を外しインプラント部位を直接清掃します。
定期検診の期間としては、3ヶ月に1度から半年の間で通っていただく事が必要となります。
歯ブラシはいつもお使いのもので構いません。もしも使用されている歯ブラシでご不明な点がある場合はスタッフまでお問い合わせください。ご自身に合った歯ブラシをお選びいたします。
歯磨き粉に関しては、研磨剤の入ったものは避けましょう。表面に細かい傷がつき、着色や細菌がつきやすくなることがあります。
歯ぐきと人工の歯(上部構造)の間に食べかすや汚れが溜まるため、歯間ブラシやスーパーフロス、ウォーターピックを用いて、汚れを落としましょう。
また、機械的な清掃のみではなく化学的な清掃=マウスウォッシュもおすすめです。お口の中の細菌数を抑えることができるのでとても効果的です。

比較的高額な費用がかかるため、お支払い方法に不安を感じている方もいらっしゃると思います。
当院では自費診療の場合、現金・クレジットカード・振込・デンタルローンの4つのお支払方法からお選びいただけます。
歯科に限定された治療費を分割してお支払いができるローンの方法です。ローンと聞くと身構えてしまう方もいるかもしれませんが、クレジットカードの分割払いよりも金利を安く抑えることができます。
分割回数や金利、そのほかのお支払方法についてご不明な点はお気軽にスタッフまでお声がけください。

現在の治療費と異なる場合がございます。最新の治療費は料金表をご確認ください。
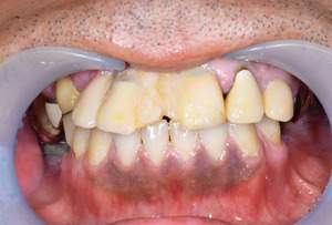
BEFORE

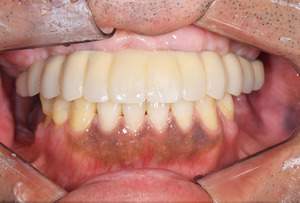
AFTER

BEFORE

AFTER

| 年齢・性別 | 63歳・男性 |
|---|---|
| 主訴 | インプラントがしたい |
| 治療内容 | オールオン4(上顎) |
| 治療費 | オペ料金(仮歯・薬代金含み)150万円+上部構造 (ハイブリットセラミック)150万円=計300万円(消費税別) |
| 治療期間 | 7ヶ月 |
| リスク・副作用 | 治療後の口腔管理が不適切な場合、インプラント周囲に炎症が生じインプラントが脱落する恐れがある。 |

審美的にも、機能的にも調和がとれており何よりも食べ物がちゃんとかめると言う事に感激されておりました。 今後定期検診をしながら経過を診て行きたいと思い
ます。
| 診療時間 | 月 | 火 | 水 | 木 | 金 | 土 | 日 |
|---|---|---|---|---|---|---|---|
| 9:00〜13:00 | ● | ● | - | ● | ● | ● | ● |
| 14:00〜19:30 | ● | ● | - | ● | ● | - | - |
| 14:00〜17:30 | - | - | - | - | - | ● | ● |
〒106-0044 東京都港区東麻布3-8-8 明商ビル1F
大江戸線 麻布十番駅 6番出口より徒歩10秒
南北線 麻布十番駅 6番出口より徒歩10秒
Google マップを開く >