審美面、強度面どちらも抜群の被せ物になります。1本だけでもきれいに作成することができますし、前歯全てで対応することもできます。前歯といったらこちらの素材が一番です。前歯だけでな奥歯でも選択いただけますし、ブリッジでの対応も可能です。
麻布十番歯科のセラミック治療
患者様に審美的にも機能的にも満足していただけるセラミック治療を提供できるよう、日々精進しております。セラミック治療は保険の効かない治療のため、高価です。そのため、治療が終わった後も保証期間を設けておりますので、その点も安心していただけると感じております。
患者様のご希望、例えば、「すぐにセラミックを入れたい」「部分ごとにゆっくりやりたい」「仮歯も入れて、セラミックだけじゃなくて歯ぐきも整えて、しっくりくるものを入れたい」といったような様々なニーズにお応えできるよう、対応致します。
治療が終わった後も長持ちするようにメンテナンスも行いますし、必要に応じて、マウスピースのご提案もさせていただきます。せっかく当院を選んで治療を受けていただいたからには、後悔をしてほしくないので、偶発症やデメリットに関してもご説明させていただきます。
歯の悩み聞いてみました
- 上に前歯が少し出てるんです
- 前歯に隙間があるんです
- 歯が大きくて見た目が気になります
- 歯が長くて見た目が気になります
- 銀歯が気になってるんです
- 周りの人に歯がきれいねって言われたい
麻布十番歯科のこだわりポイント
- 全ての方に診査、診断を行います
- カウンセリングを行い、治療のゴールを一緒に決めます
- 見た目、かみ心地の両方にこだわり
ます - 歯ぐきの調和にもこだわります
麻布十番歯科の
セラミックの種類と特徴
クラウン(被せ物)
1. ジルコニアボンドクラウン
ジルコニアの上にセラミックを貼り付けるものになります。歯科技工士さんが歯の色彩をしっかり模倣して作ってくれますので、前歯など、見た目が関与する部分ではこちらが圧倒的におすすめです。透明感もあるため、本物の歯と見間違える様な出来栄えに乞うご期待ください。
2. メタルボンドクラウン
1のジルコニアボンドクラウンのジルコニア部分が金属でできているものになります。金属のフレームのため、透明感が表現できませんが、出来栄えばきれいです。写真のように入れ歯を支える歯として使用されることが多い
です。
3. オールセラミッククラウン
E-maxというセラミックを用いて作成します。セラミックの上に歯の色を模倣した色をのせて完成します。そのため、審美面ではジルコニアボンドには劣りますが、かなりキレイに作ることができます。
4. ジルコニアステインクラウン
ジルコニアは硬いのが特徴ですが、こちらのジルコニアは少し柔らかい作りとなっています。ですので、歯に優しいのが特徴です。色もオールセラミッククラウンと同等です。作成も同じ様にジルコニアの上に色を塗って作成されます。
5. ジルコニアクラウン
硬いジルコニアを用いて作成します。そのため耐久性はとても良いです。審美面はそれほどではありませんが、3種類から選んでいただけます。
インレー(詰め物)
1. セラミックインレー
E-maxというセラミックを使用して作成するインレーです。そのため、審美面と精度は抜群です。耐久性もジルコニアインレーとまではいきませんが、かなりあります。
2. ジルコニアインレー
ジルコニアを使用したインレーは耐久性が抜群にあります。しかし、色の再現が難しいため、ご自身の歯よりも少し白っぽい出来上がりとなります。
セラミック治療の実際と
オススメポイント
現在の治療費と異なる場合がございます。最新の治療費は料金表をご確認ください。
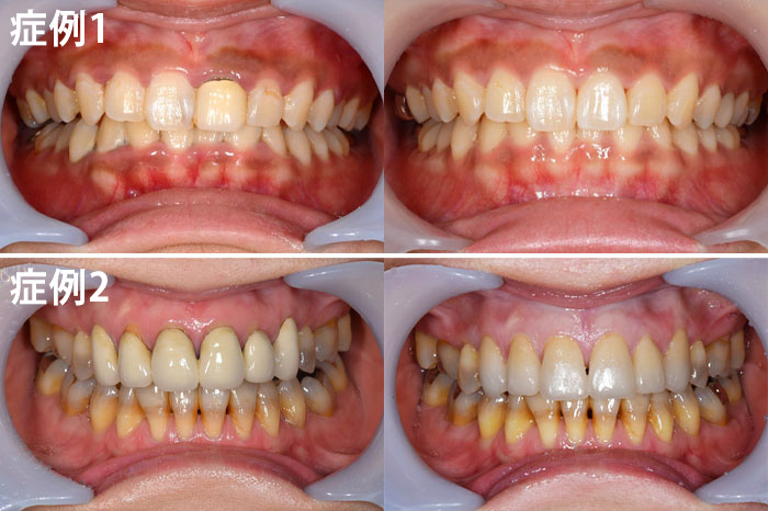
