インプラントについて
インプラントとは、虫歯や歯周病などの様々な原因により歯が失われてしまったところへ、人工の歯の根=人工歯根(インプラント)をつくり、その上に被せ物を装着する治療法のことです。
1952年にスウェーデンのブローネマルク博士が、チタンと骨が結合する「オッセオインテグレーション(骨結合)」を偶然発見したことから実験を重ね、歯科治療に応用したものです。
リスク・副作用
インプラント埋入手術における
リスク・副作用
- インプラント手術では、外科的な処置をするため、一過性、場合によっては持続的に、唇・舌・頬・口蓋・歯肉・歯牙等の感覚麻痺、切開に起因する瘢痕組織による知覚異常が起こる事があります。
- 稀に神経損傷が起きる可能性があります。
- インプラント体と骨との結合不全が起こる可能性があります。
- 上顎洞・鼻腔への穿孔による炎症・疼痛・過敏症・治癒遅延が起こる事があります。
- 術後は痛み、腫れ、発熱、内出血が出ることがあります。
- 喫煙・飲酒は、組織治癒の遅延およびインプラントの骨結合不全が起こるリスクを高めます。
- インプラントが骨と結合するのに3~6か月かかるため、完了までの治療期間が長くなります。
インプラント上部構造set後の
リスク・副作用
- インプラントはご自身のセルフケアに加え、歯科医院でのメンテナンスが不十分だと、歯周病になることがあります。
- 歯軋り、食いしばりが強い方はインプラントの上部構造が割れてしまうことがあるため、就寝時のマウスピースの使用が必要です。
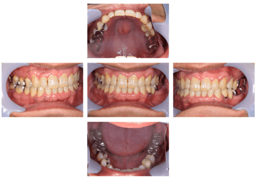
症例一覧
最新の治療費と異なる場合がございます。また、症状等により治療費は変動する可能性がございますので、治療費については直接医院へお問合せください。
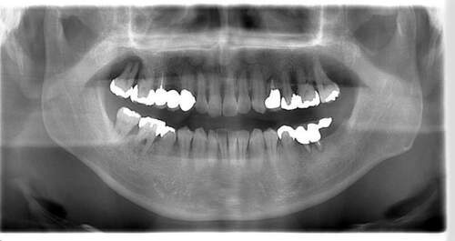
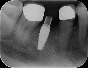
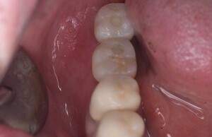
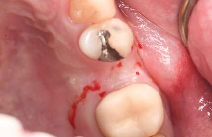
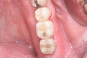
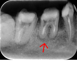
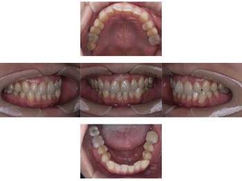
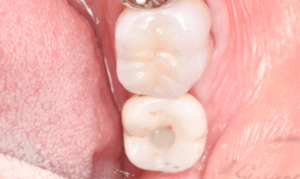
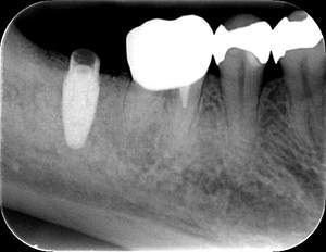
インプラント治療の症例1
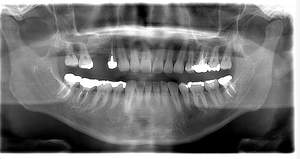
レントゲン写真
- 透過像
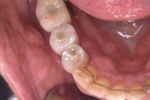
症例写真-1
- Befor
- After
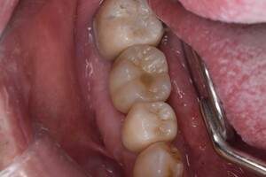
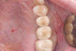
症例写真-2
- Befor
- 途中経過
- After
| 年齢 | 50代・男性 |
|---|---|
| 主訴 | 右下歯が疼く |
| 治療内容 | ・右下6番インプラント ※1:FGG(遊離歯肉移植術)とは、足りない歯ぐきを上顎から上皮を切り取り移植する外科手術 |
| 治療費 | 合計:902,000円(税込) ■内訳 |
| 治療期間 | 9ヵ月 |
| 治療方針 | 右下の当該歯は歯根破折により保存不可能と診断しました。歯周疾患も伴っていたため抜歯後に骨吸収※1が大きく起こることが予測できました。チタンメッシュ併用骨再生誘導法(GBR※2)を選択しインプラント埋入と同時に行い自然な歯槽骨のラインを再現しました。またGBRを行う際にインプラント辺縁の付着歯肉の減少が起こる為、遊離歯肉移植術(FGG※3)を行い清掃性を考慮した形態に仕上げました。 ■治療方針の解説 治療した右下の歯をレントゲンで撮影したところ根本の部分に黒く写る箇所があり「根尖性慢性周囲炎※1」と診断。また歯周病も進行していました。 ※1 骨吸収・・・歯槽骨という歯を支える骨がなくなっていくこと |
