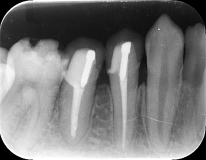
このルーペやマイクロスコープを使用して治療した歯をご紹介します。
こちらは虫歯で神経を取らないといけなくなりましたが、何度治療しても痛みが消えないと言うことで当院にいらっしゃいました。度重なる治療で歯の神経のあった場所がかなりひろげられており、また根の先端も破壊されている状態でした。ですので、痛みが消えないのです。
図のように、歯の神経は複雑で入り組んだ構造になっており、内部の膿や細菌を100%取り除くことは難しいのです。
そのなかでいかに細菌を消毒し、歯の神経の繊維を除去できるかが治療の要になるわけですが、そのために必要なのが歯を拡大してみることができる機材です。その一つがルーペです。ルーペにもよりますが、約2〜7倍拡大できます。
またライトのついたものですと、肉眼でみるものよりも明らかに違いを実感できます。見ている世界が違います。
そしてさらに拡大してみることができるものがマイクロスコープです。
マイクロスコープはこちらは、ルーペのはるか上をいく、約3〜25倍で段階的に拡大できます。そしてさらに良いのが、見ているものをモニターに映したり、撮影、録画できることです。この様子を患者様に見ていただくことが可能なのがマイクロスコープの一番の利点でしょう。ちなみにマイクロスコープには最初からライトがついており明るい視野を確保できます。
このルーペやマイクロスコープを使用して治療した歯をご紹介します。
こちらは虫歯で神経を取らないといけなくなりましたが、何度治療しても痛みが消えないと言うことで当院にいらっしゃいました。度重なる治療で歯の神経のあった場所がかなりひろげられており、また根の先端も破壊されている状態でした。ですので、痛みが消えないのです。
肉眼では根の先端は見ることができませんがマイクロスコープでは見ることができます。根の先端をこれ以上破壊しないように清掃して歯の神経があった場所にお薬を詰めることができました。根の治療後、かぶせ物までして半年たっても痛みがありません。
根の治療後、かぶせ物までして半年たっても痛みがありません。
レントゲンを見ていただいて、歯の先までしっかり白いお薬が入っているのがわかります。
根管治療が難しい場合は『意図的再植』や『歯根端切除』を行うこともあります。
歯の根の治療は難しいことは先述しましたが、歯の内部からの治療だけでは治らないことがあります。
それは歯の先に枝分かれが多く存在し、そこにばい菌が入り込んで難治性となっているからです。ではその場合どうするのか?外科治療をします。その枝分かれの部分を切り落とすのです。今回はその前後のレントゲンの写真をお見せします。
| 治療前 | 治療後 |
|---|---|
![]() |
|
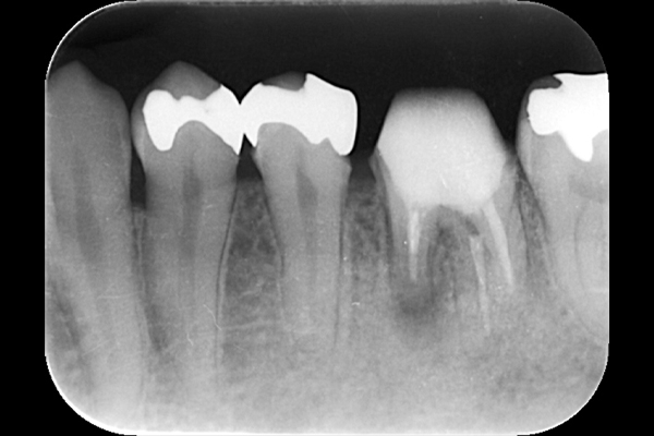
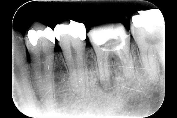
| 根の中の薬が十分に充填されておらず、根の先が周りと比べて黒くなっており、炎症があると判断できます。 | 根の中にしっかりとお薬を緊密に充填しましたが、まだ根の先に黒くなっている部分があります。 |
| 術前 |
|---|
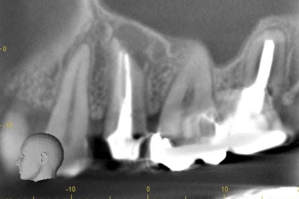
![]() |
| 根の中にお薬を充填した後のCT画像。やはり根の先に黒い影があるのがわかります。 |
| 術後6ヶ月 | |
|---|---|
![]() |
![]() |
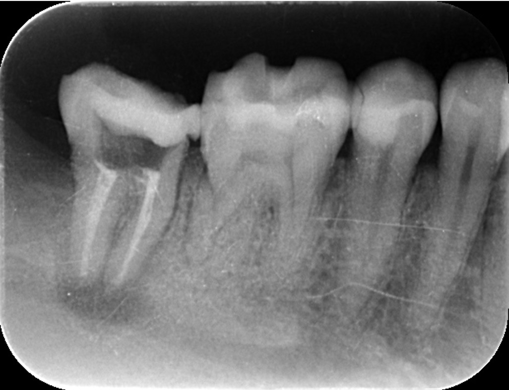
| 根の先の黒い影は消失しました。 | 術後6ヶ月のCT画像です。こちらでも、根の先に黒い影は見当たらないです。 |
このように外科的治療で病変部を切除することでしっかりと治癒させることが可能です。根の治療は細菌との戦いです。難しいですが、やりがいがあります。