ジルコニアボンドクラウン
| 年齢 | 症例1 20代・女性 |
|---|---|
| 主訴 | 前歯の色が気になる |
| 治療内容 | 左上1の前装冠を除去し、ジルコニアボンドクラウンを入れた。 |
| 治療費 | 165,000円(税込) |
| 治療期間 | 1ヶ月 |
| リスク・副作用 | こちらは神経のない歯に対して行いましたが、神経のある歯では冷たいものがしみるといった症状が出る可能性があります。 また、歯の色ですが、天然の歯に似せて作りますが、全く同じというわけではありませんのでご了承ください。 |
| 年齢 | 症例2 40代・女性 |
|---|---|
| 主訴 | 前歯を10年以上前に入れたが色が気になるので、変えたい |
| 治療内容 | 上顎右側犬歯から上顎左側犬歯までの6本のメタルボンドクラウン除去しジルコニアボンドクラウンを新製しました。 |
| 治療費 | ジルコニアボンドクラウン: 合計990,000円(税込) (165,000円×6本) |
| 治療期間 | 1ヶ月 |
| リスク・副作用 | こちらは神経のない歯に対して行いましたが、神経のある歯では冷たいものがしみるといった症状が出る可能性があります。 また、歯の色ですが、天然の歯に似せて作りますが、全く同じというわけではありませんのでご了承ください。また、以前つけていた被せ物と形が異なることがあります。 |
メタルボンドクラウン
入れ歯を支えるために強度が欲しいときに使用することが多いです。見た目は綺麗ですが、透明感は金属を使用しているため、出すことが難しくなっています。
前歯、奥歯両方で使用可能です。ブリッジ対応も可能となっています。
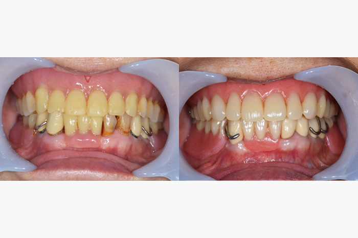
| 年齢 | 80代・女性 |
|---|---|
| 主訴 | 入れ歯を作り直したい |
| 治療内容 | 入れ歯を作り直すときに、被せ物もやり直しになりました。 虫歯が進行し、抜かなければならない歯が1本ありましたが、その他の歯に関してはしっかり残せました。 抜歯後、治療用の入れ歯を作成し、歯ぐきの治癒を待っている間に既製のメタルボンドクラウンを除去し、仮歯におきかえ、入れ歯の完成と一緒にメタルボンドクラウンを作成しました。 |
| 治療費 | 義歯: 合計550,000円(税込) メタルボンドクラウン: 合計825,000円(税込) (165,000円×5本) |
| 治療期間 | 3ヶ月 |
| リスク・副作用 | 入れ歯を入れる場合、針金がかかる歯に関してはある程度強度が必要になるため、ジルコニアボンドクラウンが適応にならない場合があります。 本症例ではメタルボンドクラウンで対応したため、歯の透明性に関してはやはりジルコニアボンドクラウンには叶いませんでした。 |
オールセラミッククラウン
セラミック単体でつくる被せ物です。ジルコニアボンドやメタルボンドと違ってフレームがないため、強度面は劣りますし、作成方法の違いにより、審美面も劣ります。しかし、透明感をしっかり出せるのが特徴で、前歯にも使用可能です。
また、硬さも歯と同等ですので、奥歯にも使用できます。ただし、強度面での問題で、ブリッジでの対応はできかね
ます。
| 年齢 | 70代・女性 |
|---|---|
| 主訴 | 前歯が取れた |
| 治療内容 | 前歯部MTMと同時に審美面の回復。 MTM中に義歯の作成も同時に行う。 最終的に義歯と前歯のクラウンを同時にいれる。 義歯は下顎で、しっかり噛めること、違和感の少ないものという希望があったため、なるべく入れ歯を薄く作成するために金属をしようした義歯とした。 また、見た目もあまり義歯が目立たない様に、バネの部分を見えにくいように作成した。 |