| 担当者所見 | 主訴の右下だけでなく歯茎の腫れ、発赤があり不良補綴や不良充填など他にも治療箇所が多数ありました。プラークコントロールが不良であった為まずはブラッシング指導を行いセルフケアの重要性を理解していただくところからスタートしました。 右下6番の歯はインプラント治療を行なった結果審美的にも機能的にも患者様の満足を得ることができました。骨造成と歯肉移植も行なった為インプラントを支える十分な歯周組織の獲得ができたと思っております。 |
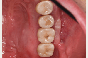
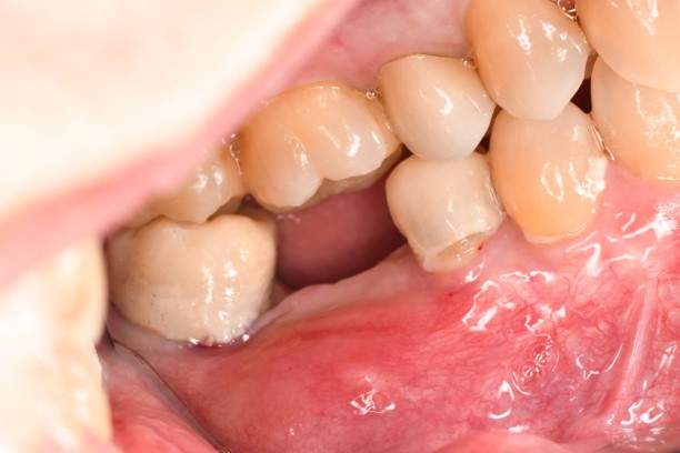
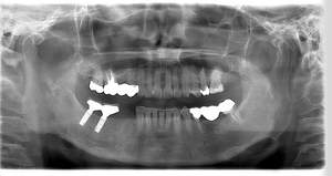
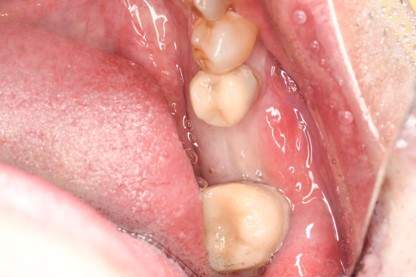
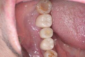
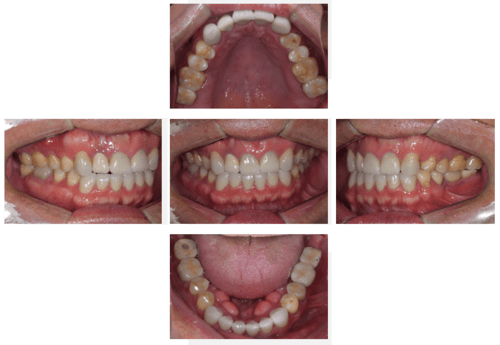
インプラント治療の症例2
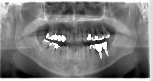
レントゲン写真
- Befor
- After
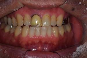
口腔内写真
- Befor
- After
| 年齢 | 50代・男性 |
|---|---|
| 主訴 | 左上7番 左下5番7番 |
| 治療内容 | ・インプラント埋入 ※1:GBR(骨造成)・・・骨再生誘導法。骨の高さや厚みを人工骨や人工膜などを使用し再生する方法 |
| 治療費 | 合計:1,809,500円(税込) ■内訳 ・左上7番 ・左下5番7番 |
| 治療期間 | 左上7番約1年 左下5番7番約10ヵ月 |
| 治療方針 | 左上7番は昔他院で被せものをしており、被せものの中が歯ぐきの中まで虫歯になっていたため抜歯せざるを得ない状態だった。抜歯と同時に骨造成を行い、骨が出来るまで4ヵ月待ってからインプラントを埋入した。 ※2ポンティック・・・歯のない部分を補うダミーの歯。 |
| 担当者所見 | 元々金属の被せものが多く入っていたため、2次カリエス※3が多かった。今回は金属ではなく、ジルコニアを使用し、2次カリエスにならないよう、患者様にはブラッシング指導とメンテナンスの重要性をお伝えした。 ※3二次カリエス・・・詰め物や被せものを入れた歯が虫歯になること。 |
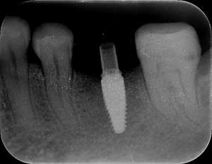
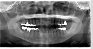
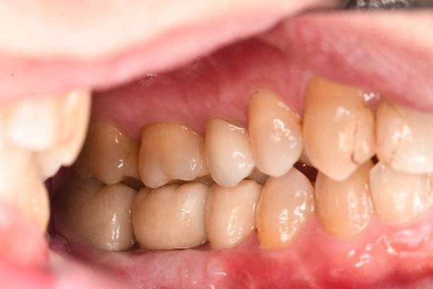
インプラント治療の症例3
レントゲン写真
- Befor
- After
口腔内写真
- Befor
- After
| 年齢 | 50代・男性 |
|---|---|
| 主訴 | 左下7番 |
| 治療内容 | 右下7番インプラント埋入 |
| 治療費 | 合計:572,000円 診断料:55,000円 埋入料:165,000円 サージカルガイド:55,000円 静脈内鎮静麻酔:77,000円 仮歯:55,000円 上部構造(フルジルコニア):165,000円 (2023年1月現在) |
| 治療期間 | 約8ヶ月 |
| リスク・副作用 | リスク・副作用 |
| 治療方針 | 骨が十分にあるため、骨造成をすることなく埋入した。かみ合わせが強いので、負荷がかからないよう、夜寝るときにマウスピースをつけるよう指示をした。 |
| 担当者所見 | 左下6番7番のインプラントは他院で埋入しており、右下7番は抜歯したままで、かみ合わせの歯が落ちてきてしまうのでインプラントを埋入しました。 |
インプラント治療の症例4
レントゲン写真
- Befor
- After
口腔内写真
- Befor
- After
