銀歯と虫歯

最初に

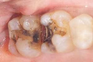
銀歯を入れた歯のイメージ

虫歯は治療が終わったらそれで終わりとおもっている皆さん!それは大きな間違いです!

虫歯を治療すると、歯には歯とは異なる成分のつめ物が入っていることになります。つめ物が入っているということは、歯とつめ物の間にどうしても境目が生じます。

その境目が厄介なのです。今回はそのあたりを詳しく説明していきます。

二次カリエス

二次カリエスとは、一度虫歯治療をした歯の部分が再び虫歯になることで、歯とつめ物、かぶせ物のわずかな隙間から、知らないうちに虫歯が進行してしまいます。

神経のある歯、神経のない歯に関係なく虫歯菌は歯を溶かしていきます。一度削ってつめ物をした歯は、今まで以上にプラークコントロールを行う必要があります。

銀歯などの詰め物と歯の隙間から虫歯になっているイメージ

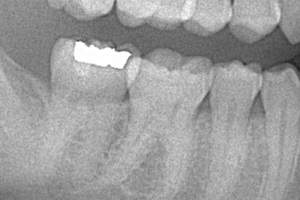
また、銀歯が入っていると、レントゲンにも真っ白にうつってしまいますので、発見がどうしても遅れがちに
なります。

銀歯を詰めた口内のレントゲン写真

つめ物

歯とつめ物の間にわずかな隙間ができてくることで虫歯になります。

銀歯は経年劣化しますし、銀歯をくっつける接着剤も劣化します。そのため隙間は年々大きくなる傾向に
あります。

歯と詰め物の隙間に汚れが溜まっているイラスト

経年劣化していた銀歯

麻布十番歯科で銀歯の症例の口腔内写真

経年劣化していた銀歯の歯

麻布十番歯科で銀歯の中が虫歯になっている症例の口腔内写真

かぶせ物

つめ物と同じようにかぶせ物でも、歯とかぶせ物のわずかな隙間から虫歯菌が入り込み、再び虫歯になることがあります。また、歯ぐきが退縮(やせてくる)すると、歯根部分の象牙質からも虫歯になりやすくなります。

かぶせ物が被っている歯は神経のない歯が多く、虫歯になっても痛みが出ないことが多いため、気づいた時には重症化していることが多いです。

レントゲンにも虫歯として写ってきづらいですので、プロの目で境目が虫歯になっていないかを定期的にみていく必要があります。

歯と被せ物の隙間に汚れが溜まっているイラスト

まとめ

口腔内の状況を歯科用器具を使用して確認しているイメージ

いかがでしょうか。自分のお口の中に銀歯がある方は治療が終わったからこそ、メインテナンスの重要性がご理解いただけたでしょうか。

銀のつめ物が入っていると、レントゲンにも虫歯が写ってきづらい傾向にありますので、定期的にしっかり歯科医院でメインテナンスをうけましょう。

今すぐ予約したい方
03-3505-4618電話受付9〜19時半(土日は17:30まで)
3日以降のご予約
WEBから予約24時間受け付けております。

麻布十番の歯医者さん・
矯正歯科は痛みに配慮した、
コミュニケーションにあふれる歯医者です。

診療時間
9:00〜13:00 -
14:00〜19:30 - - -
14:00〜17:30 - - - - -

※平日最終受付は19:00まで
※土日の最終受付は17:00まで
[休診日]水曜・祝日

AED
TEL:03-3505-4618
地図

〒106-0044 東京都港区東麻布3-8-8 明商ビル1F
大江戸線 麻布十番駅 6番出口より徒歩10秒
南北線 麻布十番駅 6番出口より徒歩10秒
Google マップを開く >