| 治療費 | MTM:110,000円(税込) ファイバーコア:16,500円(税込) E-maxクラウン:110,000円(税込) 義歯:660,000円(税込) |
| 治療期間 | 8ヶ月 |
| リスク・副作用 | 歯にもともと入っていた金属の種類によっては、歯自体の変色を治療で変えられないこともあります。 義歯は作ってから痛みがでることがありますが、それは調整を行うことで痛くなくすることができます。 |
ジルコニアステインクラウン
こちらの被せ物は歯の硬さに似せたジルコニアを使用していることで、歯に優しいものとなっています。またジルコニアということもあり、強度もかなりありますので、ブリッジでの対応も可能です。
ジルコニアには光を透過しないというデメリットがあり、歯の色にフィットしずらいというイメージもありますが、こちらは歯の硬さに似せるときに透過性もだせるように工夫していますので、ジルコニアの上にステイニングと言って、歯と同じ様なグラデーションをつけていることで前歯にも使用できる素材となっています。
| 年齢 | 40代・男性 |
|---|---|
| 主訴 | 上の歯が痛い |
| 治療内容 | 虫歯が進行し、神経を取らないといけない状態だったため、神経をとり、その後被せ物をいれました。 |
| 治療費 | ファイバーコア: 16,500円(税込) ジルコニアステインクラウン: 110,000円(税込) |
| 治療期間 | 1ヶ月 |
| リスク・副作用 | 根の治療後は再感染を起こすこともあります。神経を取った後はクラウンだけでなく、コアと呼ばれる土台が必要になります。 |
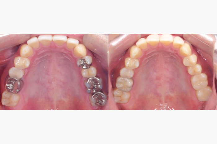
ジルコニアクラウン
こちらはジルコニアの被せ物になります。ジルコニアステインクラウンとは異なり、歯よりも硬い素材となっています。また、そのため、透過性はありません。ですので、神経を取っている歯で、中の土台として金属が入っている場合、もともとの歯の色が白くない場合(テトラサイクリン歯など)に向いています。
色味としては3色ご用意していますので、お選びいただけます。そのため審美面ではあまり期待はできないため、奥歯のみでの対応となります。ブリッジの対応はケースバイケースになります。硬いのですが加工が難しいためです。
| 年齢 | 30代・女性 |
|---|---|
| 主訴 | 銀歯がきになる |
| 治療内容 | 右上奥歯の銀歯のブリッジを除去し、ジルコニアのインレーとクラウンとポンティックを組み合わせたジルコニアブリッジを作成しま した。 |
| 治療費 | ジルコニアブリッジ: 165,000円(税込) |
| 治療期間 | 1ヶ月 |
| リスク・副作用 | ブリッジは歯を多く削る治療になりますので、治療後にしみる可能性が高くなります。必要に応じて神経をとらないといけなくなることもあります。 |
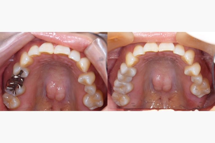
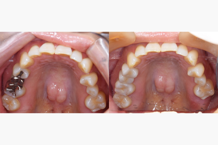
セラミックインレー
E-maxでできた詰め物です。E-maxは透明性があり、強度もある素材になります。そのため、セラミックの詰め物では一番おすすめしているのがこちらになります。
| 年齢 | 40代・男性 |
|---|---|
| 主訴 | 銀歯をなくしたい |
| 治療内容 | 左の銀の詰め物を3本セラミックインレー、右の銀の被せ物を1本ジルコニアステインクラウンにおきかえました。 |