- Befor
- After
- Befor
- After
| 年齢 | 50代・男性 |
|---|---|
| 主訴 | 部位:左下6番7番 主訴:左下奥歯腫れて痛い。 |
| 治療内容 | 左下6番抜歯、左下6番7番骨造成、インプラント埋入 |
| 治療費 | 合計:1,232,000円 ・内訳 診断料:55,000円 サージカルガイド2本:66,000円 GBR:110,000円×2本 埋入料:165,000円×2本 静脈内鎮静麻酔:77,000円 2次OPE:22,000円×2本 仮歯:55,000円×2本 上部構造(フルジルコニア):165,000円×2本 (2023年1月現在) |
| 治療期間 | 約8ヶ月 |
| リスク・副作用 | リスク・副作用 |
| 治療方針 | 元々支台歯に負荷がかかりやすいとされている延長ブリッジを抜歯し、1本単体でしっかりかめるようにインプラントを2本埋入した。骨吸収も進んでいたため、※GBR法で骨造成を同時に行った。 治療と並行して、全顎的な歯周病治療も行い、今後は歯周病が進行しないよう、こまめにメンテナンスに通っていただく。 |
| 特記事項 | ※1 GBR・・・骨再生誘導法。骨の高さや厚みを人工骨や人工膜などを使用し再生する方法 |
| 担当者所見 | 6番は歯根分割された被せ物が7番の欠損部との延長ブリッジとされており、強い咬合と歯周病も相まって負荷がかかり動揺し、歯として機能しなくなったため、抜歯となった。 |
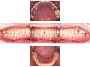
インプラント治療の症例5
レントゲン写真
- Before
- After
口腔内写真
- Before
- 途中経過
- After
| 年齢 | 60代・女性 |
|---|---|
| 主訴 | 左下6番、7番 歯ぐきの腫れが気になり来院。 歯周病がかなり進行しており骨がほとんどない状態で動揺もあった。 |
| 治療内容 | インプラント治療 動揺がひどく歯を残すことが難しいため抜歯へ。 その後骨造成を行いインプラントを埋入。 |
| 治療費 | 合計:1,683,000円 内訳 診断料:55,000円 埋入料:165,000円×2本 チタンメッシュ:55,000円×2本 GBR:110,000円×2本 サージカルガイド:66,000円 静脈内鎮静麻酔:77,000円×2回 2次オペ:22,000円×2本 仮歯:55,000円×2本 上部構造(フルジルコニア):187,000円×2本 APF(歯肉弁根尖側移動術):110,000円×2本 (2024年1月現在) |
| 治療期間 | 16ヶ月 |
| リスク・副作用 | インプラントはご自身のセルフケアに加え、歯科医院でのメインテナンスが不十分だと、歯周病になることがある。 歯ぎしり、食いしばりが強い方はインプラントの上部構造が割れてしまうことがあるため、就寝時にマウスピースの使用が必要。 |
| 治療方針 | 歯周病がかなり進行していて骨吸収がみられるのでチタンメッシュと骨補填材を使った骨造成が必要。 先に骨造成を行い骨が再生されるのを待って埋入手術を行う。 歯ブラシがしやすくなるようにAPF ( 歯肉弁根尖側移動術 )も行う。 |
| 特記事項 | 今回は印象材ではなく光学スキャナーを使用して型どりを行った。 |
| 担当者所見 | 骨が再生するか難しいところだったが無事埋入でき問題なく結合できた。 また今回は印象材ではなく光学スキャナーを使用して印象したため患者さまの負担がかなり軽減されたと思う。 上部構造セット後しっかりとかめている。 今後も定期的にメインテナンスしていく。 |
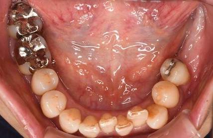
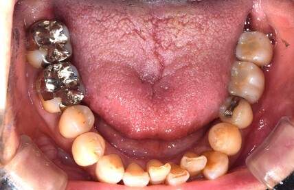
インプラント治療の症例6
レントゲン写真
- Before
- After
口腔内写真-1
- Befor
- After
口腔内写真-2
- Before
- After
口腔内写真-3
| 年齢 | 40代・女性 |
|---|---|
| 主訴 | 右下7番 |