| 年齢・性別 | 45歳・男性 |
|---|---|
| 主訴 | 左の奥歯が噛むと痛い |
| 治療期間 | 3ヶ月 経過観察含めると6ヶ月 |
| 治療費 | 根尖切除術(保険):約6,000〜7,000円 |
| 治療方針 | 5年ほど前に他院で治療した歯が噛むと痛いということでした。初診時のパノラマレントゲンを診てみると、根管治療がかなり雑にされており、その上にかぶせ物がはいっている状態でした。ですので、まずはかぶせ物をはずし、根管治療のやり直しを行います。 その後、感染物質を取り除くために、根尖切除も治療計画に含めました。根管治療のみで根の先の炎症がなくなれば根尖切除は行わない計画にしました。 |
| 治療内容 | 1. かぶせ物の除去 2. 感染根管治療 3. 1ヶ月経過観察 4. 咬合時にまだ違和感がある 5. 根尖切除 6. 半年経過観察 |
| 特記事項 | 根尖切除は外科的な治療のため、術後腫れがあります。7日くらいしますと通常にもどっていきます。 術後は投薬がありますので、指示に従い服薬していただきます。 適応部位が限られます。 術中に、歯根の破折を確認することがあります。その場合手術は中断され、抜歯になる可能性が高いです。 |
「左上の奥歯に違和感がある」という悩みを持たれている患者様が来院されました。虫歯部分を除去すると歯の神経に届いていましたので、歯の神経を守るために根管治療を行いました。
「右下奥歯が痛くて腫れている。」という悩みを持たれている患者様が来院されました。
今回のリスクとして、治療にて親知らずを抜くためはが揺れる可能性がありました。それは骨がなくなっているためです。動揺が収まらない場合は抜歯の可能性もありました。
【主訴】
左上の歯茎が大きく腫れた
【治療方針】
他院で診てもらったが腫れや痛みが変わらないとのことだったので、患歯を見極めることがまずは重要になります。今回は左上の前から5番目の歯が原因と判断しました。診断名は急性根尖性歯周炎。
【治療内容】
初診時は腫れが大きかったので、膿を出すために歯茎を1センチ弱切り、中の膿をだしました。2回目の治療から、感染根管処置を行います。根管洗浄と機械的清掃です。治療後は3ヶ月経過を見て、再発がないかを確認します。問題なければかぶせ物をして終了です。


【担当医所見】
患歯を見極めるためと、状態の悪さをみるため、CTを撮影しました。治療前では上顎洞への大きな炎症が見られます。また、上顎洞底線も無くなっています。また左上の前から4番目の歯の根尖周囲にも透過像が見られます。5番目の歯に関しては根尖が鋭利になっており、根尖性歯周炎によって吸収されたことがわかります。ですので、まず第一の患歯は5番目の歯であるとしました。
治療後3ヶ月経つと上顎洞への炎症も無くなっています。また、上顎洞底線もきれいにみえます。4番目の歯の根尖周囲の透過像もなくなりました。5番目の根尖にまだ透過像がありますが、臨床的症状がないことから、治癒傾向にあるものと判断しました。
| 年齢 | 30代女性 |
|---|---|
| 主訴 | 左上の歯茎が大きく腫れた。 |
| 治療 期間 |
半年間(6ヶ月) |
| 費用 | 1万円前後(保険治療内) |
| 診療時間 | 月 | 火 | 水 | 木 | 金 | 土 | 日 |
|---|---|---|---|---|---|---|---|
| 9:00〜13:00 | ● | ● | - | ● | ● | ● | ● |
| 14:00〜19:30 | ● | ● | - | ● | ● | - | - |
| 14:00〜17:30 | - | - | - | - | - | ● | ● |
〒106-0044 東京都港区東麻布3-8-8 明商ビル1F
大江戸線 麻布十番駅 6番出口より徒歩10秒
南北線 麻布十番駅 6番出口より徒歩10秒
Google マップを開く >