| 治療費 | セラミックインレー: 合計165,000円(税込) (55,000円×3) ジルコニアステインクラウン: 110,000円(税込) |
| 治療期間 | 2ヶ月 |
| リスク・副作用 | 金属を除去すると虫歯になっていることが多いです。そのため、その虫歯を取り除く治療後にしみるといったことがおこります。 症状がおさまらない場合は、神経を取り除くことが必要になることもあります。 |
ジルコニアインレー
ジルコニアでできた詰め物です。そのため強度はセラミックインレー以上のものになります。見た目もそこまで悪いわけではありませんが、セラミックインレーと比べると、透過性がないため、やや目立ちます。セラミックを入れていたけど、割れてしまったなど、噛み合わせが強い方や、歯軋りのある方におすすめしたい詰め物です。
| 年齢 | 30代・女性 |
|---|---|
| 主訴 | 銀歯がきになる |
| 治療内容 | 右上奥歯の銀歯のブリッジを除去し、ジルコニアのインレーとクラウンとポンティックを組み合わせたジルコニアブリッジを作成しま した。 |
| 治療費 | ジルコニアブリッジ: 165,000円(税込) |
| 治療期間 | 1ヶ月 |
| リスク・副作用 | ブリッジは歯を多く削る治療になりますので、治療後にしみる可能性が高くなります。必要に応じて神経をとらないといけなくなることもあります。 |
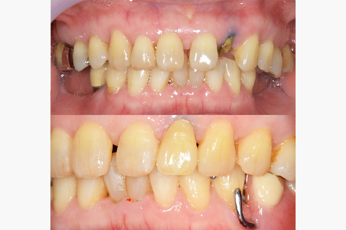
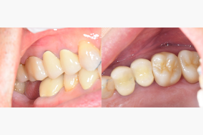
全顎のケース
銀歯を全部外してセラミックの詰め物、被せ物にしたケースになります。銀歯の中では虫歯になっている事が多く、よく私もそういうケースを目にします。こちらのケースでは、虫歯が大きくなっており、残せない歯があったため、インプラントを使用している部分もあります。
また、銀歯があると金属アレルギーを発症しやすくなったり、ひどくなると掌蹠膿疱症といって、手足がかゆくなったりすることもあります。金属アレルギーがある方は早めに金属の歯を外して、金属アレルギーと関係のない詰め物や被せ物を入れることをお勧めいたします。
| 年齢 | 50代・男性 |
|---|---|
| 主訴 | 銀歯をやりかえたい |
| 治療内容 | 左下の奥歯に歯がありませんでしたのでインプラントを行います。また気にされていた銀歯をすべてセラミックでやり直しました。 また、上の前歯に入っていた被せ物も一部歯にフィットしていない部分もありましたのであたらしく作成しました。 |
| 治療費 | ジルコニアボンドクラウン 11本: 合計1,815,000円(税込) (165,000円×11本) ジルコニアステインクラウン 6本: 合計660,000円(税込) (110,000円×6本) インプラント 1本: 合計539,000円(税込) セラミックインレー 5本: 合計275,000円(税込) (55,000円×5本) |
| 治療期間 | 6ヶ月 |
| リスク・副作用 | 全顎にわたる治療は噛み合わせが重要なため期間がかかります。 インレー、クラウンセット後にしみるといった症状がおこることが あります。 インレー、クラウンセット後に痛みがでて神経をとらないといけなく なることがあります。 |
麻布十番歯科のセラミック治療を
選んでもらえる理由
- すぐにセラミックを接着することもできるし、仮止めして納得してから、接着させることもできる(種類による)
- 仮歯がきれい
- 歯ぐきと歯が調和している
- 歯が折れてても残せる可能性がある
- 製作者(技工士さん)が講演会をされるくらいの経験豊富な方である
歯が折れててもセラミックは
入れられる?