| 治療内容 | インプラント埋入 |
| 治療費 | インプラント埋入料 440,000円 GBR(骨造成) 110,000円 サージカルガイド 55,000円 2次OPE 22,000円 静脈内鎮静麻酔 77,000円 合計 704,000円 (2023年4月現在) |
| 治療期間 | 1年 |
| リスク・副作用 | インプラント手術は外科処置のため、一過性、場合によっては持続的に唇・舌・頬・口蓋・歯肉・歯牙等の感覚麻痺、切開に起因する瘢痕組織による知覚異常が起こることがあります。 インプラント手術ではドリルのようなものを使用するため接近歯の損傷が起こる事があります。 インプラント体と骨との結合不全が起こる可能性があります。 痛みや腫れは個人差もありますが、約1〜2週間程度続きます。痛みは痛み止めを服用することでしのげる程度です。 |
| 治療方針 | 右下7番は一度根管治療済みでその後痛みが出て保存不可能と判断し、抜歯を行いインプラントになりました。 骨が元々少ないので、インプラント埋入と骨造成は同時に行わず、骨造成を先に行い骨が出来るのを待ってからインプラント埋入を行う2回法で行いました。 |
| 特記事項 | インプラントは人工物なので虫歯になることはありませんが、歯周病(インプラント周囲炎)にはなります。インプラントを長持ちさせるには、毎日の歯磨きと合わせて、3〜6ヶ月ごとの定期検診でのクリーニングが大切です。 |
| 担当者所見 | かみ合わせが強くマウスピースを進めましたが、本人はマウスピースが難しいため今後ボットクスで様子を見ていきます。 |
インプラント治療の症例7
レントゲン写真
- Before
- After
口腔内写真-1
口腔内写真-2
- Before
- 途中経過
- After
| 年齢 | 40代・男性 |
|---|---|
| 主訴 | 主訴:インプラントがしたい 治療部位:左上5 |
| 治療内容 | インプラント埋入、GBR(骨造成) |
| 治療費 |
合計:726,000円 【内訳】 診断料:55,000円 埋入料:165,000円 GBR(骨造成):110,000円 サージカルガイド:55,000円 2次オペ:22,000円 仮歯:55,000円 上部構造(フルジルコニア):187,000円 IV:77,000円 (2024年4月現在) |
| 治療期間 | 1年3ヶ月 |
| リスク・副作用 | リスク・副作用 |
| 治療方針 | 骨が吸収され厚みが十分にないため、インプラント埋入と同時にGBR(骨造成)も行いました。 骨質は垂直的にはボリュームがありましたが、柔らかいため骨とインプラント体が結合するまでの待機期間を長めに設定しました。 |
| 特記事項 | 待機期間は2ヶ月~6ヶ月ほど待ち、インプラント体と骨が結合するのを待ちます。 結合できたことをレントゲンを撮影して確認します。 |
| 担当者所見 | 左上5は2017年の初診時から歯冠がないため抜歯を勧めましたが、ご本人の希望もあり、予後が悪いことも説明した上で被せ物を被せました。 2022年8月にその被せ物が外れ、虫歯にもなり、保存不可能だったため抜歯をしてインプラントを行いました。 |
インプラント治療の症例8
レントゲン写真
- Befor
- After
口腔内写真-1
口腔内写真-2
- Befor
- After
口腔内写真-3
- Befor
- After
| 年齢 | 60代・男性 |
|---|---|
| 主訴 | 左上5番6番 |
| 治療内容 | インプラント埋入 |
| 治療費 | インプラント埋入料 825,000円 ソケットリフト(骨造成) 220,000円 サージカルガイド 66,000円 2次OPE 44,000円 静脈内鎮静麻酔 77,000円 合計 1,232,000円 (2024年1月現在) |
| 治療期間 | 10ヶ月 |
| リスク・副作用 | リスク・副作用 |
| 治療方針 | 左上5番6番目の歯根破折の為抜歯を行いました。その後インプラント埋入を行いました。 |