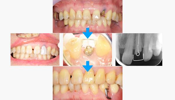
ケースバイケースですが、歯が割れていなかったり、根の部分がしっかりしている場合は、残せる可能性が高いです。実際写真のように歯に入れていた被せ物がとれていらっしゃった方の症例になりますが、見えている部分はほとんどなく、抜歯の適応でした。
しかし、レントゲンをとると、根の部分は感染がないこと、長さも十分あることから、歯を引っ張り出して残すことにしました。引っ張り出して、再び被せ物を入れられる様にすれば、歯を抜く必要がないですね。
| 年齢 | 70代・女性 |
|---|---|
| 主訴 | 前歯が取れた |
| 治療内容 | 前歯部MTMと同時に審美面の回復。 MTM中に義歯の作成も同時に行う。 最終的に義歯と前歯のクラウンを同時にいれる。 義歯は下顎で、しっかり噛めること、違和感の少ないものという希望があったため、なるべく入れ歯を薄く作成するために金属をしようした義歯とした。 また、見た目もあまり義歯が目立たない様に、バネの部分を見えにくいように作成した。 |
| 治療費 | MTM:110,000円(税込) ファイバーコア:16,500円(税込) E-maxクラウン:110,000円(税込) 義歯:660,000円(税込) |
| 治療期間 | 8ヶ月 |
| リスク・副作用 | 歯にもともと入っていた金属の種類によっては、歯自体の変色を治療で変えられないこともある。 義歯は作ってから痛みがでることがありますが、それは調整を行うことで痛くなくすることができます。 |
お悩み別おすすめセラミック治療
- 前歯1本の色がきになる
- 白いブリッジを入れたい
- 白くしたいけど安い物がいい
- とにかくきれいで自然な歯にしたい
- 壊れにくくてきれいな歯をいれたい
- 前歯が折れちゃった
ジルコニアボンドクラウンがおすすめです。一本の場合隣の前歯と色を合わせる必要がありますが、ジルコニアボンドクラウンが一番色の再現性が良いためです。
ブリッジですのである程度強度は必要になります。そのため、ジルコニアステインクラウンか、審美面を重視する前歯でのブリッジですと、ジルコニアボンドクラウンがよいでしょう。しかし、それを入れ歯の支えにする場合はメタルボンドクラウンの方がよいこともあります。
被せ物ですとジルコニアクラウンです。一番低価格なセラミックの被せ物になります。
被せ物ですと、ジルコニアボンドクラウン以外にはないでしょう。詰め物ですと、セラミックインレーがおすすめ
です。
被せ物ですとジルコニアステインクラウンがよいでしょう。詰め物ですと、ジルコニアインレーがおすすめです。噛み合わせが強すぎない方はセラミックインレーの方がきれいです。
また折れないようにするためにある程度強度があった方が良いでしょう。そのため、ジルコニアボンドクラウンかジルコニアステインクラウンがおすすめになります。
麻布十番歯科の
セラミック治療の流れ
クラウン
Step1. 初診での診査・診断、型取り
Step2. カウンセリング、ゴールの共有、被せ物の種類の決定
Step3. 前処置(虫歯の治療や根の治療など、必要に応じて)
Step4. 仮歯におきかえ
Step5. 理想の形の仮歯に調整
Step6. 型取り
Step7. 試適(色味、形の最終チェック)
Step8. 完成(接着または仮止め)
ですので最低でも前処置を抜いた7回、虫歯が大きい場合など前処置が必要な場合はそれ以上かかる事になり
ます。
インレー