| 特記事項 | インプラントは人工物なので虫歯になることはありませんが、歯周病(インプラント周囲炎)にはなります。 インプラントを長持ちさせるには、毎日の歯磨きと合わせて、3〜6ヶ月ごとの定期検診でのクリーニングが大切です。 |
| 担当者所見 | 歯を失ったまま放置してしまうと、周囲の歯に負担がかかるため、お口の中全体のバランスが崩れます。 インプラントは、骨に人工の歯根を埋め、被せ物を被せる治療法です。 外科的な手術が必要ですが、健康な歯を削ることなく、天然の歯と同じようにかめるようになります。 |
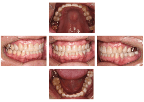
インプラント治療の症例9
レントゲン写真
- Befor
- After
口腔内写真
- Befor
- After
| 年齢 | 40代・男性 |
|---|---|
| 主訴 | 右上6 |
| 治療内容 | 右上6インプラント埋入 |
| 治療費 | インプラント埋入料 440,000円 GBR(骨造成) 110,000円 サージカルガイド 55,000円 2次OPE 22,000円 静脈内鎮静麻酔 77,000円 合計 704,000円 (2023年4月現在) |
| 治療期間 | 11ヶ月 |
| リスク・副作用 | リスク・副作用 |
| 治療方針 | 歯根破折のため抜歯を行いました。 骨吸収が大きくみられたため、まずは骨造成から行い、骨ができてくるのを半年待ちました。 骨の状態が良好のためインプラント埋入を行いました。 |
| 特記事項 | インプラントは人工物なので虫歯になることはありませんが、歯周病(インプラント周囲炎)にはなります。 インプラントを長持ちさせるには毎日の歯磨きと合わせて、3~6ヶ月ごとの定期検診でのクリーニングが大切です。 |
| 担当者所見 | 歯を失ったまま放置すると、周囲の歯に負担がかかるため、お口全体のバランスが崩れます。 インプラントは骨に人工の歯根を埋め、被せ物を被せる治療方法です。 外科的な手術が必要ですが、健康な歯を削ることなく、天然の歯と同じようにかめるようになります。 |
インプラント治療の症例10
レントゲン写真
- Before
- After
レントゲン写真
口腔内写真-1
- Before
- After
口腔内写真-2
- Before
- 途中経過
- After
| 年齢 | 40代・女性 |
|---|---|
| 主訴 | 左下6 |
| 治療内容 | インプラント埋入 |
| 治療費 | インプラント埋入料 440,000円 GBR(骨造成) 110,000円 サージカルガイド 55,000円 2次OPE 22,000円 静脈内鎮静麻酔 77,000円 合計 704,000円 (2023年5月現在) |
| 治療期間 | 7ヶ月 |
| リスク・副作用 | リスク・副作用 |
| 治療方針 | 左下6は歯根破折のため抜歯を行い、骨造成を同時に行いました。 骨ができてからインプラント埋入を行いました。 |
| 特記事項 | インプラントは人工物なので虫歯になることはありませんが、歯周病(インプラント周囲炎)にはなります。 インプラントを長持ちさせるには、毎日の歯磨きと合わせて、3~6ヶ月ごとの定期検診でのクリーニングが大切です。 |
| 担当者所見 | 歯を失ったまま放置してしまうと、周囲の歯に負担がかかるため、お口の中全体のバランスが崩れます。 インプラントは、骨に人工の歯根を埋め、被せ物を被せる治療法です。 外科的な手術が必要ですが、健康な歯を削ることなく、天然の歯と同じようにかめるようになります。 |
インプラント治療の症例11
レントゲン写真
- Before
- After
レントゲン写真
口腔内写真
- Before
- After
| 年齢 | 50代・男性 |
|---|---|
| 主訴 | 右下6番7番 |
| 治療内容 | インプラント埋入 |
| 治療費 | インプラント診断料 55,000円 インプラント埋入料 165,000円×2 GBR(骨造成) 110,000円×2 サージカルガイド 66,000円 2次OPE 22,000円×2 インプラント仮歯 55,000×2 インプラント上部構造 165,000×2 静脈内鎮静麻酔 77,000円 合計 1,232,000円 (2024年1月現在) |
| 治療期間 | 1年1ヶ月 |
| リスク・副作用 | リスク・副作用 |
| 治療方針 | 元々右下567番に延長ブリッジが入っていました。2次カリエスになっており、右下6番に関しては縁下に及ぶカリエスのため相談をし、抜歯することになりました。 右下7番は欠損していたため、右下67番でインプラント埋入を行いました。 |
| 特記事項 | インプラントは人工物のため虫歯になることはありませんが、歯周病(インプラント周囲炎)にはなります。 インプラントを長持ちさせるには、毎日の歯磨きと合わせて、3~6ヶ月ごとの定期検診でのクリーニングが大切です。 |
| 担当者所見 | 歯を失ったまま放置してしまうと、周囲の歯に負担がかかるため、お口の中全体のバランスが崩れます。 インプラントは、骨に人工の歯根を埋め、被せ物を被せる治療法です。 外科的な手術が必要ですが、健康な歯を削ることなく、天然の歯と同じようにかめるようになります。 |
インプラント治療の症例12
レントゲン写真
- Before
- After
レントゲン写真
口腔内写真
- Before
- 途中経過
- After
| 年齢 | 60代・男性 |
|---|---|
| 主訴 | 右下6番7番 |
| 治療内容 | インプラント |
| 治療費 | インプラント診断料 55,000円 インプラント埋入料 165,000円×2 サージカルガイド 66,000円 2次OPE 22,000円×2 インプラント仮歯 55,000×2 インプラント上部構造 187,000×2 静脈内鎮静麻酔 77,000円 合計 1,056,000円 (2024年1月現在) |
| 治療期間 | 7ヶ月 |
| リスク・副作用 | リスク・副作用 |
| 治療方針 | 元々右下6番7番が欠損している状態でした。 前歯部にブリッジが入っているため長持ちさせるには咬合力を分散させればブリッジがもつ可能性があるため、欠損部のインプラントを行いました。 |
| 特記事項 | インプラントは人工物なので虫歯になることはありませんが、歯周病(インプラント周囲炎)にはなります。 インプラントを長持ちさせるには、毎日の歯磨きと合わせて、3~6ヶ月ごとの定期検診でのクリーニングが大切です。 |
| 担当者所見 | 歯を失ったまま放置してしまうと、周囲の歯に負担がかかるため、お口の中全体のバランスが崩れます。 インプラントは、骨に人工の歯根を埋め、被せ物を被せる治療法です。 外科的な手術が必要ですが、健康な歯を削ることなく、天然の歯と同じようにかめるようになります。 |
インプラント治療の症例13
レントゲン写真
- Before
- After
レントゲン写真
口腔内写真
- Before
- 途中経過
- After
| 年齢 | 50代・女性 |
|---|---|
| 主訴 | 右下6番 インプラント |
| 治療内容 | インプラント埋入 |
| 治療費 | インプラント診断料 55,000円 インプラント埋入料 165,000円 GBR(骨造成) 110,000円 サージカルガイド 55,000円 2次OPE 22,000円 インプラント仮歯 55,000 インプラント上部構造 187,000 静脈内鎮静麻酔 77,000円 合計 726,000円 (2024年1月現在) |
| 治療期間 | 1年 |
| リスク・副作用 | リスク・副作用 |
| 治療方針 | 右下6番は歯根破折しており、膿が溜まっている状態でした。 抜歯をしてインプラント埋入を行いました。 |
| 特記事項 | インプラントは人工物なので虫歯になることはありませんが、歯周病(インプラント周囲炎)にはなります。 インプラントを長持ちさせるには、毎日の歯磨きと合わせて、3~6ヶ月ごとの定期検診でのクリーニングが大切です。 |
| 担当者所見 | 歯を失ったまま放置してしまうと、周囲の歯に負担がかかるため、お口の中全体のバランスが崩れます。 インプラントは、骨に人工の歯根を埋め、被せ物を被せる治療法です。 外科的な手術が必要ですが、健康な歯を削ることなく、天然の歯と同じようにかめるようになります。 |