Step1. 初診での診査・診断、型取り
Step2. カウンセリング、ゴールの共有、詰め物などの種類の決定
Step3. 前処置(必要に応じて)
Step4. 型取り
Step5. 完成(接着)
詰め物のみの場合、仮歯をいれたり、試適などの必要がなくなりますので、被せ物よりは時間を短く治療可能です。初診から少なくとも4回以内で行う事が可能です。
麻布十番歯科の
セラミック治療の保証
麻布十番歯科・矯正歯科では患者様に安心してセラミックをお口の中にいれてもうため、そして我々が1本1本に対して責任を負うため、保証制度を設けております。
1〜6ヶ月に1度の定期検診で、噛み合わせのチェックとクリーニングを受けていただくことが条件となってい
ます。
例えば被せ物は5年間の保証がありますが、定期検診に通っており、3年前にいれた被せ物がなくなってしまった、壊れてしまった場合は、保証内にて再度製作させていただきます。
(インレーの場合は2年間の保証になります。)
また、夜間の歯軋り、食いしばりが強い方は、ナイトガードの装着を指示させていただきます。
麻布十番歯科の
セラミック治療の料金表
※2025年4月1日以降の価格となります
| 治療内容 | 費用 |
|---|---|
| ワックスアップ (シュミレーション) |
1歯:1,100円 (税込) |
| 仮歯 | 1歯:5,500~8,800円 (税込) |
| MTM(歯を引っ張り 出す治療) |
1歯:77,000円 (税込) |
| クラウン レングスニング (歯ぐきを下げる手術) |
1歯:55,000円 (税込) |
| ファイバーコア(土台) | 1歯 前歯:16,500円(税込) 小臼歯:19,800円(税込) 大臼歯:24,200円(税込) |
| 土台除去 | 1歯:11,000円 (税込) |
| 技工士立ち合い | 1回:11,000円 (税込) |
| 被せ物 | |
| ジルコニアボンド クラウン |
1歯:187,000円 (税込) |
| メタルボンドクラウン | 1歯:165,000円 (税込) |
| オールセラミック クラウン |
1歯:132,000円 (税込) |
| ジルコニアステインクラウン | 1歯:132,000円 (税込) |
| ジルコニアクラウン | 1歯:66,000円 (税込) |
| 詰め物 | |
| セラミックインレー | 1歯:66,000円 (税込) |
| ジルコニアインレー | 1歯:55,000円 (税込) |
セラミック治療の支払い方法
セラミックの治療は保険外の治療になりますので、当医院ではクレジットカードが使用可能です。
また、クレジットカード決済、paypayとデンタルローンのご用意もありますので、お支払い方法に関してご不安に思われてる方や、不明な事があれば、なんでもご相談ください。 もちろん現金も可能です。
まとめ
セラミック治療についてご理解頂けたでしょうか。ケースバイケースでどの治療法や素材が適しているのかが変わってきます。ですので、まず自分のお口の中の状態がどうなっているのかを歯科医院に受診してみて診査、診断をしてもらい、歯科医師からどのような治療をしていくのがベストなのかを聞くのが一番良いでしょう。
2回目のカウンセリングでは予算に沿った治療法も提示できますので、ご希望をおっしゃっていただければと思います。
セラミックのみではなく、さらにきれいになるには、さらに噛めるようになるには、などを提案させていただきますので、一緒にゴールを決めて、目指していきましょう。