インプラント治療の症例14
レントゲン写真
- Before
- After
レントゲン写真
口腔内写真
- Before
- 途中経過
- After
| 年齢 | 50代・男性 |
|---|---|
| 主訴 | 全顎治療 |
| 治療内容 | 右下6番インプラント |
| 治療費 | インプラント診断料 55,000円 インプラント埋入料 165,000円 GBR(骨造成) 110,000円 サージカルガイド 55,000円 2次OPE 22,000円 インプラント仮歯 55,000 インプラント上部構造 187,000 静脈内鎮静麻酔 77,000円 合計 726,000円 (2024年1月現在) |
| 治療期間 | 7ヶ月 |
| リスク・副作用 | リスク・副作用 |
| 治療方針 | 右下6の欠損箇所はインプラント希望だったのでインプラントを行いました。 |
| 特記事項 | インプラントは人工物なので虫歯になることはありませんが、歯周病(インプラント周囲炎)にはなります。 インプラントを長持ちさせるには、毎日の歯磨きと合わせて、3~6ヶ月ごとの定期検診でのクリーニングが大切です。 |
| 担当者所見 | 歯を失ったまま放置してしまうと、周囲の歯に負担がかかるため、お口の中全体のバランスが崩れます。 インプラントは、骨に人工の歯根を埋め、被せ物を被せる治療法です。 外科的な手術が必要ですが、健康な歯を削ることなく、天然の歯と同じようにかめるようになります。 |
インプラント治療の症例15
レントゲン写真
- Before
- After
口腔内写真
- 途中経過-1
- 途中経過-2
口腔内写真
- Before
- After
口腔内写真
- Before
- After
| 年齢 | 40代・男性 |
|---|---|
| 主訴 | 右上1番 左上5、6、7番 |
| 治療内容 | インプラント埋入 |
| 治療費 | 合計:2,453,000円 ・内訳 インプラント診断料 55,000円 インプラント埋入料 165,000円×4 サージカルガイド 88,000円 サイナスリフト 220,000円 GBR 110,000円 FGG 110,000円 2次オペ 22,000円×4 インプラント仮歯 55,000円×4 インプラント上部構造 187,000×4 静脈内鎮静法 77,000×2 (2024年6月現在) |
| 治療期間 | 1年1ヶ月 |
| リスク・副作用 | リスク・副作用 |
| 治療方針 | 右上の1番は20年以上前に前装冠を入れた所が半分折れていました。 もともと4本とも根管治療していた歯で再感染しており残すのが難しかったため抜歯を行いました。 左上567は骨造成とインプラント埋入を同時に行いました。 左上1番は骨造成を行ってから4ヶ月骨が出来るまでまってからインプラントを埋入しました。 |
| 特記事項 | インプラントは人工物なので虫歯になることはありませんが、歯周病(インプラント周囲炎)にはなります。 インプラントを長持ちさせるには、毎日の歯磨きと合わせて3~6ヶ月ごとの定期検診でのクリーニングが大切です。 |
| 担当者所見 | 右上の1番は歯ぐきの足りない部分に健康な歯ぐきを移植する外科手術を行いました。 手術後自然な歯ぐきが再現されました。 オープンバイトのため奥歯に負担がかかっており治療後はマウスピースを使用するよう指導しました。 |
インプラント治療の症例16
レントゲン写真
- Before
- After
口腔内写真
- Before
- 途中経過
- After
| 年齢 | 60代・女性 |
|---|---|
| 主訴 | 右下4番、5番インプラント治療 |
| 治療内容 | インプラント治療 |
| 治療費 | インプラント診断料 55,000円 インプラント埋入料 165,000円×2 骨造成(GBR)110,000円×2 サージカルガイド 66,000円 2次OPE 22,000円×2 インプラント仮歯 55,000×2 インプラント上部構造 187,000×2 静脈内鎮静麻酔 77,000円 合計 1,276,000円 (2024年12月現在) |
| 治療期間 | 7ヶ月 |
| リスク・副作用 | リスク・副作用 |
| 治療方針 | 右下4番、5番の被せ物が外れて壊れてしまい、検査を行いました。 虫歯が深く歯を残すことが難しいため、抜歯を行い、インプラント埋入を行いました。 |
| 特記事項 | インプラントは人工物なので虫歯になることはありませんが、歯周病(インプラント周囲炎)にはなります。 インプラントを長持ちさせるには、毎日の歯磨きと合わせて、3~6ヶ月ごとの定期検診でのクリーニングが大切です。 |
| 担当者所見 | 歯を失ったまま放置してしまうと、周囲の歯に負担がかかるため、お口の中全体のバランスが崩れます。 インプラントは、骨に人工の歯根を埋め、被せ物を被せる治療法です。 外科的な手術が必要ですが、健康な歯を削ることなく、天然の歯と同じようにかめるようになります。 |
インプラント治療の症例17
レントゲン写真
- Before
- After
口腔内写真
- Before
- 途中経過
- After
| 年齢 | 70代・男性 |
|---|---|
| 主訴 | 右下5番、6番インプラント治療 |
| 治療内容 | インプラント治療 |
| 治療費 | インプラント診断料 55,000円 インプラント埋入料 165,000円×2 骨造成(GBR)110,000円×2 サージカルガイド 66,000円 2次OPE 22,000円×2 インプラント仮歯 55,000×2 インプラント上部構造 187,000×2 合計 1,199,000円 (2025年1月現在) |
| 治療期間 | 7ヶ月 |
| リスク・副作用 | リスク・副作用 |
| 治療方針 | 右下5番は歯根破折により抜歯を行いました。 他院にて右下6番は右下5番とヘミセクションブリッジを行っており、右下5番を抜歯することで、右下6番を残すことが難しいため抜歯を行いました。 欠損部はインプラント埋入を行いました。 |
| 特記事項 | インプラントは人工物なので虫歯になることはありませんが、歯周病(インプラント周囲炎)にはなります。 インプラントを長持ちさせるには、毎日の歯磨きと併せて、3~6ヶ月ごとの定期検診でのクリーニングが大切です。 |
| 担当者所見 | 歯を失ったまま放置してしまうと、周囲の歯に負担がかかるため、お口の中全体のバランスが崩れます。 インプラントは、骨に人工の歯根を埋め、被せ物を被せる治療法です。 外科的な手術が必要ですが、健康な歯を削ることなく、天然の歯と同じようにかめるようになります。 |
インプラント治療の症例18
レントゲン写真
- Before
- After
口腔内写真
- Before
- After
| 年齢 | 60代・男性 |
|---|---|
| 主訴 | インプラント治療 |
| 治療内容 | 右下6インプラント |
| 治療費 | インプラント診断料 55,000円 インプラント埋入料 165,000円 GBR(骨造成) 110,000円 サージカルガイド 55,000円 2次OPE 22,000円 インプラント仮歯 55,000円 インプラント上部構造 187,000円 静脈内鎮静麻酔 77,000円 合計 726,000円 (2024年4月現在) |
| 治療期間 | 1年 |
| リスク・副作用 | リスク・副作用 |
| 治療方針 | 元々右下6に入っていたインプラントが脱離してしまったため、再度インプラントを行いました。 改めて骨造成を行い、インプラント埋入を行いました。 |
| 特記事項 | インプラントは人工物なので虫歯になることはありませんが、歯周病(インプラント周囲炎)にはなります。 インプラントを長持ちさせるには、毎日の歯磨きと合わせて、3~6ヶ月ごとの定期検診でのクリーニングが大切です。 |
| 担当者所見 | 歯を失ったまま放置してしまうと、周囲の歯に負担がかかるため、お口の中全体のバランスが崩れます。 インプラントは、骨に人工の歯根を埋め、被せ物を被せる治療法です。 外科的な手術が必要ですが、健康な歯を削ることなく、天然の歯と同じようにかめるようになります。 |